阿摩線上測驗
登入
首頁
>
醫學四:80題 ( 包括小兒科,皮膚科,神經科,精神科等科目及其相關臨床實例與醫學倫理 )
> 99年 - 99-2 專技高考_醫師(二):醫學(四)(包括小兒科、皮膚科、神經科、精神科等科目及其相關臨床實例與醫學倫理)#36890
99年 - 99-2 專技高考_醫師(二):醫學(四)(包括小兒科、皮膚科、神經科、精神科等科目及其相關臨床實例與醫學倫理)#36890
科目:
醫學四:80題 ( 包括小兒科,皮膚科,神經科,精神科等科目及其相關臨床實例與醫學倫理 ) |
年份:
99年 |
選擇題數:
80 |
申論題數:
0
試卷資訊
所屬科目:
醫學四:80題 ( 包括小兒科,皮膚科,神經科,精神科等科目及其相關臨床實例與醫學倫理 )
選擇題 (80)
1 有一位嬰兒出生時沒有明顯的異狀。大約 3 個月大時,父母覺得寶寶的肢體動得比較不好。一次感 冒後咳嗽一直不好,呼吸變得困難,送到醫院檢查胸部 X 光發現心臟很大,抽血 creatinine kinase 濃 度明顯上升。下列那一項後續的診斷發展最為適當? (A)抽血檢查 acid alpha-glucosidase 活性,證明為龐貝氏症(Pompe disease) (B)心臟超音波,證明為心室中膈缺損 (C)肌肉切片檢查,證明為脊髓性肌肉萎縮症 (D)基因檢測,證明為裘馨氏肌肉失養症
2 家族型高膽固醇血症有可能是因為低密度脂蛋白受體基因突變所引起。一對夫妻有一位 5 歲的小孩, 身上出現黃色瘤(xanthoma)而就診。抽血檢查後發現其膽固醇濃度非常的高,大於 1000 mg/dL。 如果醫師進行家族分析,很可能會有下列那一項發現? (A)父親的膽固醇濃度大於 1000 mg/dL,母親正常 (B)母親的膽固醇濃度大於 1000 mg/dL,父親正常 (C)父母親的膽固醇濃度都介於 300~400 mg/dL 之間 (D)父母親的膽固醇濃度都正常
3 粒線體遺傳和 X 染色體遺傳最明顯的差異是: (A)粒線體遺傳可以由男性或女性患者遺傳下去;X 染色體遺傳只能由女性患者遺傳下去 (B) X 染色體遺傳可以由男性或女性患者遺傳下去;粒線體遺傳只能由女性患者遺傳下去 (C)粒線體遺傳患者可以遺傳給男性或女性的小孩;X 染色體遺傳患者只能遺傳給男性的小孩 (D) X 染色體遺傳患者可以遺傳給男性或女性的小孩;粒線體遺傳患者只能遺傳給男性的小孩
4 一位 10 歲男孩,主訴 1 星期前感冒,來診前 1 天相當疲倦,今天突然暈倒,蒼白盜汗,心跳約 40 多次/分,心電圖如附圖,最可能的診斷為何?
(A)感冒藥副作用 (B)心肌炎合併完全房室傳導障礙 (C)先天性心臟病 (D) Wolff-Parkinson-White 症候群
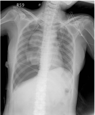
5 一位 15 歲女孩因呼吸急迫就診,過去病史不明,緊急胸部 X 光如附圖。圖中顯示何種必須緊急處理 的問題?
(A) Pneumonia (B) Pneumothorax (C) Internal bleeding (D) Fracture
6 先天性心臟病約占活產兒 0.5-0.8%,但在新生兒合併下列狀況時,其發生率會提高 10 倍以上。前述 現象最適合的例子為: (A) Trisomy 21 (B) Maternal lupus (C) Persistent pulmonary hypertension (D) Maternal smoking
7 無脾症(asplenia syndrome 或稱 right isomerism)為 heterotaxy 症候群的一種表現。下列敘述何者與 無脾症最沒有關聯? (A)常合併複雜性心臟病 (B)血液抹片可看到紅血球內的 Howell-Jolly body (C)較易得到細菌性感染 (D)易合併膽道異常
8 一位 4 天大男嬰出生後發現全身有 blueberry muffin spot,此病童最不可能是:
(A)白血病(acute leukemia) (B)特發性血小板低下性紫斑症(idiopathic thrombocytopenic purpura) (C) Langerhans’ cell histiocytosis (D)先天性感染(congenital infection)
9 一位 12 歲血紅素 H 症(hemoglobin H disease)患者,曾接受脾臟切除,最近有發高燒及咳嗽情形, 考慮病人可能有敗血症(sepsis)狀況,下列那種病菌較不常見於此患者身上? (A) Streptococcus pneumoniae (B) Escherichia coli (C) Haemophilus influenzae (D) Neisseria meningitidis
10 第 8 及第 14 染色體轉位 t(8;14)和下列何者關聯性最高? (A)神經母細胞瘤(neuroblastoma) (B)威爾姆氏腫瘤(Wilms tumor) (C)急性淋巴性白血病(acute lymphoblastic leukemia) (D)非霍杰金氏淋巴瘤(non-Hodgkin lymphoma)
11 一位媽媽帶著她 6 個月大的男嬰來到兒科急診,主訴這位小嬰兒自從出生後,已有 10 次中耳炎發作 及 2 次因肺炎住院的過去病史,理學檢查時發現這嬰兒身上有多處瘀青(bruises),四肢也有多處濕 疹(eczema),您認為這位小男嬰可能的診斷是: (A) Ataxia-telangiectasia (B) Wiskott-Aldrich syndrome (C) X-linked agammaglobulinemia (D) Combined variable immunodeficiency
12 一位 6 歲男性幼童在老師建議下,由其母親帶至精神科就醫。據其母親描述:患者在幼稚園上課時, 常常坐不住,愛四處亂跑,無法專心學習,對老師的勸誡皆不聽從,同學們也都因此排擠他。此種 情形已經持續超過 6 個月。下列何者為患者最可能之臨床診斷? (A)自閉症 (B)智能不足 (C)亞斯伯格症候群 (D)注意力缺失/過動症
13 治療氣喘病的藥物主要有急性發作時使用的緩解藥物(quick reliever)及長期使用的保養藥物(longterm controller medication)。下列何者不屬於氣喘長期保養藥物? (A)吸入劑型類固醇(inhaled corticosteroids) (B)長效吸入型乙二型腎上腺素作用劑(long-acting inhaled β2-agonist) (C)白三烯素調節劑(leukotriene-modifying agents) (D)抗膽鹼劑(anticholinergic agents)
14 有關 juvenile rheumatoid arthritis(JRA)的敘述,下列何者錯誤? (A)生長和發展異常是 JRA 常見的併發症 (B)若侵犯到 TMJ(temporomandibular joints),可導致 macrognathia (C)不對稱的下肢關節炎,常導致雙腳不等長 (D) Leg length 不同也可因 pelvic rotation 和 scoliosis 所造成
15 一位 6 歲男童因為父母發現他臉上有青春痘及陰毛發育而就診,身體檢查顯示陰毛確已發育,兩側睪丸 均為 2-3 毫升,當時病人骨齡為 13 歲。性釋素刺激試驗(GnRH test)顯示其睪固酮(testosterone)基礎 值為 5 ng/mL,於性釋素刺激後,濾泡促素(FSH)之最高值為 0.5 IU/L,黃體促素(LH)之最高值 為 0.5 IU/L。此病童最可能的病因為何? (A)下視丘錯構瘤(hypothalamic hamartoma) (B)睪丸萊氏細胞瘤(Leydig cell tumor of testis) (C)先天性腎上腺增生(congenital adrenal hyperplasia) (D)顱咽瘤(craniopharyngioma)
16 一位 8 個月大女嬰仍不會翻身,身體檢查發現皮膚較乾燥,且有臍疝氣。就此個案言,下列那一項 檢查最適當? (A) T3, T4 (B) T3, TSH (C) T4, TSH (D)由腳跟採血片測 TSH 值
17 下列那一種疾病所導致的性腺低能症(hypogonadism)的致病機轉與其他三者不同? (A) Kallmann syndrome (B) Hypopituitarism (C) X-linked congenital adrenal hypoplasia (D) Klinefelter syndrome
18 一位 1 歲 1 個月小孩因 3 個月來逐漸軟弱無力來診。主訴在 8 個月大時一次感冒後被發覺漸進式肌 肉無力,理學檢查全身肌肉鬆軟,肌力約為二至三度,無法坐直,檢查血中 creatine kinase(CK)、 乳酸及丙酮酸值均升高。最可能的診斷為何? (A)脊髓神經萎縮症(spinal muscular atrophy) (B)裘馨氏肌肉失養症(Duchenne muscular dystrophy) (C)先天性肌病(congenital myopathy) (D)粒線體肌病變(mitochondrial myopathy)
19 有關全身性紅斑性狼瘡(systemic lupus erythematosus;SLE)之中樞神經合併症,何者最少見? (A)腦病變 (B)精神病變 (C)腦血管疾病 (D)腦膿瘍
20 下列何者不屬於粒線體腦病變? (A) Leigh 氏病 (B)雷特氏症候群(Rett syndrome) (C)雷氏症候群(Reye syndrome) (D)具 ragged-red fiber 之肌躍性癲癇(MERRF)
21 一位 13 歲男童因肉眼可見之血尿(gross hematuria)、下肢皮膚紅疹(skin rash)及腹痛入院。他在 過去 1 年當中曾經因為相同的症狀反覆住院 3 次。他最可能的診斷是: (A)全身性紅斑性狼瘡合併狼瘡性腎炎(lupus nephritis) (B) IgA 腎炎(IgA nephropathy) (C) Henoch-Schönlein 紫斑症(Henoch-Schönlein purpura) (D)家族性薄基底膜疾病(familial thin basement membrane disease)
22 一位 13 歲男孩學校尿液篩檢發現有血尿。他主訴以前在上呼吸道感染後一兩天就會有肉眼可見的血 尿,但是會自然消失。醫師檢查發現他戴有助聽器,而且哥哥患有末期腎病,目前規則接受 1 週 3 次之血液透析。尿液常規檢查顯示 occult blood:強陽性(3+); Protein: >300 mg/dL; WBC 3-5/HPF; RBC 100-150/HPF。下列何者為其最可能之診斷? (A)局部巢狀腎絲球硬化(focal segmental glomerulosclerosis) (B) Alport 症候群(Alport syndrome) (C)家族性薄基底膜疾病(familial thin basement membrane disease) (D)先天性腎病症候群(congenital nephrotic syndrome)
23 一位 2 個月大的女嬰今早因尿布上有紅尿(如圖)至急診求診。女嬰母親主訴過去一天母乳餵哺狀 況良好。身體檢查發現女嬰除有輕微皮膚黃外,精神活力良好。尿液常規檢查顯示 bilirubin:陰性(-); urobilinogen:陰性(-); occult blood:陰性(-); protein:陰性(-); WBC 0-2/HPF; RBC 0-2/HPF。下列何 者為其最可能之診斷?
(A)急性肝炎(acute hepatitis) (B)急性溶血(acute hemolysis) (C)尿酸結晶(urates) (D)紫質(porphyrin)
24 一位 5 歲大之病童因誤吞下牙籤而發生吞嚥困難且不斷流口水。胸部 X 光檢查未見任何異物存在,但 小孩仍持續有症狀。接下來您安排下列何種檢查最好? (A)食道鏡檢查 (B)支氣管鏡檢查 (C)頸部超音波檢查 (D)胸部斷層掃描檢查
25 有關新生兒身體檢查,下列敘述何者錯誤? (A)兩手臂成不對稱伸張之驚嚇反射(Moro reflex),要考慮是否有臂神經叢(brachial plexus)受損 (B)乳頭分泌乳汁,是受母體激素影響所致 (C)頭部頭血腫(cephalohematoma),應用減菌針頭吸取積血以免造成壓迫 (D)頭部產瘤(caput succedaneum)通常自動消失不須治療
26 目前台灣地區進行的新生兒篩檢,不包括下列那一項? (A)高胱氨酸尿症(homocystinuria) (B)海洋性貧血(thalassemia) (C)先天性腎上腺增生症(congenital adrenal hyperplasia) (D)中鏈醯輔酶 A 去氫酶缺乏症(medium-chain acetyl-CoA dehydrogenase)
27 下列何者不是一位 10 個月大的男嬰應該有的正常表現? (A)會抬頭 (B)會翻身 (C)會坐 (D)有 Moro reflex
28 一位 9 歲女童於雙側臉頰出現紅斑,四肢伸展側有網狀紅斑,並無發燒與呼吸道症狀。下列那一項 是最可能的診斷? (A) Drug allergy (B) Erythema infectiosum (C) Rubella (D) Scarlet fever
29 一位 2 個月女嬰因為持續劇烈咳嗽 3 週與發燒 1 週就診,身體檢查發現臉部有些小出血點,咽部正常, 雙側肺部呼吸音正常,血液檢查白血球 17,500/mm
3
,segment 15%,monocyte 3%,lymphocyte 82%, platelet 365,000/mm
3
。上述資訊中,那一項最不符合百日咳的典型表現? (A)白血球分類 (B)肺部呼吸音 (C)持續發燒 (D)發病年齡
30 所發現的細菌最可能是下列那一種? (A) Streptococcus pneumoniae (B) Haemophilus influenzae (C) Pseudomonas aeruginosa (D) Escherichia coli
31 承上題,引起急性中耳炎的常見革蘭氏陰性細菌對 amoxicillin 產生抗藥性最常見的原因是下列那一 項? (A) Penicillin 結合蛋白與抗生素的結合力下降 (B)抗生素對細菌的穿透力下降 (C)細菌分泌酵素分解抗生素 (D)細菌加快排出抗生素
32 一位 28 歲男性,從 3 年前在臉部、四肢陸續長出如圖所示的無症狀白色斑,發疹前皮膚並無外傷或 明顯的發炎情形。最可能的診斷為:
(A)白斑(vitiligo) (B)白糠疹(pityriasis alba) (C)汗斑(tinea versicolor) (D)發炎後色素減少(post-inflammatory hypopigmentation)
33 一位 40 歲婦女,最近 1 年在兩頰發生大塊均勻的褐色斑(brown patches),如圖所示。此斑會因曝 曬陽光而惡化,其最可能的診斷為:
(A)日光性小痣(solar lentigo) (B)肝斑(chloasma) (C)發炎後色素沈澱(post-inflammatory hyperpigmentation) (D)雀斑(freckles)
34 關於乾癬(psoriasis)的敘述,何者錯誤? (A)關節炎可能是此病的皮膚外病徵(extra-cutaneous manifestation) (B)手肘及膝蓋是好發的部位之一 (C)口服類固醇是首選治療法 (D) Auspitz sign 及 Koebner phenomenon 都是此病的表徵之一
35 惡性黑色素細胞瘤(malignant melanoma)最重要的預後因子是: (A)腫瘤厚度(tumor thickness) (B)發生部位(anatomic site) (C)腫瘤周邊有無淋巴球浸潤(tumor-infiltrating lymphocytes) (D)分裂指數(mitotic rate)
36 新生兒紅斑性狼瘡(neonatal lupus erythematosus)除了皮膚症狀外,也容易合併內臟器官病變,下列 4 種器官中,何者發生病變的機率最高? (A)腎臟 (B)心臟 (C)肺臟 (D)脾臟
37 該病患最可能診斷為: (A)異位性皮膚炎(atopic dermatitis) (B)過敏性接觸性皮膚炎(allergic contact dermatitis) (C)脂漏性皮膚炎(seborrheic dermatitis) (D)鬱血性皮膚炎(stasis dermatitis)
38 承上題,患者若抽血檢驗,較常出現的異常數值為: (A) Neutrophil 數目增加 (B) IgA 升高 (C) IgE 升高 (D) ALT 升高
39 下列那一項 檢查對診斷的幫助最小? (A)眼睛分泌物的細菌培養 (B)咽喉處的細菌培養 (C)軀幹小水泡的細菌培養 (D)鼻孔處的細菌培養
40 承上題,皮膚水泡的病理切片顯示在表皮內的顆粒層,角質細胞鬆解,關於致病機轉的解釋,下列何者 正確? (A)細菌直接感染表皮細胞破壞 desmosome (B)毒素選擇性裂解 desmoglein 1 (C)抗體免疫性攻擊 desmoglein 1 (D)外力摩擦導致
41 一位 86 歲男性,自 10 年前在耳後長出如圖 A 的紅色至黑色的皮膚病變,併發糜爛,皮膚切片如圖 B, 腫瘤細胞染 melanoma marker(HMB45)呈現陰性反應,最可能的診斷為:
(A)鱗狀細胞癌(squamous cell carcinoma) (B)黑色素細胞瘤(melanoma) (C)卡波西氏肉瘤(Kaposi’s sarcoma) (D)基底細胞瘤(basal cell carcinoma)
42 該病患最可能的診斷為何?
(A)紅斑性狼瘡(lupus erythematosus) (B)多形性紅斑(erythema multiforme) (C)皮肌炎(dermatomyositis) (D)口眼乾燥關節炎症候群(Sjögren syndrome)
43 承上題,上述疾病常合併癌症,應做癌症篩檢,此疾病在台灣最常合併的癌症為何? (A)肺癌(lung cancer) (B)肝癌(hepatoma) (C)大腸直腸癌(colorectal cancer) (D)鼻咽癌(nasopharyngeal cancer)
44 一位 20 歲女性罹患無月經症和視力模糊,她的視野缺損是雙側顳側偏盲,她可能有腦瘤長在: (A)鼻咽部(nasopharynx) (B)邊緣系統(limbic system) (C)中腦(midbrain) (D)腦下垂體(pituitary gland)
45 腦內最常見的黴菌(fungus)感染是: (A)隱球菌(cryptococcosis) (B)念珠菌(candidiasis) (C)麴菌(aspergillosis) (D)白黴菌(mucormycosis)
46 下列有關 polymyositis 的敘述,那一項較不可能? (A)須考慮 connective tissue disease 的可能性 (B)須考慮 carcinoma 的可能性 (C)大多數病人有 proximal muscle weakness (D)大多數病人在 proximal limbs 會麻木(numbness)
47 下列何種檢查對於多發性硬化症的診斷價值最低? (A)誘發電位(evoked potentials) (B)腦脊髓液 (C)腦波電流圖(EEG) (D)核磁共振(MRI)
48 當帕金森氏病人在晚期開始出現運動阻滯(motor block)時,進行下列何種動作比較不受影響? (A)上樓梯 (B)走平地 (C)過旋轉門 (D)進出電梯門
49 下列何藥物較不會對老人造成譫妄症(delirium)? (A)阿多平(atropine) (B)麻醉劑(narcotics) (C)苯二氮平類(benzodiazepines) (D)阿斯匹靈(aspirin)
50 下列那一部位之病變最可能造成 right homonymous superior quadrantic visual field defects? (A) Right parietal lobe (B) Left parietal lobe (C) Right temporal lobe (D) Left temporal lobe
51 Weber 症候群除了第三腦神經麻痺外,對側身體尚會出現何症狀? (A)失調症(ataxia) (B)偏癱(hemiplegia) (C)感覺喪失(hypoesthesia) (D)不自主動作(involuntary movement)
複選題
52 有關熱痙攣,檢查腦脊髓液的時機,下列何者錯誤? (A)小於 12 個月大的嬰兒第一次發生熱痙攣,理學檢查無頸部僵硬現象 (B) 12~18 個月大,發燒數日正服用抗生素的嬰兒第一次發生熱痙攣 (C) 2 歲大第一次發生泛發性僵直陣攣(generalized tonic-clonic) (D)大於 3 歲才發生的第一次熱痙攣
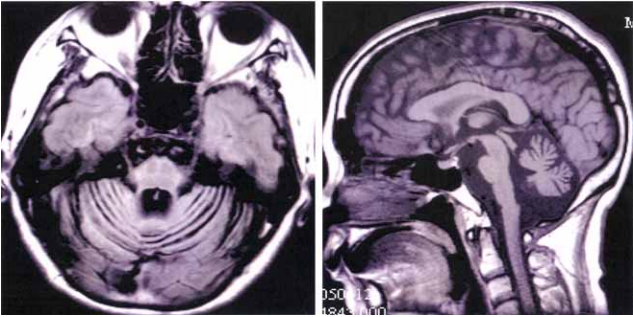
53 一位52 歲女性,最近數年來步態不穩,而且日趨嚴重,根據此2 張MRI 之T1WI 影像,最可能的診斷是:
(A) Multiple sclerosis(MS) (B) Olivopontocerebellar degeneration(OPCD) (C) Wallerian degeneration (D) Wallenberg syndrome
54 一位 36 歲的女性病人,因為癲癇發作及意識障礙而住院治療。1 週前她開始有輕微的發燒及頭痛;2 天前有一次聽到外面有人在講她的壞話,跑出去跟不相關的路人大吵一架,然後就不再出門,在家 裡喃喃自語,行為非常奇怪;今天早上發生癲癇而來住院。病人在急診室做了腦脊髓液的檢查,結 果顯示RBC 102/mm3 、WBC 347/mm3 ,其中 83%是淋巴球,蛋白質為正常的 1.5 倍,糖分濃度則正 好為當時血糖值的一半。腦波檢查發現兩側顳葉的功能異常,並有規則陣發性的癲癇樣放電(periodic epileptiform discharges)。下列診斷中那一項最有可能? (A)細菌性腦膜炎(bacterial meningitis) (B)單純疱疹性腦炎(herpes simplex encephalitis) (C)黴菌性腦炎(fungal meningoencephalitis) (D)結核菌性腦膜炎(T.B. meningitis)
55 下列何者不是血管型失智症(vascular dementia)常見的病徵? (A)偽性球體麻痺(pseudobulbar palsy) (B)局部神經學病徵(focal neurological signs) (C)情緒控制障礙(emotional incontinence) (D)肌腱反射減弱(decreased tendon reflex)
56 王先生 38 歲,他在近 2 年來逐漸變得多疑,事事挑人毛病,偶會爆發脾氣,同時無法集中注意力, 手指會出現不規則扭動,無法長時間緊握一件物體。追問其家族史發現他的爸爸在 45 歲左右有類似 的症狀,發病幾年後已去世。最可能之診斷是: (A)魏斯特氏症候群(West’s syndrome) (B)亞爾培氏症(Alper’s disease) (C)貝爾氏麻痺(Bell’s palsy) (D)亨丁頓氏症(Huntington’s disease)
57 一位 46 歲女性病人,每天早上刷牙漱口或洗臉時,右臉頰都會劇痛,像被電電到一樣。病人已在牙 科治療 5 個月,拔除 3 顆蛀牙,疼痛仍未緩解。理學檢查沒有發現病人有任何運動或感覺異常。此 病人最可能患有: (A) Post-herpetic neuralgia (B) Trigeminal neuralgia (C) Cervical HIVD (D) Giant cell arteritis
58 一位 65 歲男性,突發性頭暈、嘔吐、口齒不清且吞嚥困難。身體檢查發現左側瞳孔較小且眼瞼下垂。 請問最可能的病因是: (A)左側後交通動脈之動脈瘤破裂(posterior communicating artery aneurysm rupture) (B)左側後下小腦動脈阻塞(posterior inferior cerebellar artery occlusion) (C)左側豆紋狀動脈阻塞(lenticulostriate artery occlusion) (D)左側中大腦動脈阻塞(middle cerebral artery occlusion)
複選題
59 下列關於強迫症(obsessive compulsive disorder)的敘述,何者正確? (A)超過半數以上的個案,病前人格是強迫性人格特質 (B)最常見的症狀表現為反覆檢查 (C)強迫症可能與皮質紋狀體路徑(corticostriatal pathways)較有關 (D)在童年期即發病者,其預後較好
60 陳先生最近幾個月的行為表現,以下列那種情況來解釋最適當? (A)精神分裂症的正性症狀 (B)精神分裂症的負性症狀 (C)精神分裂症的認知障礙 (D)精神分裂症合併憂鬱症狀
61 承上題,依據以上的狀況,下列何種立即處置最不被建議? (A)立即予以強制住院 (B)給予個案及家屬疾病的衛教資訊 (C)建議個案接受後續的社區復健治療 (D)暫時給予藥物協助鎮靜情緒
62 抗精神病藥物 clozapine 之副作用中,下列何者具有致命性,因而曾在 1970 年代被歐美等國禁用? (A)心肌炎 (B)便秘 (C)姿勢性低血壓 (D)顆粒性白血球缺乏症
63 下列那種憂鬱症較不可能發展為雙極性疾患(bipolar disorder)? (A)晚發型老年憂鬱症 (B)產後憂鬱症 (C)反覆憂鬱發作超過 5 次 (D)非典型憂鬱症(atypical depression)
64 對於恐慌症的治療,下列敘述何者錯誤? (A)馬上使用苯二氮平類藥物(benzodiazepines,BZDs)迅速控制恐慌症狀,4-12 週後再慢慢減量 (B)苯二氮平類藥物長期使用後不會降低治療恐慌症狀的作用 (C)贊安諾(alprazolam,Xanax)是最廣泛被使用的苯二氮平類藥物,但也是這類藥物中最難停用者 (D)選擇性血清素再吸收抑制劑(SSRIs)作用較慢,且為了馬上產生鎮靜效果,一開始就要用較高的 治療劑量
65 發生於 1990 年之波斯灣戰爭,70 萬美軍參戰,其中約有 10 萬人被報告罹患有「波斯灣戰爭症候群 (Gulf War syndrome)」。此一症候群屬於下列何種疾患? (A)退伍軍人症 (B)適應障礙疾患(adjustment disorder) (C)急性壓力疾患(acute stress disorder) (D)創傷後壓力疾患(post-traumatic stress disorder)
66 某身體化症(somatization disorder)之女性個案因多處疼痛、腸胃不適、經期不固定、平衡感差而頻 繁前往綜合醫院就醫,下列敘述何者錯誤? (A)宜固定一位診治醫師 (B)一般科醫師宜要求病患頻繁返診以找出生理病因 (C)儘量避免無謂的身體檢查 (D)罹患此症與個性或人格特質有關
67 以戒酒發泡錠 disulfiram(Antabuse)用來治療酒癮主要的機轉是: (A)阻斷乙醇去氫酶的作用 (B)降低喝酒的慾望 (C)提高酒精代謝的速率 (D)阻斷乙醛去氫酶的作用
68 一位 68 歲男性病患,銀行高級主管退休。原本身體健康無任何疾病,2 年前開始常常忘東忘西,曾 有數次出門後不知如何返家,被鄰居尋獲帶回。5 個月前,病患開始懷疑家人會偷拿他的財物,2 天 前甚至因此攻擊家人,但尚無睡眠障礙。此個案最可能被診斷為: (A)晚發型精神分裂症(late onset schizophrenia) (B)妄想症(delusional disorder) (C)失智症(dementia) (D)譫妄(delirium)
69 一位 45 歲男性患者每日大量飲酒持續 3 年。某日因酒醉後步態不穩跌跤而送醫。骨科醫師評估後安 排住院,預備開刀。患者未告知骨科醫師其有酗酒病史,結果在住院第 3 天,患者突然出現意識模 糊、激躁不安、睡眠紊亂、日夜顛倒、雙手發抖及視幻覺。此患者最可能之臨床診斷為下列何者? (A)酒精中毒(alcohol intoxication) (B)酒精誘發精神病(alcohol induced psychotic disorder) (C)酒精中毒譫妄(alcohol intoxication delirium) (D)酒精戒斷譫妄(alcohol withdrawal delirium)
70 下列何者是亞斯伯格症(Asperger’s disorder)最主要的症狀? (A)語言發展遲緩 (B)認知發展遲緩 (C)人際互動障礙 (D)自助技能與年齡不相稱
71 小明是一位 7 歲男童,自小在精神科門診被診斷為自閉症。據您推測,小明最不可能有下列那項臨 床特徵? (A)刻板而侷限的行為或興趣 (B)溝通障礙 (C)缺乏交互性社交互動 (D)廣泛性智能低下
72 一位 25 公斤兒童休克急救時,希望能達到尿液量為每小時多少毫升(mL)? (A) 30 (B) 60 (C) 90 (D) 120
73 一位 1 歲的王小弟弟在新生兒期超音波檢查中被發現有輕度水腎,經半年追蹤後已呈正常。現在有 一位自稱為保險公司的小姐,受其母親(王太太)請託到您的門診開立診斷書,下列何者為最佳作 法? (A)據實開出診斷證明 (B)請她回去拿王太太的委託書再來開 (C)請王太太打電話進來診間表示委託意願 (D)可開立診斷書,但請保險公司小姐在病歷上簽字以示負責
74 新生兒加護病房住進來一位 39 週新生兒,2300 公克,呼吸急促、躁動不安、哭鬧與嘔吐,診斷為海 洛因戒斷症候群(neonatal heroin withdrawal syndrome),此嬰兒的 24 歲母親承認吸食海洛因,應如 何處置最好? (A)輔導母親接受治療但維持其隱私 (B)向管轄警察局通報煙毒犯 (C)通報此嬰兒的父親與祖父母 (D)強制母親住院接受勒戒
75 有關腸套疊(intussusception)之敘述,下列何者最不正確? (A)常發生於 3 個月至 2 歲小孩 (B)大多需手術治療 (C)男生比女生常見 (D)糞便可能像“currant jelly"
76 一位 19 歲男性患者,主訴每次洗澡必須超過 5 小時,因他很擔心上班時辦公室的空氣、灰塵及其他 被人觸碰過的物體不乾淨,這樣擔心的想法持續地困擾他,久久揮之不去。此患者之臨床診斷最有 可能為下列何者? (A)慮病症 (B)憂鬱症 (C)強迫症 (D)妄想症
複選題
77 下列有關溶血性尿毒症候群(hemolytic uremic syndrome)之敘述,何者錯誤?(一律給分) (A)在已開發國家,絕大多數是由 Escherichia coli O157:H7 所引起 (B)周邊血之血液抹片可見到碎裂的紅血球細胞(fragmented RBC) (C) Coombs test 會呈現陽性反應 (D)尿液中之血尿、蛋白尿通常是輕度而不嚴重
78 一位新生兒有半側身體肥大(hemihypertrophy),大舌頭(marcoglossia),臟器肥大(visceromegaly), 此病人最有可能發生何種腫瘤? (A)神經母細胞瘤(neuroblastoma) (B)骨肉瘤(osteosarcoma) (C)白血病(acute leukemia) (D)威爾姆氏腫瘤(Wilms tumor)
79 一位 2 歲的林小妹妹,1 年來常常發燒,尿液檢查顯示感染性尿液。醫師為她做膀胱及排尿攝影檢查, 影像如圖示。林小妹妹最可能患了什麼病?
(A)結核病(tuberculosis) (B)逆流性腎病(reflux nephropathy) (C)腎乳頭壞死(papillary necrosis) (D)急性腎盂腎炎(acute pyelonephritis)
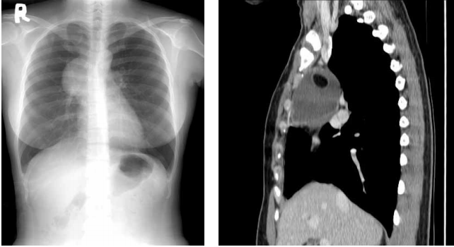
80 一位 8 歲女童,主訴胸悶、胸部 X 光片及 CT 如圖示,最正確的診斷應為:
(A)淋巴瘤 (B)畸胎瘤(teratoma) (C)胸腺瘤(thymoma) (D)胸腺囊腫(thymic cyst)
申論題 (0)
相關試卷
115年 - 115-1 專技高考_醫師(二):醫學(四)(包括小兒科、皮膚科、神經科、精神科等科目及其相關臨床實例與醫學倫理)#137336
115年 · #137336
114年 - 114 專技高考_醫師(二):醫學(四)(包括小兒科、皮膚科、神經科、精神科等科目及其相關臨床實例與醫學倫理)#127921
114年 · #127921
114年 - 114-1 專技高考_醫師(二):醫學(四)(包括小兒科、皮膚科、神經科、精神科等科目及其相關臨床實例與醫學倫理)#125091
114年 · #125091
113年 - 113-2 專技高考_醫師(二):醫學(四)(包括小兒科、皮膚科、神經科、精神科等科目及其相關臨床實例與醫學倫理)#120661
113年 · #120661
113年 - 113-1 專技高考_醫師(二):醫學(四)(包括小兒科、皮膚科、神經科、精神科等科目及其相關臨床實例與醫學倫理)#118722
113年 · #118722
112年 - 112-2 專技高考_醫師(二):醫學(四)(包括小兒科、皮膚科、神經科、精神科等科目及其相關臨床實例與醫學倫理)#114975
112年 · #114975
112年 - 112-1 專技高考 _醫師(二):醫學(四)(包括小兒科、皮膚科、神經科、精神科等科目及其相關臨床實例與醫學倫理)#113170
112年 · #113170
111年 - 111-2 專技高考_醫師(二):醫學(四)(包括小兒科、皮膚科、神經科、精神科等科目及其相關臨床實例與醫學倫理)#108728
111年 · #108728
111年 - 111-1 專技高考_醫師(二):醫學(四)(包括小兒科、皮膚科、神經科、精神科等科目及其相關臨床實例與醫學倫理)#106182
111年 · #106182
110年 - 110-2 專技高考_醫師(二):醫學(四)(包括小兒科、皮膚科、神經科、精神科等科目及其相關臨床實例與醫學倫理)#99891
110年 · #99891