阿摩線上測驗
登入
首頁
>
醫學三:80題 ( 包括內科,家庭醫學科等科目及其相關臨床實例與醫學倫理 )
> 99年 - 99-1 專技高考_醫師(二):醫學(三)(包括內科、家庭醫學科等科目及其相關臨床實例與醫學倫理)#36857
99年 - 99-1 專技高考_醫師(二):醫學(三)(包括內科、家庭醫學科等科目及其相關臨床實例與醫學倫理)#36857
科目:
醫學三:80題 ( 包括內科,家庭醫學科等科目及其相關臨床實例與醫學倫理 ) |
年份:
99年 |
選擇題數:
80 |
申論題數:
0
試卷資訊
所屬科目:
醫學三:80題 ( 包括內科,家庭醫學科等科目及其相關臨床實例與醫學倫理 )
選擇題 (80)
1 (A)必須合併有心肌酵素之升高才能診斷為急性冠狀動脈症候群 (B)應持續為病人做心電圖追蹤 (C)若無禁忌,應開始使用 heparin 藥物注射 (D)若無禁忌,應開始使用抗血小板類藥物
2 承上題,3 小時後,病人血壓變為 86/50 mmHg,胸痛之症狀加劇。追蹤之心電圖如下圖所示。下列 敘述何者正確? (A)應靜脈輸注 nitroglycerin 緩解病人胸痛症狀 (B)應做心電圖檢查右胸前導程是否異常 (C)必須等待心肌酵素檢查結果再決定進一步治療 (D)根據病人臨床表現,其關鍵之阻塞血管最可能為冠狀動脈左前降枝
3 一位 65 歲女性,患有糖尿病多年,其血脂異常資料如下:三酸甘油酯 220 mg/dL、膽固醇 240 mg/dL、高密度膽固醇 35 mg/dL、低密度膽固醇 161 mg/dL。除建議修正生活型態及控制血糖外,下列那一種藥物最適合用以治療其血脂異常?(A)statins(B)fibrates(C)niacin(D)vitamin B complex
4 一位 38 歲男性,因持續胸痛一整日至急診就診,心電圖如下,病人血壓 124/80 mmHg,心跳 98 次/min, 體溫 37.6℃,呼吸 13 次/min,頸靜脈輕微怒張,胸部聽音正常,心臟輕度擴大,心音稍遠,未有雜音。 腹部未見肝腫腹水,腳輕度浮腫。CK158 U/L,CK-MB 12 U/L,troponin I 0.1 ng/mL。心電圖如示, 本病人最有可能診斷為何?
(A)急性心肌梗塞 (B)急性心包膜炎 (C)急性心肌缺氧 (D)正常
5 關於急性冠狀動脈症候群之病理機轉,下列何者錯誤?(A)緩慢進行性、高度狹窄之動脈硬化病灶,通常會導致 ST 節段上升型急性心肌梗塞(STEMI)(B)核心富含脂肪且纖維帽薄之冠狀動脈硬化斑塊容易發生破裂 (C) ADP 與 collagen 等促效劑會增強血小板 glycoprotein IIb/IIIa 受體對纖維蛋白原(fibrinogen)之親和力(D)富含血小板凝聚物(platelet aggregate)與纖維蛋白絲(fibrin strand)之血栓,會使 culprit coronary artery 發生阻塞
6 風濕熱(rheumatic fever)為一臨床診斷,目前採用 1992 年的 updated Jones criteria,下列何者是屬於 minor criteria? (A) fever (B) carditis (C) migratory polyarthritis (D) subcutaneous nodules
7 下列有關已確定診斷且具症狀之慢性心臟衰竭病人的治療之敘述,何者錯誤? (A)利尿劑可保持容積滯留(volume retention)不發生,應考慮使用 (B)血管張力素轉換酶抑制劑(angiotensin-converting enzyme inhibitor)可減緩心臟衰竭之進行 (C) beta-blocker 可減緩心臟衰竭之進行 (D)digoxin治療心臟衰竭的機轉只靠抑制Na
+
-K
+
ATPase的效果
8 一位 58 歲女性病人因最近一個多月下肢水腫逐漸嚴重而住院。病人的病史包括高血壓、高血脂、糖 尿病合併周邊動脈疾病導致兩腳腳趾切除,以及陳舊性心肌梗塞。最近晚間躺平會喘,夜尿增多。 身體檢查可聽見 S3、S4,兩側肺部有明顯的濕囉音,頸靜脈怒張。這次入院檢查 BUN 60 mg/dL, creatinine 2.5 mg/dL,一個月前 BUN 34 mg/dL,creatinine 1.2 mg/dL。下列敘述何者最不正確? (A)病人的體液過多,必須使用利尿劑增加排尿量 (B)病人的腎功能惡化可能是腎後(post-renal)因素導致,應置放導尿管解除可能的尿路阻塞 (C)病人的腎功能惡化可能是心臟衰竭導致,應仔細評估心臟功能 (D)病人的腎功能惡化可能是藥物使用不當所致,應詳問用藥紀錄
9 一位 57 歲男性病患因為全身倦怠、失眠、食慾不振以及呼吸困難而求診,他有高血壓、糖尿病多年, 正接受胰島素治療,他在門診的血壓是 212/95 mmHg,血紅素 9.7 g/dL,BUN 106 mg/dL,creatinine 9.6 mg/dL,albumin 3.2 g/dL,spot urine protein 923 mg/dL,胸部 X 光呈現兩側肋膜積水。最不可能的診斷為何?(A)高血壓危象(hypertensive crisis)(B)末期糖尿病腎病變(end-stage diabetic nephropathy)(C)急性心衰竭(acute heart failure)(D)肺栓塞(pulmonary embolism)
10 一位 28 歲男性病人的血壓值為:右上肢血壓 200/120 mmHg,左上肢血壓 190/115 mmHg,下肢 膝窩動脈(popliteal artery)血壓 110/60 mmHg,上背部有收縮期雜音,下列何者為最可能的診斷? (A)腎動脈狹窄(renal artery stenosis) (B)原發性高血壓(essential hypertension) (C)主動脈縮窄(coarctation of aorta) (D)嗜鉻細胞瘤(pheochromocytoma)
11 上呼吸道感染(一般感冒)最常見的致病微生物為: (A)鼻病毒(rhinovirus) (B)冠狀病毒(coronavirus) (C)腺病毒(adenovirus) (D)鏈球菌(streptococcus)
12 一位病人因心臟瓣膜開刀後長期服用 warfarin 抗凝血劑。服用下列那種藥物最可能導致 warfarin 代謝 減少,而使其作用增加,甚至產生毒性? (A) cimetidine (B) phenytoin (C) rifampin (D)水楊酸(salicylates)
13 下列何者不是胰臟癌(carcinoma of the pancreas)的危險因子? (A)抽菸、喝酒 (B)年紀大於 70 歲 (C)曾患慢性胰臟炎超過 20 年 (D)體重較輕,body mass index(BMI)小於 17
14 關於臺灣之 B 型肝炎疫苗注射,下列何者錯誤? (A)臺灣已施行新生兒全面 B 型肝炎疫苗注射 (B)青少年之帶原率已由疫苗接種前 15%,降低到目前之 5% (C)兒童肝癌的年發生率已有顯著下降 (D)若母親為 e 抗原陽性的 B 型肝炎帶原者,新生兒除接受疫苗注射外,需於出生 24 小時內注射 B 型 肝炎免疫球蛋白 代號:1102 頁次:13-4
15 朱女士,45 歲,20 年前因開刀輸血感染 C 型肝炎,目前 AST 60 U/L,ALT 85 U/L,肝生檢(biopsy) 顯示為第二期(Metavir F2)之肝纖維化。下列敘述何者錯誤?(A)朱女士應定期接受肝癌篩檢,包括腹部超音波和甲型胎兒蛋白(B)朱女士可接受抗病毒治療(C)目前 C 型肝炎之標準治療為長效型干擾素(pegylated interferon)合併雷巴威林(ribavirin)和蛋白酵素抑制劑(protease inhibitor)(D)若能清除 C 型肝炎病毒,可減少肝硬化和肝癌之風險
16 一位 60 歲男性病人,端坐時感覺呼吸困難,躺平時即獲得緩解,下列何者為最可能的診斷? (A)心臟衰竭 (B)肺梗塞(pulmonary embolism) (C)肝肺症候群(hepato-pulmonary syndrome) (D)糖尿病合併酮酸中毒(diabetic ketoacidosis)
17 下列有關 PJ 症狀群(Peutz-Jeghers syndrome)的敘述,何者錯誤? (A)出現多發性息肉,最多在小腸,為缺陷瘤性(hamartomatous)息肉 (B)病人的嘴唇、口頰或腳趾皮膚有色素沈著 (C)息肉可能變大或出血,造成腸阻塞或腸套疊 (D)息肉本身就是一種惡性病變,因此要將所有息肉切除乾淨
18 一位中年男性肝硬化病患因神智不清被送入醫院,身體檢查發現腹部明顯腫脹並有shifting dullness,手掌有flapping tremor,實驗室檢查發現血清ammonia及膽紅素升高,但白蛋白降低,腎功能正常,抽取腹水檢查發現中性白血球數大於 500/mm
3
。則下列何項治療錯誤?(A) cefotaxime(B) ampicillin 加上 tobramycin(C) lactulose(D)靜脈注射白蛋白
19 一位 50 歲男性因為 B 型肝炎相關肝硬化合併大量腹水住院治療,經利尿劑及幾次大量腹水放液術治 療後,小便量及 glomerular filtration rate 明顯減少,最適當的治療為何? (A) propranolol (B) fluid supply (C)增加利尿劑劑量 (D)考慮肝臟移植
20 余先生,48 歲,診斷為慢性 C 型肝炎,基因型為第一型,病毒量為 120 萬 IU/mL,預計接受 24 週 的合併治療。下列敘述何者錯誤? (A)第一型患者接受 48 週的合併治療有較好的病毒清除 (B)雷巴威林(ribavirin)的使用劑量,一般依體重決定 (C)若在治療後 4 週即可清除病毒,24 週或 48 週的療效相當 (D)病毒基因型和病毒量均會影響合併治療的療效
複選題
21 一位肌酸酐 2.8 mg/dL,尿素氮(BUN)35 mg/dL 的病人,做了電腦斷層攝影以後,肌酸酐上升到 5 mg/dL,尿素氮至 56 mg/dL,其主要機轉為何? (A)全身血管擴張 (B)腎小管阻塞 (C)腎內血管收縮 (D)腎內血管擴張
22 一位 69 歲糖尿病病人,其血清肌酸酐(creatinine)為 2.3 mg/dL,門診醫師最近加了一項降血壓藥,2 週後抽血,肌酸酐上升至 4.5 mg/dL,下列那一類藥物最有可能造成上述情況? (A) ACE inhibitors (B)β-blockers (C) calcium channel blockers (D)α-blockers
23 心血管疾病是尿毒症病人的頭號殺手,有那一項不是常見的病變?(A)閉塞性冠狀動脈疾病(occlusive coronary heart disease)(B)阻塞性心肌病變(obstructive cardiomyopathy)(C)腦血管病變(cerebrovascular disease)(D)周邊血管病變(peripheral vascular disease)
複選題
24 有關 IgA 腎病變,下列何者敘述最不正確? (A)在成人中,是僅次於微小變化疾病最常見的原發性腎絲球病變 (B)常在上呼吸道感染後出現肉眼可見血尿 (C)若每日尿蛋白超過 1 克,預後較差 (D)是否出現肉眼可見的血尿,和預後無關
25 下列何者非腎病症候群之臨床特徵? (A)低白蛋白血症 (B)高血脂症 (C) 24 小時尿蛋白總量超過 3.5 克/1.73 m
2
(D)氮血症超過 3 個月
26 下列那一種藥物引起的急性腎衰竭,其機轉和其他三者不同? (A) captopril (B) valsartan (C) gentamicin (D) indomethacin
27 下列之實驗室檢驗結果,那一項最能反映出全身性紅斑狼瘡症之疾病活性(disease activity)? (A) high titer of ANA (B) high levels of C3 and C4 (C) high titer of anti-dsDNA antibody (D) high level of C-reactive protein
28 鼻咽癌患者經放射治療後,追蹤檢查項目中那一項對於發現腫瘤遠隔轉移最無價值? (A)血液 LDH (B) EBV anti-VCA titer (C)血液中 EBV DNA (D)胸部 X 光
29 Non-Hodgkin’s lymphoma 病患併發 cold IgM antibody 溶血性貧血,最可能是下列那一種自體免疫抗 體造成的? (A)anti-RhD (B)anti-RhE (C)anti-JK
a
(D)anti-I
30 造成多發性骨髓瘤預後不好的因子不包括下列何者? (A)血清creatinine大於 2 mg/dL (B)血清β
2
-microglobulin小於 4 mg/L (C)血中 Hb 小於 8.5 g/dL (D)血清 albumin 小於 3.5 g/dL
31 一位換置人工金屬主動脈瓣膜的患者,平日規律服用抗凝血劑 warfarin,一日檢查 prothrombin time 發現 INR=5.8,但該患者身體並無異樣或症狀。對於該患者下列處置何者最合宜? (A)停止使用 warfarin,並靜脈注射 vitamin K 10 mg (B)停止使用 warfarin,並肌肉注射 vitamin K 10 mg (C)停止使用 warfarin 三天,再減低劑量繼續服用 (D)停止使用 warfarin 一週,再恢復使用原有劑量
32 一位糖尿病病患,曾因鬱血性心臟病接受心臟移植手術,之後一直在門診追蹤,並規則服用糖尿病 藥物 glibenclamide、metformin 及抗排斥藥 tacrolimus,情況良好。三週前因為腹瀉,疑是 tacrolimus 的副作用,因此改用 azathioprine。這兩天病人出現發燒、畏寒症狀被送到急診處。身體檢查,除發 燒、輕度貧血外,無其他異常。血液相顯示血紅素 11.1 g/dL,白血球 760/µL,其中 neutrophil 5%, lymphocyte 80%,monocyte 14%,eosinophil 1%,血小板 62,000/µL。這位病人最可能的診斷為: (A) infectious mononucleosis (B) drug-induced agranulocytosis (C) lymphoproliferative disorder (D) heart rejection
33 下列何種疾病引起之肋膜腔積水,常見為 transudate? (A) Meigs’ syndrome (B) myxedema (C)尿毒症 (D)濾過性病毒感染
34 下列何者是吸入型類固醇常見之副作用? (A)手顫抖 (B)心跳加快 (C)心律不整 (D)聲音沙啞 代號:1102 頁次:13-6
35 下列有關肺癌的敘述,何者正確? (A)肺癌為已開發國家,不論男女,均為癌症發生率與死因的第一位 (B)在許多國家中,腺癌為主要的細胞型別,包括我國 (C)在已知的致癌因子,環境暴露已超過吸菸,成為最主要原因 (D)由於歐美國家成功推動禁菸政策,在這些國家的肺癌發生率均已明顯下降
36 一位 70 歲女性,具糖尿病、冠狀動脈心臟病與慢性腎衰竭病史。因為約二小時之呼吸喘促與盜汗至 急診處求治。身體檢查:脈搏 140/min,呼吸速率 30/min,血壓 104/66 mmHg,肺部兩側有吸氣期囉 音。使用氧氣前之動脈血氣體分析結果為:pH 7.45,PaO2 40 mmHg,PaCO2 23 mmHg,HCO3- 21 mEq/L, SaO2 70%。目前計畫給予氧氣面罩,FiO2預為 40%,應設定多高的氧氣流量(L/min)?(假設病人 潮氣容積為 800 毫升,吸氣期與吐氣期比為 1) (A) 5 (B) 8 (C) 12 (D) 18
37 一位 63 歲男性病人,多重創傷與多發性骨折。於接受大量輸血與清創及骨折手術一天後,於加護病 房中尚未移除氣道內管,發生高燒、呼吸急促且意識迷亂。脈搏 134/min,呼吸速率 36/min,血壓 80/36 mmHg,肺部聽診有兩側粗囉音,心臟無雜音。動脈血氣體分析:pH 7.31,PaCO2 22 mmHg, PaO2 47 mmHg,SaO2 65%。胸部X光顯示兩側肺部廣泛性實質化病變。此時採取下列何種措施為最 合宜? (A)馬上調高呼吸器的通氣頻率與 PEEP (B)立即調整為俯臥姿勢,以維持血氧 (C)給予大量碳酸鈉輸液與血漿蛋白補充 (D)給予輸液,血液培養,更換抗生素,呼吸器的潮氣容積設定為 6-8 mL/kg,FiO2 1.0
38 一位 45 歲女性患者,在杏鮑菇暖房培植廠工作,因為長期咳嗽白痰,呼吸困難就診。身體檢查出現 喘鳴聲(wheezing),胸部X光片正常,肺功能呈現FEV1/FVC=65%,關於治療這個病患的敘述,下 列何者錯誤? (A) inhaled corticosteroids 是常規使用首選藥物之一 (B) short-acting β-agonist 是常規使用另一選擇(alternative)藥物 (C)職場過敏原(allergen)是引發疾病的可能病因 (D)病人拒絕 inhaled corticosteroids 時,口服 anti-leukotrienes 是另一種治療選擇
39 下列那一項有關男性生殖系統的敘述是正確的? (A)黃體激素(LH)作用到 Sertoli cells 使其合成 testosterone (B)血液中的 testosterone 只有 0.5%~3%未與蛋白質接合 (C)男性血液中的 testosterone 80%來自於睪丸,20%來自於腎上腺 (D)性荷爾蒙接合球蛋白(sex hormone-binding globulin)濃度會隨老化而減少
40 下列那一種胰島素製劑是屬於速效型態? (A) detemir insulin (B) glargine insulin (C) aspart insulin (D) NPH insulin
41 第 1 型糖尿病的所謂「蜜月期」是什麼意思? (A)是指疾病好發於適婚年齡 (B)病人於此時必須多補充糖分 (C)病人於發病後可能會有一段時間胰島素之需求量降低 (D)病人於尿液會有大量的葡萄糖排出 代號:1102 頁次:13-7
42 一位 35 歲女性因頭痛來診,主訴頭痛伴有心悸、多汗,家族史姊姊因甲狀腺髓質癌開刀。有關此病例之處置,何者不適當?(A) urine catecholamine 測定(B)腦垂腺 MRI 檢查(C) serum Ca、P、iPTH 測定 (D) RET proto-oncogene 檢測
43 一位 30 歲未婚女性病人,主訴 12 歲初經,過去月經週期正常,未曾有性行為,但近一年來無月經。身 體檢查發現擠壓乳頭有白色乳汁。與此病人之鑑別診斷較不相關的為下列那一項? (A) prolactin (B) TSH (C)婦產科超音波 (D)用藥史
44 一位 20 歲女性病人,主訴近三個月來有陣發性心悸、冒汗、頭痛等症狀。目前尚無體重減輕,平時 也沒有手抖的現象。幾次測量血壓時發現有忽高忽低、變化極大的現象。對於此病人應該先建議什 麼檢查? (A)free T4 and TSH (B)ACTH and cortisol (C) aldosterone and renin (D) 24-hour urine VMA and catecholamine
45 一位 30 歲女性因發燒、倦怠、頸部不適來診,身體檢查發現右甲狀腺有一壓痛硬塊,皮膚外觀正常; 抽血檢查發現ESR 1 hr 100 mm、CRP 5.2 mg/L,free T4 2.0 ng/dL(參考值 0.60~1.75)、hsTSH<0.01 μU/mL。下列處置何者最適當? (A)細針穿刺細胞學檢查 (B)甲狀腺超音波檢查 (C)進行細菌培養 (D)給予糖皮質素及非類固醇消炎藥(NSAID)
46 下列有關血管內導管置放及照護何者錯誤? (A)周邊靜脈導管應 72-96 小時更換注射部位以預防靜脈炎的發生 (B)導管注射部位應每天診視有無感染現象 (C)一般注射部位並不需要使用抗生素藥膏來預防感染 (D)注射部位的選擇並不會影響感染的發生
47 對於目前臺灣的化膿性肝膿瘍之敘述,下列何者錯誤? (A)在肝膽沒有解剖結構異常的情況下,最常見的致病菌是 Klebsiella pneumoniae,此菌通常對 ampicillin 具抗藥性 (B)當病人有肝膽道結構異常,混合菌種如 Escherichia coli 及厭氧菌是常見病原 (C)潛隱性(cryptogenic)肝膿瘍主要是指沒有解剖結構異常者,這類病人常見有糖尿病 (D)潛隱性肝膿瘍治療之原則包括及早引流及採用含有 gentamicin 和 metronidazole 之抗生素治療
48 一個金黃色葡萄球菌敗血症病人對 ampicillin 和 cephalothin 過敏,且該細菌對 tetracycline 和 erythromycin 具有抗藥性,則應選用何種藥物來治療最適當? (A) imipenem (B) vancomycin (C) polymyxin B (D) cephaloridine
49 下列患者感染到結核菌會增加活動性結核病發生之相對危險性,其中何者之危險性最低? (A)愛滋病患者 (B)慢性腎衰竭/血液透析者 (C)糖尿病患者 (D)靜脈藥癮者
50 一位 34 歲女性,因發燒、頭痛及噁心三天而至急診求診。身體檢查發現病患意識清楚,但有頸部僵 硬及 Kernig’s sign(+)。診斷處理上,下列何者最不適當?(A)安排腦部電腦斷層掃描(B)馬上做血液培養(C)馬上給予抗生素 cefazolin 治療(D)做腰椎穿刺取得腦脊髓液做檢查
51 一位 55 歲慢性 B 型肝炎肝硬化之患者,住院 3 日前至臺灣南部海邊游泳,不慎被尖銳物割傷右下肢, 患者起初不以為意,當日下午開始出現右下肢腫脹且疼痛不堪,同時有發燒、畏寒現象而被送至醫 院急診,身體檢查可見右小腿割傷處有紅腫熱及壓痛,並有多處出血水泡病灶,住院後患者開始有 意識不清,血壓下降之情況,水泡抽取液抹片在顯微鏡下可見到多處革蘭氏陰性桿菌聚集,此時血 液培養亦通報為革蘭氏陰性桿菌。此菌最有可能是下列那一項? (A) Pseudomonas aeruginosa (B) Escherichia coli (C) Vibrio vulnificus (D) Salmonella
52 輸血反應中,非溶血性發熱反應之發生頻率為: (A) 1/6,000 (B) 1/200 (C) 1/1,000 (D) 1/25,000
53 一般而言,大部分高血壓病人是在何種情況下被測知? (A)因胸痛在急診處被測知 (B)因視力模糊在眼科門診被測知 (C)無症狀,在例行檢查被測知 (D)因頭痛在神經科門診被測知
54 關於腸胃道基質瘤(gastrointestinal stromal tumor,GIST)的敘述,下列何者錯誤? (A)屬於腸胃道間葉腫瘤(gastrointestinal mesenchymal tumor,GIMT)之一 (B)腸胃道基質瘤多數好發於胃部(60%-70%) (C)可同時表現 CD117(c-Kit)及 CD34 (D) STI 571(Gleevec)是主要治療方式
55 膽囊切除後腹瀉(post-cholecystectomy diarrhea)的最佳治療藥物為: (A)鉍鹽(bismuth subcitrate) (B)四環素(tetracycline) (C) cholestyramine (D) loperamide
56 下列關於靜脈藥癮者心內膜炎的敘述,何者正確? (A)大多是草綠鏈球菌(viridans streptococci)引起的 (B)大多是腸球菌(Enterococcus)引起的 (C)常侵犯二尖瓣 (D)常侵犯三尖瓣
57 有關抗心律不整藥物(antiarrhythmic drugs)之促心律不整作用(proarrhythmic effects)之敘述,下 列何者錯誤? (A) quinidine 會引起 Torsades des pointes (B) sotalol 會引起 Torsades des pointes (C) digoxin 中毒會引起 Torsades des pointes (D) propafenone 較少引起 Torsades des pointes
58 一位外籍勞工由雇主協同來診,主訴下腹痛、血便、腹瀉,合併體重減輕、發燒,糞便檢查如圖, 診斷為何? (A) amebiasis (B) trichinellosis (C) ascariasis (D) hookworm
59 一位 35 歲女性最近兩個月來有微燒,而體重減輕約 6 公斤,吃飯之後會有輕度腹痛。檢查結果發現 WBC 11500/µL、CRP 1.46 mg/L、ANA:1:160 speckled、cANCA 陰性、anti-cardiolipin < 12 U/mL, proteinuria (++),腹部血管攝影如附圖。最可能的診斷為何?
(A) anti-phospholipid syndrome (B) mesenteric artery atherosclerosis (C) polyarteritis nodosa (D) primary Raynaud’s disease
60 一位 28 歲女性有氣喘病史達三年之久,最近一星期來有發燒及頸部淋巴結腫脹。三天前在兩側上肢 有紅疹出現,皮膚組織切片(如附圖)有血管炎的特徵,血液常規檢查發現 eosinophil 28.4%,而 serum IgE 546 IU/mL。最可能的診斷為何?
(A) leukocytoclastic vasculitis (B) microscopic polyangiitis (C) giant cell vasculitis (D) Churg-Strauss syndrome
61 根據所附手指的外觀,患者的手指遇冷時會變白後變紫現象有數年之久,病人最可能罹患那一種疾病?
(A)全身性紅斑狼瘡 (B)全身性硬皮症 (C)皮肌炎 (D)修格連氏乾燥症
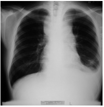
62 一位26 歲男性因發燒、疲倦入院,血液檢查發現血紅素為9.5 g/dL;白血球36,300/µL,其中blast 30.5%, banded neutrophil 4.5%,segmented neutrophil 51%,monocyte 2%,lymphocyte 12%;血小板 103,000/µL。 胸部 X 光如圖所示。下列何者為此位病人最可能的診斷?
(A) lung cancer (B) pneumonia (C) T-lymphoblastic leukemia (D) acute myeloblastic leukemia
63 一位 27 歲病人因牙齦出血不止來診,血液相顯示血紅素 7.8g/dL,白血球 1,250/µL,血小板 35,000/µL, 骨髓檢查如圖所示。對此病人最適當的治療為何?
(A) anthracycline 及 cytosine arabinoside (B) anthracycline 及 all-trans retinoic acid (C) anthracycline, vincristine 及 prednisolone (D) antithymocyte globulin 及 cyclosporin
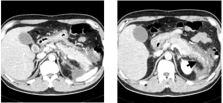
64 43 歲林先生,昨天中午和朋友去吃『鐵板燒』又喝酒。半夜感到腹痛難耐而被家人送醫。CT 顯示病 變如圖示。林先生最可能患了什麼病? (A)急性胰臟炎(acute pancreatitis) (B)胰臟腺癌(pancreatic adenocarcinoma) (C)胰臟斷裂(fracture of pancreas) (D)胰臟膿腫(pancreatic abscess)
65 一位 75 歲男性,退伍軍人,有五十多年的吸菸史,因為近五年來持續惡化的乾咳求診。身體檢查發 現有杵狀指,肺部聽診時,於兩側下半部在整個吸氣期都有緊湊的細囉音。胸部電腦斷層的影像如 附圖。此患者最可能的診斷為何?
(A)類肉瘤腫(sarcoidosis) (B)原發性肺纖維化(idiopathic pulmonary fibrosis) (C)塵肺症(pneumoconiosis) (D)慢性阻塞性肺病(COPD)
66 基層保健醫療服務的五種特質(3C2A)不包括下列何者? (A)可近性(accessibility) (B)周全性(comprehensiveness) (C)社區性(community) (D)持續性(continuity)
67 臺灣現有的成人預防保健服務比較符合下列那一項週期性健康檢查(periodic health examination)的理念? (A)篩檢與諮詢 (B)根據年齡與性別有不同的檢查 (C)針對高危險群有不同的建議 (D)項目的選擇是根據實證為基礎(evidence based practice)
複選題
68 一位 60 歲男性計程車駕駛,從年輕時已開始抽菸,平常很少運動,最近因心悸及體重減輕 5 公斤, 因而參加健保的成人健檢。檢查並沒有異常,下一步應建議何種檢查? (A)糖化血色素(HbA1C) (B)檢查甲狀腺素 (C)檢查胸部X光 (D)檢查肝腎功能
69 在醫療面談時,下列對病人表達同理心的敘述,何者為最適當? (A)應與病人有相同的情緒表現 (B)應向病人確認你所感受到的情緒 (C)遇到悲傷的病人應鼓勵思考人生的光明面 (D)應等病人把所有病史說明清楚後再作表達
70 下列關於戒菸的敘述,何者錯誤? (A)戒菸諮詢低於 3 分鐘,沒有效果 (B)戒菸諮詢超過 10 分鐘,可增加戒菸成功率 (C)多次的戒菸諮詢,可增加戒菸成功率 (D)對於吸菸者,每次門診給予戒菸建議,可提高戒菸成功率
71 某一社區有一世代研究,在 4000 個案的研究中,1000 個案是吸菸者,3000 個案是非吸菸者,假設 20 年後,在吸菸者中有 22 位得到癌症,不吸菸者中有 6 位得到癌症,其結果 11:1 是指下列何者而言?(A)勝算比(odds ratio)(B)相對危險性(relative risk)(C)可歸因的危險性(attributable risk)(D)盛行率(prevalence rate)
72 陳太太,48 歲,二年前被發現卵巢癌並經手術切除後即未規則於門診追蹤,三個月前因腹痛就診, 發現卵巢癌復發且合併腹腔多處轉移,經化學治療仍無效,最近二週因喘得厲害而住院治療。胸部 X 光顯示雙側肺部有多處大小不一的腫瘤且合併雙側肋膜積水,雖經胸水放液術(pigtail drainage)多 次,肋膜積水仍然未見消退,且陳太太已表明拒絕心肺復甦術或進一步的胸管放置或胸水放液術的 施行。下列何種治療或建議較為適當? (A)因肋膜積水導致呼吸困難會危及生命,故仍應堅持給予胸管放置或胸水放液術 (B)可考慮定時給予嗎啡以緩解其呼吸困難,但施行前,應充分告知病患及家屬可能的利與弊,並取 得其同意後實施 (C)給予進一步的化學及放射線治療以緩解其呼吸困難 (D)因患者不願接受心肺復甦術,故只給予面罩氧氣治療即可,不需太積極處理其症狀
73 一位 20 歲女性,主訴胸痛和咳嗽,胸部影像如附圖,則最可能的診斷為下列何者?
(A)右肺上葉肺炎 (B)右肺中葉肺炎 (C)前縱膈腔腫瘤 (D)右肋膜局限性積液
74 一位 53 歲女性,因左乳癌接受化療,主訴衰弱及呼吸急促,注射對比劑後 CT 影像如附圖,則最可 能的診斷為下列何者?
(A)肥厚性心肌病變 (B)心包膜積液 (C)擴張性心肌病變 (D)縱膈腔淋巴結轉移
75 根據多數大型研究資料結果顯示,因腹痛至急診的所有病人中,最常見的疾病是下列何者? (A)膽道疾病(biliary tract disease) (B)非特異性腹痛(nonspecific abdominal pain) (C)闌尾炎(appendicitis) (D)腫瘤(cancer)
76 一位 54 歲女性,因嚴重黃疸、食慾不佳至急診室就診,病患因一個月前被診斷出有活動性肺結核, 而開始服用抗結核藥物(包括 isoniazid、rifampin、ethambutol)和 pyridoxine,其血液生化檢驗顯示 其 ALT 680 U/L;AST 650 U/L;total bilirubin 18 mg/dL;creatinine 1.4 mg/dL;血壓 130/70 mmHg, 脈搏 72/分,呼吸次數 18/分,下列診斷何者最有可能? (A) isoniazid 所引起的肝炎 (B) pyridoxine 所引起的肝炎 (C) rifampin 所引起的肝炎 (D) ethambutol 所引起的肝炎
77 一位 65 歲病患因逐漸呼吸困難被送到急診室,呼吸次數 28/分,血壓 80/40 mmHg,竇性頻脈 120/分, 兩側肺部有明顯囉音及喘鳴聲(wheezing),此時除了給予高濃度氧氣及監視器外,下列那一項處置 較適當? (A)注射利尿劑 furosemide (B)靜脈滴注 dobutamine (C)靜脈滴注 nitroglycerin (D)靜脈滴注 dopamine
78 一位有高血壓病史之 70 歲女性到急診,主訴全身虛弱無力已三天,血壓 80/40 mmHg,心電圖如下 圖,下列何者是病患最可能服用藥物的組合?
(A) lasix(furosemide)和 ACEI(angiotensin-converting enzyme inhibitor) (B) moduretic(含 amiloride)和 ACEI (C) lasix 和 nifedipine(calcium channel blockade) (D) moduretic 和 nifedipine
79 某家位於偏遠地區的小型醫院,全院只有一台呼吸器,目前正由一位八十多歲的病人在使用中。此 時一位住在附近燒炭自殺的高中生被家人送來醫院急診,情況危急而亦需使用呼吸器。下列那項處 置最為恰當? (A)呼吸器改給高中生用,因老病人時日無多,救年輕人較符合效益 (B)呼吸器仍給老病人用,拒收置高中生 (C)由院外公正人士進行抽籤,以決定由誰取得呼吸器的使用權 (D)使用袋-瓣-面罩(bag-valve-mask)協助高中生呼吸,並立即轉院
80 醫師應尊重病人的自主意願(autonomy),在徵詢病人的自主意願前,下列何者不是病人應具備的 基本條件? (A)意識清楚 (B)具思考能力 (C)具法律上行為能力 (D)具基本教育程度
申論題 (0)
相關試卷
115年 - 115 專技高考_醫師(二):醫學(三)(包括內科、家庭醫學科等科目及其相關臨床實例與醫學倫理)#137317
115年 · #137317
114年 - 114-2 專技高考_醫師(二):醫學(三)(包括內科、家庭醫學科等科目及其相關臨床實例與醫學倫理)#127920
114年 · #127920
114年 - 114-1 專技高考_醫師(二):醫學(三)(包括內科、家庭醫學科等科目及其相關臨床實例與醫學倫理)#125089
114年 · #125089
113年 - 113-2 專技高考_醫師(二):醫學(三)(包括內科、家庭醫學科等科目及其相關臨床實例與醫學倫理)#120658
113年 · #120658
113年 - 113-1 專技高考_醫師(二):醫學(三)(包括內科、家庭醫學科等科目及其相關臨床實例與醫學倫理)#118724
113年 · #118724
112年 - 112-2 專技高考_醫師(二):醫學(三)(包括內科、家庭醫學科等科目及其相關臨床實例與醫學倫理)#114972
112年 · #114972
112年 - 112-1 專技高考_醫師(二):醫學(三)(包括內科、家庭醫學科等科目及其相關臨床實例與醫學倫理)#113147
112年 · #113147
111年 - 111-2 專技高考_醫師(二):醫學(三)(包括內科、家庭醫學科等科目及其相關臨床實例與醫學倫理)#108729
111年 · #108729
111年 - 111-1 專技高考_醫師(二):醫學(三)(包括內科、家庭醫學科等科目及其相關臨床實例與醫學倫理)#106186
111年 · #106186
110年 - 110-2 專技高考_醫師(二):醫學(三)(包括內科、家庭醫學科等科目及其相關臨床實例與醫學倫理)#99914
110年 · #99914