阿摩線上測驗
登入
首頁
>
醫學三:80題 ( 包括內科,家庭醫學科等科目及其相關臨床實例與醫學倫理 )
> 100年 - 100-2 專技高考_醫師(二):醫學(三)(包括內科、家庭醫學科等科目及其相關臨床實例與醫學倫理)#36949
100年 - 100-2 專技高考_醫師(二):醫學(三)(包括內科、家庭醫學科等科目及其相關臨床實例與醫學倫理)#36949
科目:
醫學三:80題 ( 包括內科,家庭醫學科等科目及其相關臨床實例與醫學倫理 ) |
年份:
100年 |
選擇題數:
80 |
申論題數:
0
試卷資訊
所屬科目:
醫學三:80題 ( 包括內科,家庭醫學科等科目及其相關臨床實例與醫學倫理 )
選擇題 (80)
1 你(妳)是位急診醫師,60 歲的李先生因近日逐漸惡化的呼吸困難至急診就醫,理學檢查發現血壓 138/80 mmHg,心跳 96/分,呼吸 20/分,未給予氧氣時的血氧濃度為 90%,頸靜脈怒張,有第三心 音,在心尖有第三度的泛收縮期心雜音(grade III/VI pansystolic murmur over apex),雙側肺囉音 (crackles),及下肢水腫。關於李先生病情及處置下列何者錯誤? (A)應為失代償心衰竭(decompensated heart failure),可能合併肺水腫(pulmonary edema)。初步處 置為 LMNO,即利尿劑(loop diuretics: furosemide),硝化甘油(nitroglycerin),氧氣。Morphine 可視情況給予 (B)應探尋心衰竭病因及其惡化因子:如病史詢問(過去病史,藥物順從性,飲食,感染…),做心 電圖(心肌缺氧或心律不整),測心肌酵素(心肌梗塞),心臟超音波(瓣膜性心臟病),測 CBC (貧血,感染),甲狀腺功能等 (C)可開始使用 ACEI(Angiotensin-converting enzyme inhibitor),或 ARB(Angiotensin II receptor blocker) (D)儘快開始使用乙型交感神經阻斷劑(β-blocker)
2 王先生 78 歲,患高血壓多年,藥物調控一直不好,今天門診血壓為 170/70 mmHg,心跳 80/分,BUN 49.2 mg/dL、Creatinine 4.1 mg/dL、uric acid 7.2 mg/dL、K
+
6.1 mEq/L,下列那一組藥物最適合王先生的 治療: ①loop diuretics ②angiotensin-converting enzyme inhibitor ③angiotensin receptor blocker ④dihydropyridine calcium channel blocker (A)①② (B)②③ (C)③④ (D)①④
3 感染性心內膜炎病患在下列情況,通常會建議外科手術,何者除外? (A)瓣膜功能受損造成心臟衰竭 (B)適當抗生素治療下持續菌血症 (C)金黃色葡萄球菌感染同時有主動脈瓣環膿瘍 (D)三尖瓣心內膜炎
4 一位酗酒病人因意識不清、劇烈嘔吐被送至急診室。其血液生化檢查及動脈血分析如下:pH:7.40、 PaCO
2
:40 mmHg、HCO
3
:24 mEq/L、Glucose:120 mg/dL、BUN:10 mg/dL、Creatinine:0.7 mg/dL、 Na:134 mEq/L、K:2.6 mEq/L、Cl:80 mEq/L、Acetone:3
+
,則下列何者為正確的診斷? (A)血液酸鹼值正常無代謝性酸鹼疾病 (B)代謝性酸中毒合併代謝性鹼中毒 (C)代謝性酸中毒合併呼吸性鹼中毒 (D)代謝性鹼中毒合併呼吸性酸中毒
5 一位 52 歲的男性病人因上腹疼痛、盜汗至急診就診,理學檢查發現血壓為 88/58 mmHg,心跳 112/分, 兩側肺部無囉音,無心雜音。下列何種處置最不適當?(A)立即施行胸部及腹部 X 光檢查(B)立即施行心電圖檢查(C)立即給予靜脈滴注生理食鹽水(D)立即給予靜脈注射 Butylscopolamine(Buscopan)
6 下列何項在腎前腎衰竭(Prerenal azotemia)最不常見? (A)排鈉分率(FENa)小於 1% (B)尿鈉大於 10 mmol/L (C)尿比重大於 1.018 (D)出現玻璃圓柱(Hyaline casts)
7 非典型胸痛的年輕女子接受運動心電圖檢查,下列敘述何者最正確? (A)若呈陽性反應,則最終診斷為冠狀動脈疾病(coronary heart disease)的機率高 (B)若呈陽性反應,則最終診斷為二尖瓣脫垂(mitral valve prolapse)的機率高 (C)若呈陰性反應,則最終診斷為冠狀動脈疾病的機率極低 (D)若呈陰性反應,則最終診斷為二尖瓣脫垂的機率極低
8 一位 19 歲大一學生,新生健康檢查血壓 160/100 mmHg,在無服用藥物下,之後一個月家裡自量血 壓介於 130/88 至 170/106 mmHg 之間,鉀離子 2.8 mmol/L,鈉離子 140 mmol/L,氯離子 98 mmol/L。 此一高血壓應首先考慮下列那一種? (A)白袍高血壓(white coat hypertension) (B)本態性高血壓(essential hypertension) (C)腎動脈狹窄(renal artery stenosis) (D)腎上腺瘤(adrenal adenoma 或 primary hyperaldosteronism)
9 一位 30 歲男性病人,多次測量血壓,兩側上臂為 160/50 至 150/40 mmHg 之間,兩側下肢為 170/40 至 160/40 mmHg 之間。心臟聽診有第三級舒張期雜音(Gr 3/6 diastolic blowing murmur)。下列那一 種病症最有可能? (A)主動脈狹縮(Coarctation of aorta) (B)腎動脈狹窄(Renal artery stenosis) (C)本態性高血壓(Essential hypertension) (D)主動脈瓣膜閉鎖不全(Aortic regurgitation)
10 下列何者不是後天性 QT 延長症候群(acquired long QT syndrome)之可能治療? (A)靜脈注射 isoproterenol (B)以暫時性心律調節器加速心跳 (C)靜脈注射 lidocaine (D)靜脈補充鈉離子
11 下列何者與左心室心衰竭之重塑(remodeling)過程無關? (A)細胞生長(cell growth) (B)血管擴張(vasodilation) (C)纖維化(fibrosis) (D)細胞凋亡(apoptosis)
12 關於利用心臟超音波應用於評估急性 ST 節段上升型心肌梗塞(STEMI)病患,下列敘述何者錯誤? (A)心室壁運動異常(ventricular wall motion abnormality)可用以區分急性 STEMI 與舊有之心肌疤痕 (B)估算左心室射出分率可作為病人預後之評估 (C)有助於發現右心室梗塞 (D)杜卜勒心臟超音波可用於偵測心室中隔缺損與二尖瓣返流等嚴重合併症
13 遺傳性血色素沈著症(hemochromatosis)最常見之突變為: (A) HFE 基因複合異質接合子(compound heterozygote)H63D + C282Y (B) HFE 基因同質接合子(homozygote)H63D (C) HFE 基因同質接合子(homozygote)C282Y (D) HFE 基因複合異質接合子(compound heterozygote)C63Y + H282D
14 有關鈣離子阻斷劑(calcium channel blocker)治療高血壓,下列敘述何者錯誤? (A) dihydropyridines(如 nifedipine)易造成 reflex tachycardia (B) diltiazem 或 verapamil 可造成房室傳導時間(atrioventricular conduction)延長 (C) dihydropyridines 易造成下肢水腫 (D)短效的 dihydropyridines 比長效的 dihydropyridines 治療高血壓,更能達到保護心血管效果
15 有關膽管癌(cholangiocarcinoma)的敘述,下列何者錯誤? (A)血清 carcinoembryonic antigen 可能上升 (B) Klatskin tumor 病人常有 collapsed gallbladder (C)多數病人表現為無痛性黃疸 (D) Klatskin tumor 主要侵犯總膽管下方近胰臟處
16 下列有關急性胰臟炎(acute pancreatitis)的病因學(etiology)之敘述,何者錯誤? (A)大量飲酒 (B)膽囊結石必須大於 1 公分 (C)高三酸甘油酯血症,triglyceride > 1000 mg/dL (D)內視鏡逆行性膽胰管攝影檢查(ERCP)時,用力注射大量顯影劑入胰管
17 患胰臟偽囊腫(pseudocyst)病人以外科手術治療較無關之症狀為: (A)疼痛 (B)出血 (C)感染 (D)高血糖
18 關於 B 型肝炎之傳染途徑,下列何者錯誤? (A) B 型肝炎病毒主要經由體液(包括血液及生殖液)傳染 (B)水平感染在盛行區較為重要 (C)在臺灣垂直感染為主要傳染途徑 (D)共用牙刷、刮鬍刀、打針針具、輸血、血液透析、性行為、穿耳洞、刺青等亦為傳染途徑
19 何小姐,18 歲,因腹脹和茶色尿來院門診。理學檢查發現有黃疸和肝臟腫大,實驗室檢查為 AST 1500 U/L,ALT 1600 U/L,膽紅素 5.2 mg/dL,ALP 和 γ-GT 值正常,腹部超音波無異常。下列敘述何者錯 誤? (A)應檢測 IgM anti-HAV (B)應檢測 IgM anti-HBc (C)應檢測 IgM anti-HCV (D)應檢測 ANA(Antinuclear antibody)
20 一位 50 歲中年肥胖婦女有明顯的胃酸逆流和心灼熱現象,下列敘述何者錯誤? (A)減肥有利症狀控制 (B)最好減少咖啡和酒的飲用 (C)服用 calcium channel blocker 會使症狀惡化 (D)最好在飯後 30 分鐘服用 proton pump inhibitor
21 一位 50 歲男性主訴體重減輕,實驗室檢查發現血清白蛋白降低,而上內視鏡檢查發現胃體部皺折 (folds)變粗,則其最適宜之診斷是: (A)嗜伊紅性胃炎(eosinophilic gastritis) (B) Ménétrier’s disease (C)胃癌(gastric cancer) (D) Zollinger-Ellison syndrome
22 一位 70 歲女性高血壓患者,心電圖顯示有心房顫動(atrial fibrillation),因突然嚴重腹痛 3 小時被 送至急診,發作前她是在看電視。病人有噁心及嘔吐,但發作前數小時有正常排便。平常用藥有 hydrochlorothiazide、enalapril 及 digoxin。就診時血壓為 88/64 mmHg,心跳不規則,每分鐘約 120 次, 體溫 38.5℃,腹部有壓痛,腸蠕動音降低(hypoactive bowel sound)。電腦斷層顯示脾臟附近腸壁水 腫且有空氣,其他無特殊發現。在急診患者有少量排便,有含血反應。血清 amylase 及 lipase 只稍微 增高,下列那一診斷方向最可能? (A)急性胰臟炎 (B)大腸癌阻塞(colon cancer with obstruction) (C)腸缺血(intestinal ischemia or mesenteric ischemia) (D)十二指腸潰瘍穿孔(perforated duodenal ulcer)
23 一位 60 歲男病人因下肢水腫兩天,且尿量減少就診。病人有高血壓多年,近半年的降血壓藥物包括 trichlorothiazide、atenolol 和 losartan。他的血壓控制在 125~140/75~85 mmHg。三天前因腰部扭傷,服 用 naproxen。下列那個處置最為合適? (A)停止服用 atenolol (B)停止服用 naproxen (C)安排腎臟組織切片檢查 (D)停止服用 trichlorothiazide
24 一位 13 歲兒童發生嚴重水腫,每日尿蛋白平均排泄量為 5.6 公克,血清白蛋白偏低,血中膽固醇升 高,其腎臟切片在光學顯微鏡看來最常見的變化為何? (A)腎小球間質細胞增生 (B)幾乎和正常腎小球一樣 (C)腎小球間質有大量免疫複合體沈著 (D)腎小球基底膜增厚
25 一位 70 歲婦人因膽囊炎併發腹膜炎住院。住院時腎功能為 BUN 28 mg/dL,Creatinine 1.2 mg/dL。給予 抗生素 cefazolin 1 g q8h 和 gentamicin 80 mg q12h 注射,並予全靜脈營養法。三天後體溫下降至 37℃, 脈搏、血壓正常,此時體重為 45 公斤。一週後開始給予軟性食物。第十天測得 BUN 和 Creatinine 各 為 40 和 3.5 mg/dL,血清電解質(mmol/L):Na 134, K 3.3, Cl 95;病人一日尿量測得為 2000 mL, 尿液分析正常。有關此病人腎臟問題的敘述,下列何者最為正確? (A)尿液檢查通常會出現嚴重的蛋白尿,並且出現微觀血尿 (B)會出現尿液鎂離子流失 (C)主要是遠端腎小管發生壞死 (D)是腎輸出小動脈擴張所致
26 下列選項何者不是 Gitelman’s syndrome 的特徵? (A)低血鉀 (B)代謝性鹼中毒 (C)低血鎂 (D)高尿鈣
27 服用中草藥產生腎衰竭病人的腎臟切片明顯可見腎小管及間質纖維化但較少細胞浸潤,中草藥內含 的那一項物質最有可能引發上述疾病? (A)鈣 (B)鎂 (C) Arachidonic acid (D)馬兜鈴酸(aristolochic acid)
28 國內的成人原發性腎絲球腎炎中(Primary glomerulonephritis),以何種病理變化最為常見? (A)甲型免疫球蛋白腎病變(IgA nephropathy) (B)微細病變(Minimal change disease) (C)膜性腎絲球腎炎(Membranous glomerulonephritis) (D)膜性增生性腎絲球腎炎(Membranoproliferative glomerulonephritis)
29 下列何項藥物不會造成高離子間隙(high anion gap)代謝性酸中毒? (A) Ethylene glycol (B) Hippurate (C) Methanol (D) Salicylate
30 下列風濕病主要侵犯的組織之解剖構造(anatomic structures)之配對中,那一項錯誤? (A) Rheumatoid arthritis;synovium (B) Ankylosing spondylitis;bony end plate (C) Osteoarthritis;cartilage (D) Gout;joint space
31 下列有關 Henoch-Schönlein purpura 的敘述,何者最不正確? (A)其致病機轉一般認為與免疫複合體的沈積有關 (B)腎臟切片檢查可見 IgA 抗體的沈積 (C)血清中補體濃度下降 (D)血小板數目正常
32 一位 78 歲的男性有一天清晨起床突覺右肩關節劇痛腫脹,照 X-ray 發現在肩關節的軟骨部位有線狀 的鈣化。血中的尿酸值 6.8 mg/dL、CRP 4.78 mg/L,最可能的臨床診斷為何? (A) Acute gouty arthritis (B) Osteoarthritis (C) Adhesive capsulitis (D) Pseudogout
33 一位 46 歲的婦女工作認真追求完美。最近兩個月來全身肌肉及骨頭酸痛,晚上睡眠不好會使得上述 症狀更加明顯。在多家醫院檢查結果均屬正常。理學檢查無發燒或淋巴腺腫脹發生,但有多數部位 有壓痛發生(如附圖)。最適宜的臨床診斷為何?
(A) Chronic fatigue syndrome (B) Myofascial pain (C) Polymyositis (D) Fibromyalgia
34 控制下列心血管因子,何者對缺血性心臟病之預後影響最不顯著? (A)戒菸 (B)控制血壓 (C)控制血脂異常(dyslipidemia) (D)控制血糖
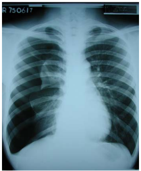
35 一位 21 歲男性患者,因胸痛及呼吸困難前來就診,胸部 X 光片如圖所示,下列何種處置最為適當?
(A)即時給予抗生素治療 (B)給予支氣管擴張劑吸入治療 (C)插胸管引流 (D)給予氧氣治療,並觀察病情
36 一位 31 歲女性,因發燒、頭痛及呼吸急促三天而至急診求診。理學檢查發現病患意識混亂,身上多 處出現紫斑(如圖所示)。病患因併發敗血性休克及呼吸衰竭而住入加護病房。三天後,血液培養 長出革蘭氏陰性雙球菌。最有可能的致病菌為何? (A) Streptococcus pneumoniae (B) Neisseria meningitidis (C) Neisseria gonorrhoeae (D) Moraxella catarrhalis
37 一位 30 歲喜好爬山的男子,無任何潛在疾病,出現不明原因發燒 7 天,於診所處方服用Amoxicillin 無效。到急診求診,給予抽血檢查發現WBC:11000/mm
3
,Neutrophil/lymphocyte:55%/45%,AST :178 U/L,ALT:145 U/L,理學檢查有粟狀紅斑及 0.5 cm圓形疤痕位於陰莖上(如圖),診斷最可 能為何? (A) Primary syphilis (B) Scrub typhus (C) Cutaneous anthrax (D) Staphylococcus aureus infection
38 下列何者不是陣發性夜間血色素尿(paroxysmal nocturnal hemoglobinuria)的特徵? (A) Indirect hyperbilirubinemia (B) Extravascular hemolysis (C) Pig-A gene mutation (D) Deficiency of membrane CD55, CD59
39 一位 55 歲停經後女性,發現乳房右側有一 2.5 公分腫塊,經詳細檢查後,接受改良型全乳房根除術 (modified radical mastectomy),病理診斷為乳癌(T2N0M0), ER(+), PR(+), Her2(-)。術後輔助治療 何者適當? (A)化學治療 (B)荷爾蒙拮抗治療 (C)化學治療合併放射治療 (D)放射治療
40 一位 16 歲的高中生打籃球後左膝蓋一直疼痛不癒。國術館推拿後反而漸漸腫脹。骨科檢查,X 光發現遠端股骨有異常;切片診斷為惡性骨肉瘤。下列敘述何者錯誤?(A) X 光檢查可能發現 Codman’s triangle(B)胸部 X 光檢查發現有一個可能是轉移的腫瘤,此階段已無法治療(C)胸部電腦斷層檢查是必要的(D)化學治療是不可缺少的
41 一位35 歲女性因神智不清送至急診處。抽血檢查發現total bilirubin 3.5 mg/dL,serum creatinine 2.4 mg/dL, Hb 7.5 g/dL,platelet 44,000/mm3 。下列何者是最不可能的診斷? (A) Favism (B) Thrombotic thrombocytopenic purpura (C) Systemic lupus erythematosus (D) Eclampsia
42 一位 38 歲男性過去未曾關節腔出血,但因拔牙後流血不止而就醫。抽血檢查發現血小板數目 315,000/mm
3
,出血時間(template bleeding time)正常,PT 11.2 秒,aPTT 75.3 秒。下列診斷何者最 應優先考慮? (A)嚴重型類血友病(type 3 von Willebrand disease) (B)血小板無力症(Glanzmann’s thrombasthenia) (C)第十凝血因子缺乏(Factor X deficiency) (D)第十一凝血因子缺乏(Factor XI deficiency)
43 乾癬性關節炎(psoriatic arthritis)與下列何者有關? (A)血清中有類風濕因子的存在 (B)常會引起遠端指間關節(distal interphalangeal joint)的發炎 (C)不會引起脊椎炎 (D)與 HLA-DR2 有很強的相關性
44 一位 63 歲長期抽菸的男性喉癌病人(鱗狀上皮細胞);手術一年後發現肺部廣泛轉移。於 cisplatin/5-FU 化學治療結束後第二天出院。但隔天其太太發現病人意識不清,於是送病人至急診。呼吸及血壓均 正常,但心跳 112/分。何者是最適當之處置? (A)血液細菌培養,使用選擇性抗綠膿桿菌之抗生素 (B)檢驗血中 calcium (C)檢驗血液中NH
3
(D)腦部核磁共振
45 下列疾病中胎兒蛋白(α-fetoprotein, AFP)最不可能升高的疾病是: (A)肝細胞癌(Hepatocellular carcinoma) (B)肝臟腺瘤(Hepatic adenoma) (C)睪丸畸胎上皮癌(Teratocarcinoma) (D)重度病毒性肝炎(Severe viral hepatitis)
46 一位 60 歲男性病人,因發燒,右側胸痛而住院。胸部X光顯示有少量右側肋膜腔積水,抽水檢查顯 示其為exudate,WBC:8,800/mm3 且細胞主要為多核中性白血球(85%),pH值為 7.28,Sugar為 76 mg/dL。下列何種處理為最適當? (A)開始給予抗生素治療,並追蹤胸部 X 光片檢查 (B)給予抗生素,並即時插胸管引流肋膜腔積水 (C)使用抗結核藥物治療 (D)等候細胞學檢查結果,再決定後續治療
47 除 Barrett’s esophagus 外,食道癌病理絕大部分為: (A)鱗狀上皮癌(Squamous cell carcinoma) (B)類表皮癌(Carcinoid) (C)腺癌(Adenocarcinoma) (D)小細胞癌(Small cell carcinoma)
48 一位 16 歲男性病患出現發燒、咳嗽少痰、頭痛及全身倦怠五天,胸部 X 光片出現左下肺葉浸潤。住 院後,醫師給予第二代 cephalosporin 治療五天,發燒持續,咳嗽稍有改善,胸部 X 光片無明顯進步, 病人皮膚出現 erythema multiforme major 病變。痰液檢查呈現 Gram(+) Cocci,PMNs > 25,squamous epithelial cells > 10(X100 magnification)。血清 cold agglutinins titer 為 1:32 positive,下列敘述何者 錯誤? (A)應該更換 antibiotic 為第三代 β-lactam 藥物 (B)皮膚的病變可能由產生 pneumonia 的 pathogen 所引起 (C) sputum Gram’s stain 出現 Gram(+) Cocci,可能是病人口腔內的 colonized flora (D)病毒感染例如 cytomegalovirus, Epstein-Barr virus,也會引起 cold agglutinins titer 增高
49 下列腫瘤何者較不會合併紅血球增生症?(A)腎細胞癌(Renal cell carcinoma)(B)淋巴瘤(Lymphoma)(C)肝癌(Hepatocellular carcinoma)(D)小腦血管母細胞瘤(Cerebellar hemangioblastoma)
50 下列有關治療甲狀腺風暴(thyroid storm)的敘述中,何者為適當? (A)先使用高劑量碘再加入抗甲狀腺藥物 (B)抗甲狀腺藥物以 carbimazole 為首選 (C)避免使用 glucocorticoids (D)加入 propranolol 治療
51 下列有關第 2 型糖尿病之敘述何者錯誤? (A)血糖控制愈好,微血管病變(microangiopathy)愈少 (B)血糖控制與大血管病變(macroangiopathy)相關性較少 (C)腎病變若進入 macroalbuminuria 仍然可逆 (D)對初發較年輕病人,HbA1c愈近正常愈好
52 一位 20 歲男性兵役體檢發現體重 65 公斤、身高 165 公分、性器發育不良,血中 FSH 40 mIU/L(參 考值< 13 mIU/L),testosterone 100 μg/dL(參考值> 300 μg/dL),最可能診斷是: (A) Klinefelter syndrome (B) Kallmann syndrome (C) Prader-Willi syndrome (D) Laurence-Moon syndrome
53 張先生,55 歲,已知有B型肝炎相關之肝硬化,目前AST 150 U/L,ALT 120 U/L,膽紅素 2.5 mg/dL, HBV DNA值 5×105 IU/mL,血小板 50×103 /mm3 。下列敘述何者錯誤? (A)可接受干擾素之治療 (B)可接受口服抗病毒藥物之治療 (C)治療期間,仍應接受肝癌篩檢 (D)若治療反應不佳,可考慮作肝臟移植之評估
54 一位 65 歲男性病人,因為意識不清於上午 9 時被送至急診室。他因為支氣管性氣喘長期在外院接受 治療,但最近因為搬家用藥較不規則。理學檢查顯示病人有月亮臉、水牛肩、皮膚上可見有瘀青。 病人之血壓、血鈉偏低,他的血液檢查最可能出現那一種變化?(參考值 ACTH 10~65 pg/mL;cortisol AM 5~24 μg/dL,PM 2.5~12.5 μg/dL) (A) ACTH < 5 pg/mL,cortisol < 5 μg/dL (B) ACTH 75 pg/mL,cortisol < 5 μg/dL (C) ACTH 75 pg/mL,cortisol 30 μg/dL (D) ACTH < 5 pg/mL,cortisol 30 μg/dL
55 一位 58 歲男性病人,有糖尿病及高血壓病史,身高 165 公分,體重 80 公斤,抽血檢查結果如下: 空腹血糖 120 mg/dL,HbA1c 7.0%,總膽固醇 256 mg/dL,三酸甘油酯 156 mg/dL,低密度脂蛋白膽 固醇為 180 mg/dL,下列處置何者不合理? (A)限制病人之膽固醇攝取量 (B)給予 statin 類藥物治療 (C)給予 fibrate 類藥物治療 (D)評估其心臟血管是否異常
56 梅毒(Syphilis)是一種性傳染疾病。下列有關梅毒的敘述,何者正確? (A) Treponema pallidum 是梅毒的致病原,主要藉由血液培養陽性來診斷梅毒 (B)初期可以在病患生殖器發現軟性下疳(chancroid),即使不治療也會於 4 至 6 週後自行癒合 (C)腦脊髓液檢查發現 VDRL 效價上升,可診斷為神經梅毒(neurosyphilis) (D)治療以 Penicillin 為主,在給藥後應定期抽血追蹤 TPHA 效價,以決定梅毒是否治療痊癒
57 與愛滋病毒感染最不相關之伺機性感染為下列何者?(A)肺囊蟲肺炎(Pneumocystis pneumonia)(B)肺外結核(Extrapulmonary tuberculosis)(C)巨細胞病毒網膜炎(Cytomegalovirus retinitis)(D)幽門螺旋桿菌(Helicobacter pylori)感染
58 關於感染性食物中毒之敘述,下列那一項最不適當? (A)臺灣細菌性食物中毒以大腸桿菌為最常見 (B)近年來腸道出血性大腸桿菌感染症曾在美、日等國造成大規模食因性感染,其血清型為 O157:H7 (C)細菌性食物中毒的治療,主要為靜脈輸液以預防並矯正體液、電解質不平衡,當病人產生意識障 礙或有嘔吐物阻塞呼吸道的疑慮時,則要注意保持呼吸道的暢通並給予氧氣 (D)常見病徵如急性腹痛、噁心、嘔吐、下痢、頭暈等
59 下列各種抗結核藥物與常見副作用的組合,何者錯誤? (A) Isoniazid-hepatitis (B) Ethambutol-optic neuritis (C) Rifampin-hyperuricemia (D) Pyrazinamide-hepatitis
60 下列抗結核藥物中,何者對結核桿菌只有抑菌(bacteriostatic),而無殺菌(bactericidal)作用? (A) Isoniazid (B) Rifampin (C) Ethambutol (D) Pyrazinamide
61 若在為病患抽血時不慎發生針扎事件,並且發現病患的愛滋病毒(HIV)抗體為陽性時,被針扎的醫 護人員,應在發生針扎後儘快開始服用抗病毒藥物,以預防 HIV 感染(post-exposure prophylaxis), 一般建議服用多久? (A) 24 小時 (B) 7 天 (C) 4 週 (D) 6 個月
62 一位 45 歲男性,有糖尿病及糖尿病腎病變之病史,診斷為社區型肺炎(Community-acquired pneumonia) 而住院。血液檢查如下:白血球 15200/mm
3
(中性白血球占 85%,淋巴球占 12%)、肌酐酸 3.5 mg/dL。 對於此病患的治療,最好不要選擇使用下列那一種抗生素?(A) Moxifloxacin(B) Ceftriaxone(C) Ampicillin-Sulbactam + clarithromycin(D) Cefuroxime + Gentamicin
63 維生素 B12 缺乏之 megaloblastic anemia 患者在未治療前,實驗室檢查最不可能出現下列那種結果? (A)網狀紅血球增加 (B)乳酸脫氫酶(LDH)上升 (C) Unconjugated bilirubin 增加 (D)血小板減少
64 下列各藥物與其作用機轉的配對,何者錯誤? (A) Rituximab: anti-CD20 antibody (B) Imatinib: tyrosine kinase inhibitor (C) Antithymocyte globulin: immunosuppressant (D) Thalidomide: proteosome inhibitor
65 您為一位 55 歲沒有運動習慣的男性規劃每週三次的慢跑運動,計畫以最大心跳速率的 60%為第一週 運動時的目標,您建議的目標心跳速率是多少? (A) 87 次/分鐘 (B) 99 次/分鐘 (C) 117 次/分鐘 (D) 105 次/分鐘
66 一位 38 歲女性,過去無重大疾病史,至門診要求減重。理學檢查發現其血壓 138/94 mmHg,心跳 78 次/分,體重 68 公斤,腰圍 88 公分,身體質量指數(BMI)為 26.6 kg/m2 。家族病史顯示母親有 糖尿病。下列處置何者最適當? (A)因合併有高血壓,應立即使用 sibutramine 或 orlistat 等藥物減重 (B)家族病史有糖尿病,因此應給予 metformin 以減重並降血糖 (C)腰圍大於 80 公分,屬中央型肥胖(central obesity),應進行腹部脂肪之抽脂手術 (D)病人屬體重過重,先以飲食與運動治療即可
67 A 檢驗對 B 疾病之敏感性(sensitivity)與專一性(specificity)均為 80%。你將 A 檢驗應用在某一 1000 人之族群,假設該族群 B 疾病之盛行率(prevalence)為 20%,則檢查結果陽性者之陽性預測值 (positive predictive value)為何? (A) 80% (B) 50% (C) 25% (D) 15%
68 你為六個月大的小明作預防接種,根據接種紀錄小明已依規定時程接受過兩劑 B 型肝炎疫苗、兩劑 DPT(白喉、百日咳及破傷風)疫苗及兩劑小兒麻痺口服疫苗。這次需為小明接種那些疫苗才是最完整的?(A) DPT 疫苗及小兒麻痺口服疫苗(B) DPT 疫苗及 MMR(麻疹、腮腺炎及德國麻疹)疫苗(C) B 型肝炎疫苗、DPT 疫苗、小兒麻痺口服疫苗(D) B 型肝炎疫苗、DPT 疫苗、小兒麻痺口服疫苗、MMR 疫苗
69 「你說你不緊張,但你正在冒汗而且雙手也在顫抖,看起來很煩躁的樣子」,這是下列那一會談技 巧(interview skill)的運用? (A)面質(confrontation) (B)促進(facilitation) (C)反射(reflection) (D)直接式問題(direct question)
70 一位 64 歲女性罹患轉移性乳癌,她已決定接受安寧療護(palliative care)。因慢性的骨頭疼痛而使 用非類固醇類止痛藥(NSAID)及 acetaminophen,但效果並不理想。接下來的疼痛控制以下列何者 較適當? (A)給予類固醇如 dexamethasone 控制疼痛後,再給予非類固醇類止痛藥維持症狀之控制 (B)給最低劑量的 fentanyl 貼片 (C)每 4 小時給予 5 mg 的即效型 morphine sulfate,必要時每 2 小時再給一次 (D)給予長效型 morphine sulfate,有 breakthrough pain 時再給予即效型 morphine sulfate
71 此項介入訓練對於實驗組與對照組在老人跌倒的相對危險性(relative risk)及絕對危險差(absolute risk difference)為何? (A)相對於對照組,實驗組發生跌倒的相對危險性為 0.4、絕對危險差為 0.12 (B)相對於對照組,實驗組發生跌倒的相對危險性為 0.5、絕對危險差為 0.12 (C)相對於對照組,實驗組發生跌倒的相對危險性為 0.4、絕對危險差為 0.10 (D)相對於對照組,實驗組發生跌倒的相對危險性為 0.5、絕對危險差為 0.10
72 如果要將上述的研究結果應用在臨床診療或社區醫療上,下列何者是最具有臨床意義的參考變項? (A)實驗組與對照組兩組間的個案數 (B)實驗組與對照組兩組間在跌倒比例之統計差異的 P 值 (C)相對於對照組,實驗組發生跌倒的相對危險性 (D)實驗組與對照組發生跌倒的絕對危險差
73 假使你在內科加護病房值班,一位 65 歲心肌梗塞的病人突然喪失生命跡象,心電圖顯示心室顫動(ventricular fibrillation)。此時你手邊有一台單相波電擊器(monophasic defibrillator),接下來該怎麼辦?(A)將電擊器調到 200 焦耳(Joules),電擊後如沒反應繼續往上調至 300 焦耳或 360 焦耳再電擊(B)將電擊器調到 200 焦耳,連續電擊三次後立即做心肺復甦術(C)將電擊器調到 360 焦耳,電擊一次後立即做心肺復甦術(D)將電擊器調到 200 焦耳,電擊一次後立即做心肺復甦術
74 一位 36 歲男性病患被送入急診,主訴為 30 分鐘前開始突發性呼吸困難,伴隨有喉嚨腫脹與胸悶。 病人意識尚清楚,血壓為 70/30 mmHg,心跳為 130/分,呼吸速率為 32/分,體溫為 36.8℃。理學檢 查發現全身體表皮膚發紅(cutaneous flushing),二側肺皆有哮喘音(wheezing)。家屬表示以前身 體很健康,無任何病史,最近因為咳嗽、流鼻水而到附近診所求治,醫師表示可能為細菌感染需要 吃抗生素治療,發作前半小時才吃第一次藥。依此病人的臨床表現,下列何種疾病最有可能? (A)急性氣管炎(acute bronchitis) (B)氣喘發作(asthma attack) (C)過敏性反應(anaphylaxis) (D)急性冠心症候群(acute coronary syndrome)
75 一位 30 歲的男性,參加 3 月之臺北馬拉松賽,當天天氣晴朗,氣溫 20~22℃,濕度 90%,在快抵達 終點時,被人發現意識不清倒在地上。你在現場做醫療服務,發現病患昏迷指數 GCS(Glasgow coma scale)=E2V3M5,身上有出汗,此時病患血壓 100/50 mmHg,心跳 145/分,呼吸 26/分,耳溫 41℃。 下列敘述何者正確? (A)當天氣溫只有 22℃,應不會發生中暑(heat stroke) (B)他身上有出汗,應不會是中暑 (C)應先當作中暑治療,快速降溫 (D)應立即將他送到醫院做電腦斷層檢查,以排除腦中風診斷
76 一位 68 歲男性病患被家人送入急診,主訴為 30 分鐘前開始大量咳血與呼吸困難。病人為一 Goodpasture’s syndrome患者,長期於風濕免疫科門診追蹤。意識清楚,血壓為 100/50 mmHg,心跳 為 120/分,呼吸速率為 30/分,體溫為 36.5℃,二側肺皆有乾囉聲(crackle)。血氧濃度為 89%(nasal canula:3L/min),血中白血球為 7800/mm3 ,血色素為 9.8 g/dL,C-reactive protein(CRP)為 1.6 mg/dL, 胸部X光顯示二側肺皆有瀰漫性肺泡浸潤(diffuse alveolar infiltration)。依此病人的臨床表現,下列 何種疾病最有可能? (A)肺癌(lung cancer) (B)肺結核(pulmonary tuberculosis) (C)肺炎(pneumonia) (D)肺出血(pulmonary hemorrhage)
77 34 歲女性,因胸痛和呼吸急促,舌下硝酸甘油片無法緩解,CT 如圖示,則最正確的診斷應為:
(A)肺動脈栓塞(Pulmonary embolism) (B) A 型主動脈剝離(Type A aortic dissection) (C)高安氏主動脈炎(Takayasu’s aortitis) (D)穿透性主動脈粥狀硬化(Penetrating aortic atherosclerosis)
78 一位 59 歲慢性腎衰竭病患,主訴全身無力及骨頭疼痛,血中副甲狀腺素上升。下圖為本次就診之腰 椎 X 光攝影。最可能的診斷為何?
(A) Renal osteodystrophy (B) Ankylosing spondylitis (C) Vertebral osteomyelitis (D) Metastatic bone tumors
79 16 歲的彥君罹患惡性淋巴瘤,接受二次化學療法,效果不彰且併發過敗血症,滿頭秀髮所剩無幾。 最近檢查顯示癌症復發需再次接受化學療法,彥君向她父母嚴重表示不願再接受任何治療,而父母 堅持繼續治療。彥君的主治醫師於下列那一種作法最恰當? (A)家長都是為孩子好,應照彥君父母的意見做 (B)依尊重自主原則同意彥君的請求,不再給予任何治療 (C)提供諮詢,協助父母與彥君的看法達到一致後再進行後續處理 (D)訴請法院裁決
80 醫師發現其病患為 AIDS 帶原者,依照法令,應該通知下列何者? (A)病患之合法配偶 (B)當地之主管機關 (C)醫師有保密義務,除非病患同意,否則不得告知任何人 (D)有可能與病患發生性行為之人
申論題 (0)
相關試卷
115年 - 115 專技高考_醫師(二):醫學(三)(包括內科、家庭醫學科等科目及其相關臨床實例與醫學倫理)#137317
115年 · #137317
114年 - 114-2 專技高考_醫師(二):醫學(三)(包括內科、家庭醫學科等科目及其相關臨床實例與醫學倫理)#127920
114年 · #127920
114年 - 114-1 專技高考_醫師(二):醫學(三)(包括內科、家庭醫學科等科目及其相關臨床實例與醫學倫理)#125089
114年 · #125089
113年 - 113-2 專技高考_醫師(二):醫學(三)(包括內科、家庭醫學科等科目及其相關臨床實例與醫學倫理)#120658
113年 · #120658
113年 - 113-1 專技高考_醫師(二):醫學(三)(包括內科、家庭醫學科等科目及其相關臨床實例與醫學倫理)#118724
113年 · #118724
112年 - 112-2 專技高考_醫師(二):醫學(三)(包括內科、家庭醫學科等科目及其相關臨床實例與醫學倫理)#114972
112年 · #114972
112年 - 112-1 專技高考_醫師(二):醫學(三)(包括內科、家庭醫學科等科目及其相關臨床實例與醫學倫理)#113147
112年 · #113147
111年 - 111-2 專技高考_醫師(二):醫學(三)(包括內科、家庭醫學科等科目及其相關臨床實例與醫學倫理)#108729
111年 · #108729
111年 - 111-1 專技高考_醫師(二):醫學(三)(包括內科、家庭醫學科等科目及其相關臨床實例與醫學倫理)#106186
111年 · #106186
110年 - 110-2 專技高考_醫師(二):醫學(三)(包括內科、家庭醫學科等科目及其相關臨床實例與醫學倫理)#99914
110年 · #99914