阿摩線上測驗
登入
首頁
>
醫學六:80題 ( 包括麻醉科,眼科,耳鼻喉科,婦產科,復健科等科目及其及相關臨床實例與醫學倫理 )
> 97年 - 97-1 專技高考_醫學(二):醫學(六)(包括麻醉科、眼科、耳鼻喉科、婦產科、復健科等科目及其相關臨床實例與醫學倫理)#38415
97年 - 97-1 專技高考_醫學(二):醫學(六)(包括麻醉科、眼科、耳鼻喉科、婦產科、復健科等科目及其相關臨床實例與醫學倫理)#38415
科目:
醫學六:80題 ( 包括麻醉科,眼科,耳鼻喉科,婦產科,復健科等科目及其及相關臨床實例與醫學倫理 ) |
年份:
97年 |
選擇題數:
80 |
申論題數:
0
試卷資訊
所屬科目:
醫學六:80題 ( 包括麻醉科,眼科,耳鼻喉科,婦產科,復健科等科目及其及相關臨床實例與醫學倫理 )
選擇題 (80)
1 為病患進行麻醉誘導時,下列何者會使麻醉氣體的最低肺泡濃度(minimum alveolar concentration; MAC)增加? (A)體溫 34℃ (B)急性酒精中毒(acute alcohol intoxication) (C)長期酒精濫用(chronic alcohol abuse) (D)動脈血中氧氣濃度(PaO2)低於 40 mmHg
2 Train-of-four(TOF)是測試神經肌肉阻斷程度的方式之一,以下敘述何者錯誤? (A) TOF 是藉由在二秒內給予連續四次時間為 200μsec 的電刺激,觀察其強度衰退(fade)情形,來 判定神經肌肉阻斷程度的監測方式 (B)當連續四次刺激的第四次反應(the fourth response)完全消失時,代表 90%以上的神經肌肉是被阻 斷的 (C)手術中所需要的神經肌肉阻斷程度大約是 75%到 95%的神經肌肉阻斷 (D)連續四次刺激的第一次和第四次反應程度的比例,是評估去極化肌肉鬆弛劑是否達到效果的良好 指標
3 傳導疼痛訊息的神經系統(nociceptive pathways)是以下列何種纖維傳導? (A) C-fiber + A-beta fiber (B) C-fiber + A-delta fiber (C) C-fiber + A-gamma fiber (D) A-beta fiber + A-delta fiber
4 一位 69 歲有心肌梗塞病史的男性病患,施行全身麻醉做攝護腺肥大之經尿道攝護腺切除手術(TURP), 手術 90 分鐘過程順利。當病患被送至恢復室時,氣管內管已拔除,意識清醒。但 20 分鐘後病人呈 現躁動、發抖、血壓 80/50 毫米汞柱、呼吸 40 次/分、心率 140 次/分、血氧飽和濃度 92%。請問以 下診斷何者最不可能? (A)術後持續出血 (B) TURP 症候群 (C)心肌梗塞或缺血 (D)單純術後傷口疼痛
5 下列有關臨床監測設施之敘述,何者正確? (A)由 right internal jugular vein 插入中央靜脈導管,發生氣胸之危險性最大 (B) pulse oxymetry 可監測病人目前血中二氧化碳濃度 (C) end-tidal CO2 可用來判斷氣管內管是否誤插入食道中 (D) precordial doppler 用來偵測氣栓(air embolism)最準確
6 對於五歲以下小孩,其氣道最狹窄部位為何? (A) tongue base (B) vocal cords (C) cricoid cartilage (D) thyroid cartilage
7 下列何者是 nonsteroidal antiinflammatory drugs(NSAIDs)的直接藥理機轉? (A)抑制 prostaglandins 的形成 (B)釋放出 substance P (C)直接作用在μ-opioid 接受器上 (D)抑制 substance P 的釋放
8 下列何種靜脈麻醉藥物(intravenous anesthetics)在室溫下打開藥瓶後不易保存,容易有細菌生長, 因此在開瓶後六小時內應使用完畢? (A) Thiopental (B) Pentobarbital (C) Propofol (D) Diazepam
9 下列那一項不屬於圓錐角膜(keratoconus)的臨床病徵? (A) Munson 氏徵候 (B)高度的不規則性散光 (C) Kayser-Fleischer ring (D)急性角膜積水(acute hydrops)
10 下列有關背景型糖尿病視網膜病變(background diabetic retinopathy; BDR)的敘述,何者錯誤? (A)視網膜病變局限於視網膜內(intraretinal) (B)微血管瘤(microaneurysms)是其早期視網膜病變之特徵 (C)黃色視網膜滲出物(hard exudates)亦是其視網膜病變之特徵 (D)需要積極視網膜雷射治療(laser photocoagulation)以防止惡化
11 下列有關原發性隅角開放型青光眼的敘述,何者錯誤? (A)屬於進行性的視神經病變(optic neuropathy) (B)疾病早期常會有視力模糊的症狀 (C)眼壓是造成疾病的危險因子,也是控制疾病的要素 (D)具特殊形態的視神經頭(optic nerve head)病變,有時伴隨視野缺損
12 下列那一條眼肌的長度最長? (A)上直肌 (B)上斜肌 (C)下直肌 (D)下斜肌
13 上眼部化學灼傷(chemical burn)時,急救的第一步是什麼? (A)眼睛包紮 (B)趕緊送到醫院 (C)馬上以清水沖洗眼部 (D)立刻投予類固醇藥物
14 淚液薄膜(tear film)的中層(middle aqueous layer),其成分是由下列何者所分泌? (A)淚腺(lacrimal gland) (B)眼瞼瞼板腺(meibomian gland) (C)結膜杯狀細胞 (D)眼瞼蔡氏腺(Zeis’ gland)
15 下列那一種結膜疾病,會在角膜上出現盾狀潰瘍(shield ulceration)? (A)春季角結膜炎(vernal keratoconjunctivitis) (B)砂眼(trachoma) (C)威爾遜氏疾病(Wilson’s disease) (D)圓錐角膜(keratoconus)
16 出生三日之嬰兒發生結膜充血、分泌物劇增,且其父母曾有性病史,下列敘述何者錯誤? (A)分泌物的抹片檢查,可能有革蘭氏陰性雙球菌 (B)與產道感染有關 (C)由於僅為結膜炎,無失明之虞 (D)治療方針應予 Penicillin G,局部點眼及肌肉注射
17 (A)梅尼爾氏症(Meniere’s disease) (B)慢性中耳炎 (C)中耳腔積液 (D)中耳膽脂瘤(cholesteatoma)
18 承上題,後續之檢查,下列何者為最優先考量? (A)耳道內視鏡 (B)鼻咽內視鏡 (C)電腦斷層攝影 (D)聽性腦幹反應(auditory brain stem reflex)檢驗
19 一位中年婦女主訴兩天前眩暈發作,持續半小時至一小時,伴隨左側聽力障礙、耳鳴、耳內腫脹壓 迫感。她無高血壓、冠心症、高血脂症或糖尿病等病史。這是兩年來第 3 次發作,每次發作的過程 都一樣。下列何者為最可能之診斷? (A)梅尼爾氏症(Meniere’s disease) (B)良性陣發性位置性眩暈(benign paroxysmal positional vertigo) (C)前庭神經炎(vestibular neuritis) (D)椎骨基底動脈循環不全症(vertebro-basilar artery insufficiency)
20 一位 58 歲男性因聲音沙啞求診,經內視鏡檢查顯示左側聲帶麻痺,胸部 X 光發現左上肺有陰影,則下 列敘述何者最可能? (A) 病人可能罹患肺癌併發腦幹轉移 (B)病人可能罹患肺癌併發喉局部轉移 (C)病人可能罹患喉癌併發肺部轉移 (D)病人可能罹患肺癌壓迫喉返神經(recurrent laryngeal nerve)
21 急性鼻竇炎引起之頭痛,如果多發生於白天,到下午或傍晚則漸緩,則最常見之原因為何? (A)篩竇炎 (B)蝶竇炎 (C)額竇炎 (D)上頜竇與篩竇炎
22 慢性積液性中耳炎可以中耳導氣管置放術(myringotomy tube insertion)治療。中耳導氣管大約放多 久就會自然排出? (A) 1 個月 (B) 2 個月 (C) 3 個月 (D) 6 至 12 個月
23 根據下圖,則左耳氣導(air conduction)的平均聽力閾值(pure tone average)為何?
(A) 2 dB (B) 25 dB (C) 35 dB (D) 55 dB
24 有關第三鰓裂瘻管(third branchial fistula)之敘述,下列何者正確? (A)此瘻管有一端開口在扁桃腺窩 (B)此瘻管在第九對與第十二對腦神經間穿過 (C)此瘻管在外頸與內頸動脈間穿過 (D)此瘻管是所有鰓裂瘻管中最常見的
25 一位 50 歲婦女,G3P3,每年固定接受子宮頸抹片檢查。今年子宮頸抹片檢查呈現 atypical squamous cells of unknown origin,而子宮頸人類乳突狀病毒檢查(HPV)呈現低危險型(type 16)陽性反應。下 列何種處置為最佳選擇? (A)立刻接受陰道鏡檢查,並且做子宮頸切片(punch biopsy)檢查 (B)六個月後追蹤子宮頸抹片檢查 (C)子宮內膜切片檢查 (D)子宮頸錐狀切除(LEEP or conization)
26 所謂卵巢癌適當減積手術(optimal debulking),是指殘餘的腫瘤大小為: (A)< 4 cm (B)< 3.5 cm (C)< 3 cm (D)< 1.5 cm
27 持續性妊娠滋養層細胞疾病(persistent gestational trophoblastic disease)經過化學治療後,如果再懷 孕時,通常會如何? (A)胎兒畸形率增加 (B)流產發生率增加 (C)正常生育功能 (D)早產增加
28 一位 17 歲女孩患有 endodermal sinus tumor,則下列敘述何者錯誤? (A)可能發生於兩側卵巢,因此對側卵巢須切片 (B)甲型胎兒蛋白(alpha-fetoprotein)可能會升高 (C)術後須加上化學治療 (D)又稱為卵黃囊癌(yolk sac carcinoma)
29 對於子宮內膜癌 FIGO 分期為 stage Ib G3 期的病人,最常使用的術後治療計畫為何? (A)小心追蹤檢查 (B)放射線治療 (C)黃體素治療 (D)化學療法
30 子宮頸錐狀切除後的病理檢查,發現癌細胞侵襲深度介於 3~5 mm 之間,寬度小於 7 mm,則此病人 屬於子宮頸癌的那一期? (A) stage Ia1 (B) stage Ia2 (C) stage Ib1 (D) stage Ib2
31 在臺灣,胎兒水腫(hydrops fetalis)最常見的原因為甲型海洋性貧血(alpha-thalassemia)。請問其 致病基因在第幾對染色體? (A)8 (B) 11 (C) 13 (D) 16
32 一位 24 歲女性,G2P1,妊娠 42 週,待產中胎兒心律發生「變異減速」(variable deceleration),則 下列診斷以何者為最可能? (A)胎頭壓迫 (B)臍帶壓迫 (C)子宮胎盤功能不足 (D)胎兒畸形
33 一位 21 歲女性,G3P2,妊娠 33 週,半夜急診就醫,主訴突然大量陰道出血,不覺疼痛,無任何內 外科病史,曾剖腹生產兩次。下列何者為最可能的診斷? (A)前置胎盤 (B)胎盤早期剝離 (C)子宮破裂 (D)子宮外孕
34 一位 31 歲女性,G1P0,妊娠 38 週,診斷為「前置胎盤」。她最適當的分娩方式為何? (A)自然生產 (B)真空吸引分娩 (C)產鉗 (D)剖腹生產代號:6101頁次:8-4
35 一位 25 歲女性,G1P0,月經規則,週期 42 天,最後一次月經的第一天是 3 月 8 日。她的預產期是那一天?(A)同年 12 月 15 日(B)翌年 12 月 15 日(C)同年 11 月 15 日(D)同年 12 月 29 日
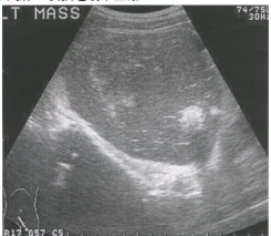
36 一位 20 歲女大學生因急性腹痛而接受手術,取出卵巢腫瘤(如下圖所示),則下列診斷何者最正確?
(A) 卵巢外孕 (B)卵巢畸胎瘤 (C)卵巢單純囊腫 (D)卵巢黃體囊腫
37 一位 53 歲婦女,6 個月無月經,期間有熱潮紅、夜間盜汗、情緒容易急躁。她接受荷爾蒙療法緩解 這些症狀;但治療 6 個月後,發現每天有少量陰道出血。此時那個處置最合適? (A)陰道超音波檢查 (B)子宮鏡子宮內膜燒灼術 (C)觀察 (D)子宮切除手術
38 一位 39 歲婦女,G1P1,例行性的超音波檢查發現有一個子宮肌瘤 6 × 6 × 5 公分,卵巢正常。她沒有 頻尿、排便困難等任何症狀。下一步最適合的處置是什麼? (A)注射 gonadotropin-releasing hormone(GnRH)agonists 療法 (B)剖腹切除肌瘤手術 (C)追蹤六個月再檢查一次 (D)腹腔鏡肌瘤切除手術
39 一位 42 歲母親,20 年前罹患子宮內膜異位症曾接受手術治療,現在她的大女兒也有相同疾病,她很擔心二女兒也會有相同疾病。據你所知,子宮內膜異位症可能是下列那一種疾病?(A) Autosomal recessive with variable penetrance(B) Polygenic multifactorial(C) Spontaneous mutations(D) No evidence of genetic inheritance
40 有關卵巢濾泡中分泌 sex hormones 的細胞,下列敘述何者正確? (A)只限於顆粒細胞(granulosa cells) (B)顆粒細胞及基礎細胞(basal cells) (C)卵囊膜細胞(theca cells)及基礎細胞 (D)顆粒細胞及卵囊膜細胞
41 婦女停經後,體內雌激素由何處產生? (A)骨骼 (B)脂肪 (C)神經 (D)血管
42 有關 GnRH agonists 藥物之敘述,下列何者最正確? (A)比內生性 GnRH 半衰期短 (B)給予 3 週後,可刺激 FSH (C)可治療內膜異位症 (D)可口服使用
43 年輕女性引起急性輸卵管炎之最常見的致病原因為何? (A) gonorrhea (B) Chlamydia trachomatis (C) Ureaplasma urealyticum (D) bacterial vaginitis
44 一般而言,正常性生活的健康且年輕夫妻嘗試受孕,12 個月後成功機會約為: (A) 90% (B) 70% (C) 50% (D) 30%
45 人工生殖技術中,何種冷凍效果最不好? (A)精子 (B)卵子 (C)受精卵 (D)囊胚期胚胎 代號:6101 頁次:8-5
46 一位 21 歲女性,因陰蒂肥大求診,被診斷為 congenital adrenal hyperplasia(CAH),其血中 17-hydroxyprogesterone(17-HP)為 600 ng/dL。下列關於 CAH 之病因及治療的敘述,何者最適當? (A)最常見為 21-hydroxylase deficiency,治療最有效為 cortisone (B)最常見為 11β-hydroxylase deficiency,治療最有效為 dexamethasone (C)最常見為 21-hydroxylase deficiency,治療最有效為 dexamethasone (D)最常見為 11β-hydroxylase deficiency,治療最有效為 cortisone
47 厭食症引起無月經症,主要源於何者功能失調? (A)下視丘 (B)甲狀腺 (C)卵巢 (D)子宮
48 關於泌乳素(prolactin)之分泌,下列何者正確? (A)無日夜(diurnal)差別 (B)月經週期無差別 (C)呈脈衝型(pulsatile) (D)呈平原型
49 下列何者不是催生的藥物? (A) Prostaglandin E2 (B) Oxytocin (C) Misoprostol (D) Ritodrine
50 妊娠時,母親血清中「甲型胎兒蛋白(AFP)」過高時,應懷疑下列何種疾病? (A)染色體異常,尤其是唐氏症 (B)胎兒神經管缺損或皮膚有缺損 (C)海洋性貧血 (D)妊娠滋養層細胞疾病
51 造成胎兒心跳早期性減速(early deceleration)的常見原因為何? (A)胎頭壓迫 (B)臍帶壓迫 (C)胎兒缺氧 (D)母親酸血症
52 分娩時,胎頭先露部(presenting part)之檢查,下列何者最為合理? (A)陰道內診 (B)超音波 (C)陰道鏡 (D)電腦斷層
53 實施產前遺傳診斷的羊膜腔穿刺(amniocentesis)常見的時間是在懷孕的第幾週(gestational age)? (A)第 10~13 週 (B)第 14~20 週 (C)第 21~24 週 (D)第 25~30 週
複選題
54 一位 75 歲男性,因左側腦中風導致右半身麻痺及語言障礙,他可以聽懂別人說的話,但是無法回答。 若請他重述句子則沒有困難;他最可能是下列何種失語症? (A)經大腦皮質運動性失語症(transcortical motor aphasia) (B)經大腦皮質感覺性失語症(transcortical sensory aphasia) (C)運動性失語症(motor aphasia) (D)感覺性失語症(sensory aphasia)
55 半邊忽略現象(hemineglect)是最常出現於腦部何處之病變? (A)基底核(basal ganglion) (B)額葉(frontal lobe) (C)顳頂葉(temporoparietal lobe) (D)枕葉(occipital lobe)
56 下列何者不是腦傷(traumatic brain injury)病人常見的後遺症? (A)肌肉痙攣(spasticity) (B)帕金森氏症(Parkinsonism) (C)癲癇(epilepsy) (D)頭痛(headache)
57 一位 70 歲老人走路跌倒,造成頸部疼痛,頸部 X 光檢查沒有骨折或脫位。理學檢查患者上肢無力, 無法自行進食;下肢肌肉張力增強,但還可走路。下列何種診斷最為可能? (A)中央脊髓症候群(central cord syndrome) (B)布朗史夸德症候群(Brown-Séquard syndrome) (C)前脊髓症候群(anterior cord syndrome) (D)馬尾症候群(cauda equina syndrome)
58 處理腦性麻痺患者的肌肉痙攣,那一種方法的效果最持久? (A)治療性運動 (B)口服抗痙攣藥物 (C)酚(phenol)神經阻斷術 (D)選擇性背神經根切除術(selective posterior rhizotomy)
59 下列何者是兒童最常見的語言障礙? (A)構音異常(articulation disorder) (B)發音失常(dysarthria) (C)失語症(aphasia) (D)口吃(stuttering)
60 下列關於移植後的心臟生理之敘述,何者最正確? (A)運動時最大心跳率較手術前高 (B)運動後較慢恢復至運動前心跳率 (C)副交感神經的影響較交感神經大 (D)靜脈回心血量(venous return)不影響其心搏量(stroke volume)
代號:6101 頁次:8-6 61 下列何者是髕骨肌腱承重套筒(patellar tendon-bearing socket)的壓力承受位置? (A)脛骨前肌群(pretibial muscles) (B)腓骨頭部(fibular head) (C)膕旁腱(hamstring tendon) (D)脛骨結節(tibial tubercle)
62 針對慢性阻塞性肺病(COPD)所做的吸氣肌肉訓練(inspiratory muscle training),下列那一項敘述 錯誤? (A)會減少橫膈膜(diaphragm)的疲乏 (B)會減少 COPD 急性惡化(acute exacerbation)的發作頻率 (C)會增加 12 分鐘的步行距離(12-MD) (D)會增加最大吸氣時的嘴壓(maximal inspiratory mouth pressure)
63 下列兩圖所示是在進行那一條肌肉的拉筋運動?
(A)左側骼腰肌(iliopsoas muscle) (B)右側股四頭肌(quadriceps muscle) (C)右側大腿後肌(hamstring muscle) (D)兩側腓腸肌(gastrocnemius muscle)
64 下列對膝上截肢病患之衛教,何者錯誤? (A)避免在大腿下放枕頭,以免肌肉攣縮 (B)在兩大腿中間放枕頭 (C)趴在床上 15 分鐘,每天 3 次,以避免髖關節攣縮 (D)對殘肢按摩,可減少對壓力的敏感及避免結痂組織沾黏
65 運動中扭傷腳踝,第一時間應如何處理? (A)施予按摩 (B)繼續運動以維持韌帶彈性 (C)立即熱敷以增進血液循環 (D)立即冰敷以減輕疼痛腫脹
66 下列何者不是人工膝關節置換手術後復健計畫的重點? (A)減少疼痛 (B)恢復關節活動度 (C)恢復及增加肌力 (D)臥床休息以預防人工關節過早磨損
67 身心障礙者的復健目標不包括下列何者? (A)將患者功能訓練至最高極限 (B)利用輔具協助解決日常生活困難 (C)治癒殘障 (D)協助患者重新在社會扮演應有的角色
68 有關骨質疏鬆(osteoporosis)之復健原則,下列何者為非? (A)應以游泳增加骨密度 (B)要教育病人如何避免跌倒 (C)要教導病人提抬重物的正確方法 (D)病人可從事太極拳運動
69 當病患坐在輪椅上,足部有蹠屈(plantar flexion)的問題時,下列敘述何者錯誤? (A)可能是病患的正向支持反應(positive supporting reaction)所造成 (B)因為腳板(footrest)的高度太高 (C)調整腳板的高度,將足部維持在稍微背屈(dorsiflexion)的姿勢 (D)可能與足跟攣縮(heel cord contracture)有關
70 下列何者不是熱療(heat therapy)的治療效果? (A)血管擴張 (B)肌肉韌帶鬆弛 (C)代謝率增加 (D)疼痛閾值降低
71 一位 21 歲女性病患所做骨盆腔影像檢查如圖所示,下列那一項敘述最不正確?
(A)為達到正確診斷,需進一步做經陰道之超音波掃描 (B)檢查時有賴於介質 (C)最可能的影像診斷為源自卵巢之囊性畸胎瘤 (D)其音波頻率大多介於 2.5 MHz 至 10 MHz 之間
72 正在做復健治療之腦性麻痺的 3 歲小孩,其 MRI 的 FLAIR 影像如下圖,可見雙邊側腦室旁白質有對 稱性的高訊號病變,由此影像可推測造成他腦性麻痺的原因為:
(A) sequela of previous Japanese encephalitis (B) sequela of previous herpes encephalitis (C) sequela of infantile head injury (D) sequela of perinatal asphyxia of a premature infant
73 一位 24 歲男性,三週前曾發生車禍造成頭部外傷。主訴最近十天右眼紅腫,右眼球輕微突出,睡覺 時右耳隱約聽到咻咻聲,而來眼科求診。附圖為注射顯影劑後 CT 的眼眶影像,其最可能的診斷是: (A) carotid cavernous fistula (B) retrobulbar hematoma (C) traumatic edema of superior rectus muscle (D) myositis of superior rectus muscle
74 一位 79 歲男性,下列左圖為其側面頸椎 X 光片,右圖為其電腦斷層矢狀面重組之頸椎影像,其第一 及第二頸椎病變之敘述,以何者為最正確?
(A) C1-C2 subluxation (B) odontoid fracture with non-united gap (C) infection of odontoid process (D) metastatic bone lesion of C2
75 一位 28 歲女性,主訴 3 天前開始出現腹痛。病人無噁心嘔吐,食慾正常,排便習慣沒變。陰道分泌物增多,但無出血現象。有固定吃避孕藥,不曾懷孕。理學檢查發現體溫為 38.5℃,下腹部有壓痛(tenderness),但無反彈痛(rebounding pain),腸音正常。若懷疑此病人是婦科或腸道疾病,以下敘述何者最為適當?(A)因為有發燒而且有吃避孕藥,所以此病人不可能是子宮外孕(B)腹腔鏡(laparoscopy)可用來診斷骨盆腔感染(pelvic inflammatory disease)(C)骨盆腔感染最常見的病原為金黃色葡萄球菌(Staphylococcus aureus)(D)若做理學檢查發現有明顯子宮頸移動痛(cervical motion tenderness)或子宮旁附屬器疼痛(adnexal tenderness),則可排除闌尾炎的可能性
76 醫療人員對呼吸道阻塞病患的急救處置,下列何者錯誤? (A)病人無意識時,應立即跨跪在病人大腿兩側,兩手掌根重疊放在肚臍稍上方,用力壓腹部 5 下 (B)病人無意識時,應執行類似 CPR 的動作,壓胸與吹氣的部位及次數比均相同 (C)於壓胸後,應檢查口中有無異物,如有則挖除之,如無則試吹氣 (D)對於有意識的呼吸道阻塞急救,除了壓腹部,也可以壓胸和搥背
77 觸電或被閃電擊中的急救處理原則,下列敘述何者錯誤? (A)觸電或被閃電擊中造成心臟停止,救回來以後都要給大量水分,以防腎衰竭 (B)被閃電擊中若造成大量傷患,此時應採反向的檢傷分類(reverse triage) (C)無論是觸電或被閃電擊中造成心臟停止,在回復自發性循環前,其急救方法與一般心臟停止相同 (D)去急救觸電的病人,首要任務是確保自身安全
78 有關生物戰中肉毒桿菌毒素中毒(botulism)之表徵,下列敘述何者正確? (A) 瞳孔之光反射正常(normal light reflex) (B)遠端肢體無力(distal limb weakness) (C)下降型肢體癱瘓(descending paralysis) (D)中樞性顏面神經麻痺(central facial palsy)
79 一位 25 歲男性,二週前於 A 醫院接受鼻部手術後出院,今天突然流大量鼻血至 B 醫院急診。B 醫院 之處置,以何者最為適當? (A)驗血,不必說明原因,轉回原手術之 A 醫院處置 (B)以棉花塞鼻止血,並告知為原手術失敗造成,需回去找原來的醫師 (C)先行止血,待病情穩定,請病患回原手術醫師處治療 (D)止血,驗血,影像學檢查,並告知病患以後不要再回去原手術醫院了
80 美國大法官 Cardozo 早在 20 世紀初就清楚揭示:「每一個心智健全的成年人,都有權利決定其身體 要作如何之處置。」此一保障身體自主權的概念,在 1950 年代以後,形成了那一個重要的醫病關係 之原則? (A)病人生病時欠缺作決定的必要心智能力,故醫師有義務為病人作決定 (B)醫師執行醫療行為,應取得病人的「知情同意」(或稱告知後同意) (C)為了幫助病人作出最好的決定,醫師可以視個案情況,斟酌告知病人其病情 (D)醫師為避免以專業的醫學知識來增加病人負擔,應該說的愈少愈好
申論題 (0)
相關試卷
115年 - 115-1 專技高考_醫師(二):醫學(六)(包括麻醉科、眼科、耳鼻喉科、婦產科、復健科等科目及其相關臨床實例與醫學倫理)#137334
115年 · #137334
114年 - 114-2 專技高考_醫師(二):醫學(六)(包括麻醉科、眼科、耳鼻喉科、婦產科、復健科等科目及其相關臨床實例與醫學倫理)#127922
114年 · #127922
114年 - 114-1 專技高考_醫師(二):醫學(六)(包括麻醉科、眼科、耳鼻喉科、婦產科、復健科等科目及其相關臨床實例與醫學倫理)#125090
114年 · #125090
113年 - 113-2 專技高考_醫師(二):醫學(六)(包括麻醉科、眼科、耳鼻喉科、婦產科、復健科等科目及其相關臨床實例與醫學倫理)#120656
113年 · #120656
113年 - 113-1 專技高考_醫師(二):醫學(六)(包括麻醉科、眼科、耳鼻喉科、婦產科、復健科等科目及其相關臨床實例與醫學倫理)#118715
113年 · #118715
112年 - 112-2 專技高考_醫師(二):醫學(六)(包括麻醉科、眼科、耳鼻喉科、婦產科、復健科等科目及其相關臨床實例與醫學倫理)#114980
112年 · #114980
112年 - 112-1 專技高考_醫師(二):醫學(六)(包括麻醉科、眼科、耳鼻喉科、婦產科、復健科等科目及其相關臨床實例與醫學倫理)#113157
112年 · #113157
111年 - 111-2 專技高考_醫師(二):醫學(六)(包括麻醉科、眼科、耳鼻喉科、婦產科、復健科等科目及其相關臨床實例與醫學倫理)#108743
111年 · #108743
111年 - 111-1 專技高考_醫師(二):醫學(六)(包括麻醉科、眼科、耳鼻喉科、婦產科、復健科等科目及其相關臨床實例與醫學倫理)#106188
111年 · #106188
110年 - 110-2 專技高考_醫學(二):醫學(六)(包括麻醉科、眼科、耳鼻喉科、婦產科、復健科等科目及其相關臨床實例與醫學倫理)#99915
110年 · #99915