阿摩線上測驗
登入
首頁
>
醫學五:80題 ( 包括外科,骨科,泌尿科等科目及其相關臨床實例與醫學倫理 )
> 104年 - 104-1 專技高考_醫師(二):醫學(五)(包括外科、骨科、泌尿科等科目及其相關臨床實例與醫學倫理)#36300
104年 - 104-1 專技高考_醫師(二):醫學(五)(包括外科、骨科、泌尿科等科目及其相關臨床實例與醫學倫理)#36300
科目:
醫學五:80題 ( 包括外科,骨科,泌尿科等科目及其相關臨床實例與醫學倫理 ) |
年份:
104年 |
選擇題數:
80 |
申論題數:
0
試卷資訊
所屬科目:
醫學五:80題 ( 包括外科,骨科,泌尿科等科目及其相關臨床實例與醫學倫理 )
選擇題 (80)
1 對於 Clostridium difficile colitis 敘述,下列何者錯誤?(A)百分之 45 到 55 的 Clostridium difficile colitis 發生在外科的病患,尤其是接受一般外科和血管外科手術的機會最高(B) Clostridium difficile 過度增生會造成不同程度的疾病,從沒有症狀的帶原者到 self-limited colitis,偽膜性大腸炎(pseudomembranous colitis),猛爆性大腸炎(fulminant colitis)到毒性巨結腸症 (toxic megacolon)都有(C)主要治療方法是 vancomycin 靜脈注射(D)電腦斷層上的表現主要是結腸壁變厚和水腫以及有腹水產生
2 下列何者不屬於全身性發炎反應症候群(systemic inflammatory response syndrome, SIRS)? (A)核心體溫 < 36℃ (B)心跳 > 90 / min (C)動脈血二氧化碳分壓(PaCO2)> 32 mmHg (D)白血球 < 4000 cells / mm3
3 腹部腔室症候群(abdominal compartment syndrome)是指腹腔內臟器出血或腹內組織水腫,造成腹內壓(intra-abdominal pressure)急遽上升,導致呼吸困難、血壓下降、腎臟衰竭時,應立即採用下列何種方法處理為佳?(A)插氣管內管(B)使用增壓劑(vasopressor)(C)施打利尿劑(diuretic agents)(D)立即採用減壓處置或手術(decompressive procedures or operation)
4 一位 25 歲男性摩托車騎士與卡車追撞後,因兩側下肢骨折被送至醫院急診室。在急診第一次量測之 生命徵象為血壓 80/50 毫米汞柱(mmHg),心跳 120 次/分,呼吸 26 次/分、神智不清。此時,傷 患屬於第幾級出血休克,應採何種輸液治療? (A)屬於第一級出血性休克,可採乳酸林格氏液(lactated Ringer’s solution)2 公升靜脈灌注 (B)屬於第三級出血性休克,可採乳酸林格氏液(lactated Ringer’s solution)1 公升靜脈灌注 (C)屬於第一級出血性休克,可採 1000 毫升濃縮式紅血球(packed red blood cells)灌注 (D)屬於第二級出血性休克,可採 1000 毫升濃縮式紅血球(packed red blood cells)灌注
5 一位頭部外傷病人之理學檢查如下:受疼痛刺激,眼睛會睜開。病人不會言語和出聲。受疼痛刺激,左 上肢不會動,右上肢則會不正常伸張(abnormal extension),則其昏迷指數(Glasgow coma scale, GCS) 為多少? (A) 3 (B) 4 (C) 5 (D) 6
6 一位 58 歲女性糖尿病病人,因跌落水溝造成右小腿撕裂傷,傷口曾浸於水溝水中,下列敘述何者是 此傷口最適當的治療方法? (A)以生理食鹽水沖洗後縫合傷口 (B)清創(débridement)後縫合傷口 (C)清創後縫合傷口,再給予局部抗生素治療 (D)對傷口重複清創,給予局部或全身性抗生素治療,待控制住感染後再行縫合傷口或植皮
複選題
7 淺層手術部位感染(superficial surgical site infections)是發生在手術後幾天之內? (A) 3 天 (B) 7 天 (C) 30 天 (D) 1 年
8 下列敘述,何者錯誤? (A)胃惡性腫瘤的根治性切除手術是使用預防性抗生素的適應症 (B)清潔污染傷口(clean-contaminated wound)的手術是指在控制情形下,手術過程進入呼吸道、消化 道、生殖道或泌尿道且無不尋常之污染 (C)正確使用預防性抗生素就不必注意皮膚的消毒 (D)沒有明顯細菌污染或植入物之低風險清潔傷口(clean wound)手術,可以不必使用預防性抗生素
9 一位中年糖尿病患者,突然發現右眼瞼下垂,複視,瞳孔變大,對光反射喪失,下列何項處置最合理? (A)馬上住院安排做腦部血管檢查 (B)照會眼科並安排一系列眼睛檢查 (C)抽血檢驗血糖,並控制血糖 (D)測量血壓,並維持正常血壓
10 心因性休克(cardiogenic shock)是下列那一個情形?
中心靜脈壓(central venous pressure),動脈壓(arterial blood pressure),心輸出量(cardiac output), 混合靜脈血氧飽和度(mixed venous oxygenation saturation) (A) A (B) B (C) C (D) D
11 原發性腦瘤中,以何種腫瘤最常見? (A)星狀細胞瘤(astrocytoma) (B)腦膜瘤(meningioma) (C)室管膜瘤(ependymoma) (D)髓母細胞瘤(medulloblastoma)
12 下列有關神經纖維瘤症(neurofibromatosis)的敘述,何者錯誤? (A)可分兩型,type 1 又稱 von Recklinghausen’s disease (B) type 1 在皮膚上可見色素斑和神經纖維瘤(neurofibroma) (C) type 2 的患者,顱內常併多發的腦膜瘤(multicentric meningioma) (D) type 1 常有雙側聽神經瘤(acoustic schwannoma)
13 何種生殖細胞腫瘤(germ cell tumor)對放射線治療效果之反應最好且可能根治?(A)絨毛膜癌(choriocarcinoma)(B)胚胎癌(embryonal carcinoma)(C)胚組織瘤(germinoma)(D)內胚層竇腫瘤(endodermal sinus tumor)
14 何種脊髓內腫瘤(intramedullary tumor)最常見? (A)腦膜瘤(meningioma) (B)轉移腫瘤(metastatic tumor) (C)黑色素細胞瘤(melanoma) (D)星狀細胞瘤(astrocytoma)
15 腦膜瘤是從何種組織長出? (A)硬腦膜(dura) (B)軟腦膜(pia) (C)蜘蛛網膜(arachnoid) (D)腦血管
複選題
16 脊髓脊膜突出(myelomeningocele)好發位置在: (A)腰薦椎交界 (B)胸腰椎交界 (C)頸椎 (D)腰椎
男嬰出生就有下圖皮膚的病變,下列敘述何者正確?①80%是單一病灶,20%是多發性病灶 ②通常出生 2 個月後進入增生期(proliferating phase) ③約 50%的病人在 5 歲後進入恢復期(involuted phase) ④ systemic corticosteroid therapy 可能可以阻止病灶變大 ⑤疾病的診斷是 vascular malformation
(A)①②③④(B)②③④⑤(C) ①④⑤(D)①②③
18 患者手腕靠近拇指根部持續疼痛難耐,拇指向下屈曲及反手用力時疼痛加劇。醫生做下圖中的檢查 時會令痛楚加劇,這種 tenosynovitis 影響肌腱,何者正確?
(A) abductor pollicis brevis 跟 abductor pollicis longus (B) extensor pollicis brevis 跟 abductor pollicis brevis (C) extensor pollicis brevis 跟 adductor pollicis (D) abductor pollicis longus 跟 extensor pollicis brevis
19 下列有關腕隧道症候群(carpal tunnel syndrome)之敘述,何者錯誤? (A)曲腕動作會加重症狀 (B)一定有魚際肌(thenar muscle)的萎縮 (C)初期可以施用副木治療 (D)手術是切斷腕橫韌帶(transverse carpal ligament)
20 下列有關 electrical burns 之敘述,何者錯誤? (A)電流在進入身體後,會走在身體組織中電阻最低的部分,通常是神經、血管和肌肉 (B)皮膚是一個電阻相對高的器官,通常較少受到影響 (C)高壓電電傷與一般的燒傷很類似,較少穿透到深部組織造成傷害 (D)肌肉受傷可能會造成橫紋肌溶解,釋放 myoglobin 造成 obstructive nephropathy
21 一個隨意皮瓣(random flap)掀起來以後,它的血液供應來自: (A)皮下血管網(subdermal plexus) (B)肌皮穿透枝(musculocutaneous perforators) (C)直接由主要的動脈(axial artery)供應其血液循環 (D)只靠組織液之滲透供應其所需之營養
22 下列何者不適合斷指重接(replantation)? (A) multiple levels 截斷 (B) partial hand 截斷 (C) complete hand 截斷 (D)多指截斷
23 Subarterial 型心室中隔缺損,因接近主動脈瓣的環部(annulus)常合併下列那一種併發症,以致於造 成主動脈瓣逆流的現象? (A)右冠狀動脈瓣(right coronary cusp)脫垂 (B)左冠狀動脈瓣(left coronary cusp)脫垂 (C)非冠狀動脈瓣(non coronary cusp)脫垂 (D)凡撒爾氏竇瘤(sinus valsalva aneurysm)之發生
24 趙先生 59 歲,晚餐後突感前胸劇痛,並延伸到後背,經救護車送到醫院急診。趙先生除高血壓外並 無其他病史。理學檢查發現意識清楚,血壓 180/50 mmHg,心跳 96/分,呼吸 18/分,頸靜脈平坦,胸 骨左側有心縮期及心舒期雜音。胸部 X 光發現縱膈腔寬度約 8.5 公分。趙先生在胸部電腦斷層掃描 檢查後又感胸痛,此時血壓下降至 110/50 mmHg,心跳 130/分,呼吸 25/分,頸靜脈怒張,下列何者 是適當的處置?①立即心臟超音波檢查 ②給予 propranolol 及 sodium nitroprusside 治療 ③緊急 手術 ④送入加護病房觀察並接受藥物治療
(A)①②③ (B)僅①③ (C)②④ (D)僅④
25 孫女士 75 歲,兩天前發生左下肢腫痛。今晚因突發呼吸急促與心跳加快至急診室求治。身體檢查發 現左下肢下端水腫,股內側有壓痛之硬條索狀物及表淺靜脈擴張,血壓 78/56 mmHg,呼吸 30/分, 心跳 125/分,動脈血氣體分析 (FiO
2
=50%):pH 7.48、PaCO
2
41.7 mmHg、PaO
2
83.9 mmHg、 HCO
3
-
30.7 mEq/L。下列何種處理最適當?①給予靜脈注射肝素 ②立即給予口服 warfarin ③安排 胸部電腦斷層檢查 ④會診心臟外科醫師是不需要的 (A)①②③ (B)僅①③ (C)②④(D)僅④
複選題
複選題
26 根據 AHA/ACC guidelines for coronary artery bypass grafting(CABG),下列何者並非冠狀動脈繞道 手術之 class I 適應症? (A)只有單一左前降支近端 80%狹窄 (B)右冠狀動脈中段堵塞合併急性心肌梗塞 (C)急性心肌梗塞合併梗塞後心室中隔破裂 (D)三條冠狀動脈堵塞合併心室收縮功能不良
27 關於非小細胞肺癌之治療敘述,下列何者錯誤? (A) Stage I 之肺癌以外科手術為主 (B) Stage II 之肺癌以外科手術為主,可考慮化學及放射治療為輔 (C) Stage IIIb 之肺癌以化學及放射治療為主 (D) bronchoalveolar cell carcinoma 不適合手術
28 進行吞嚥動作時,下列何項動作錯誤? (A)舌頭提升(elevation of the tongue) (B)舌頭後移(posterior movement of the tongue) (C)軟顎下降(depression of soft palate) (D)舌骨上升(elevation of the hyoid)
29 單一肺結節(solitary pulmonary nodule)病人,可以不考慮進行切除手術的情況,下列何者錯誤? (A)此結節經門診追蹤胸部 X 光檢查 2 年,其結節沒有變大 (B)肺結節有良性腫瘤典型的鈣化特徵 (C)肺結核引起的結節 (D)病人有愛滋病
30 下列有關肺膿瘍(lung abscess)之敘述,何者錯誤? (A)葡萄球菌菌血症常與它有關 (B)常合併膿胸 (C)大部分病人以內科治療即可 (D)大部分病人需以開刀治療才可痊癒
31 對於食道憩室(esophageal diverticula)最好的診斷工具為下列何者? (A)胸部電腦斷層掃描 (B)胸部核磁共振造影(MRI) (C)食道鋇劑攝影(barium esophagram) (D)胃鏡檢查
32 手術切除(surgical resection)是肝癌目前最理想的治療方式,下列何者發現與手術後之長期預後不 佳(poor prognosis)較有關係? (A) large tumor size (B) liver cirrhosis (C) age (D) multifocal tumors
33 肝癌病人若因肝功能過差而無法手術切除者,可考慮肝臟移植手術,但應符合米蘭規約(Milan criteria), 其中不包括: (A)單一腫瘤且最大徑小於 5 公分 (B) 2 至 3 顆腫瘤,且最大徑小於 3 公分 (C)主門脈血管被侵犯 (D)無明顯肝外轉移
34 下列何者不是常用的病態性肥胖(morbid obesity)定義? (A)體重比理想體重多 100 磅 (B)體重為理想體重的 2 倍 (C)身體質量指數(body mass index)大於 40 kg/m
2
(D)身體體表面積(body surface area)大於 2.0 m
2
複選題
35 神經內分泌瘤(neuroendocrine tumor)常常會出現肝臟轉移,有時在原發部位已經手術清除後,才 在肝臟發現轉移病灶。面對此類病人時,下列敘述何者錯誤? (A)在肝內轉移性神經內分泌瘤中,類癌(carcinoid tumor)是比較常見的轉移種類 (B)大部分此類肝腫瘤生長非常緩慢,常常不治療也能長時間存活 (C)此類肝腫瘤對於手術切除,無線電射頻消融(RFA)或是經動脈化學栓塞治療(TACE)都是可以 考慮的治療選項 (D)有些病人會出現荷爾蒙相關症狀,此時長效 somatostatin analogues 會有幫助
36 會引起胰臟炎的原因包括有下列數種,何者是最常見會引起急性胰臟炎的原因? (A)膽道結石 (B)酗酒 (C)高血鈣 (D)內視鏡逆行性膽道胰管攝影後 代號:3102 頁次:11-6
37 造成老年人術後短腸症(short bowel syndrome)最常見的原因為何? (A)發炎性腸疾患(inflammatory bowel disease) (B)腸套疊(intussusception) (C)腸繫膜血管阻塞(mesenteric vascular occlusion) (D)小腸腫瘤(intestinal neoplasm)
38 有關膽囊切除術建議使用開腹手術而非內視鏡切除術之敘述,下列何者錯誤? (A)嚴重之心臟衰竭病患 (B)懷疑或已知有膽囊的惡性疾病 (C)懷孕 7 到 9 個月的孕婦 (D)膽結石堵塞造成膽囊腫脹
39 關於腹股溝疝氣(inguinal hernia),何者正確? (A)最常見之術後及長期併發症都是疼痛 (B)各類疝氣中,女性最常出現股疝氣(femoral hernia)而非腹股溝疝氣 (C)腹腔鏡疝氣修補術容易學習且其復發率明顯比傳統方式低 (D)男性以間接型(indirect type)疝氣為主,女性則以直接型(direct type)較多
40 一位 25 歲男性於夜間至急診處就診,主訴今天早上有噁心、嘔吐的症狀且有肚臍周圍疼痛 (periumbilical pain)的狀況,至下午時,疼痛逐漸轉移到右下腹,理學檢查顯示體溫為 36.5℃,呼 吸每分鐘 18 下,心跳每分鐘 75 下,按壓右下腹有疼痛症狀(tenderness),下列有關此病人之敘述, 何者錯誤? (A)可以抽血檢驗看有無白血球升高(leukocytosis) (B)診斷不確定時,腹部超音波可以作為初步協助診斷的工具 (C)腹部電腦斷層掃描可以作為例行的診斷工具 (D)若按壓左下腹會引起右下腹疼痛則 Rovsing’s sign 為 positive
41 下列有關鼠蹊部疝氣之敘述,何者正確? (A)需手術治療才能痊癒 (B)不手術也不會發生併發症 (C)疝氣帶治療即可 (D)一定要補人工網膜(mesh)
42 王女士在乳癌手術治療後,最終的病理報告有腋下淋巴結轉移(摘取 10 顆有 1 顆淋巴結轉移), 腫瘤的雌激素受體(estrogen receptor, ER)與黃體素受體(progesterone receptor, PR)為陰性,且 HER-2 的免疫染色為陰性。王女士想要了解病理報告的意義與後續輔助治療(adjuvant therapy)的選擇,下 列敘述何者錯誤? (A)乳癌細胞的賀爾蒙受體的表現與否以及 HER-2 基因的表現,都是重要的預後因子 (B)屬於三陰性(triple negative)的乳癌一般預後較差 (C)王女士的腫瘤屬於三陰性(triple negative),大多在基因檢測歸類於 basal-like breast cancer,多與 BRCA2 基因有關 (D)建議王女士接受化學藥物治療,不需服用 tamoxifen 賀爾蒙療法
43 一位 35 歲女性,因車禍至急診處,左大腿非開放性股骨骨折。經急診住院,預計第二天進行骨科手 術。清晨病人非常焦慮,發燒 38.7℃,心跳約 110/分,頸部甲狀腺約三度腫大。此時最好的檢查及 治療不包括下列何者? (A)儘快施行骨科手術 (B)抽血檢驗 T
3
、T
4
、TSH (C)冰氈及退燒藥 (D) beta blockers,corticosteroid 靜脈注射
44 下列乳房症狀何者最可能需要考慮手術? (A)乳房疼痛 (B)乳頭單一管道自然性流血 (C)乳頭多發性管道白色分泌物 (D)乳暈的 Montgomery gland 突起 代號:3102 頁次:11-7
45 有一婦女發覺右側乳頭出血,但没摸到乳房腫塊,下列敘述何者正確? (A)乳癌的可能性達 40% (B)最可能是侵襲性腺管乳癌(invasive ductal carcinoma) (C)最可能是良性乳管內乳突瘤(intraductal papilloma) (D)最可能是乳房發炎
46 下列有關梅克耳憩室(Meckel diverticulum)的敘述,何者正確? (A)位置距離迴盲瓣(ileocecal valve)2 英吋 (B)出血症狀多半發生在 3 到 6 歲間 (C)內含的異位組織最常見的是胃及腎臟組織 (D)是引起腸套疊(intussusception)的常見導引點(lead point)
47 一位剛出生的男嬰,發現其臍部有類似腸道內容物流出來,則最可能的診斷是: (A)開放性臍尿管(patent urachus) (B)臍疝氣(umbilical hernia) (C)開放性臍腸管(patent omphalomesenteric duct) (D)臍膨出(omphalocele)
48 新生兒十二指腸閉鎖(duodenal atresia)發生的原因,一般認為是: (A)血管缺血性壞死 (B)胚胎發育時,空泡(vacuolization)形成失敗 (C)染色體異常 (D)產前創傷
49 有關食道閉鎖併遠端氣管食道瘻管(esophageal atresia with distal tracheoesophageal fistula)的手術, 下列敘述何項錯誤? (A)瘻管的結紮(ligation),最好在氣管與食道瘻管黏膜之交界處 (B)上端的食道可剝離一段長距離,以便吻合 (C)下端的食道可剝離一段長距離,以便吻合 (D)一般是經由胸腔外(extrapleural)手術
50 有關影響治療先天性膽道閉鎖症(biliary atresia)的預後因素,下列何者除外? (A)手術矯治的年齡 (B)術後膽道炎(cholangitis)發生的頻率 (C)手術時肝臟纖維化的程度 (D)病人的血型
51 有關小腸的憩室疾病(diverticular disease)之敘述,下列何者錯誤? (A)關於腸道 diverticular disease 的好發位置,小腸是僅次於大腸排名第二的 (B) true diverticulum 和 false diverticulum 的差別,在於 false diverticulum 缺乏肌肉層 (C)診斷有腸道 diverticular disease 的患者,病患年紀很少小於 40 歲 (D)關於十二指腸的 diverticular disease,主要好發在 first portion 的位置
52 一位 60 歲男性,病人主訴便秘,大便有血,並有痔瘡。病人要求手術治療痔瘡以改善便秘,下列有 關臨床醫師之應對處置何者錯誤? (A)檢查痔瘡嚴重度 (B)安排大腸鏡檢查 (C)肛門收縮力檢查 (D)改善便秘需切除痔瘡
53 下列有關腹部手術後造成小腸粘黏與阻塞之敘述,何者錯誤? (A)鼻胃管減壓及禁食和補充體液及電解質是有需要的 (B)有時需安排多次腹部 X 光攝影檢查 (C)上消化道鋇劑攝影是必須的,以確定阻塞位置 (D)有小腸缺血現象時,宜手術處理
54下列何者為最不可能之診 斷? (A)潰瘍性大腸炎 (B)缺血性大腸炎 (C)藥物性大腸炎 (D)感染性大腸炎
55 承上題,經檢查後發現病患腸黏膜發炎、糜爛、出血、浸潤從直腸至橫結腸,血液檢查正常,無發 燒現象,下列何者並非現階段之治療選項? (A)禁食牛奶製品 (B)給予抗生素 (C)給予類固醇 (D)給予磺胺類藥物
56 有關肌肉系統軟組織腫瘤的敘述,下列何者最正確? (A)惡性橫紋肌肉瘤(rhabdomyosarcoma)通常為低惡性度的腫瘤且好發於成年人 (B)惡性脂肪肉瘤(liposarcoma)為高惡性度的腫瘤且好發於青少年 (C)滑液膜肉瘤(synovial sarcoma)可在 X 光攝影中發現部分鈣化 (D)類上皮肉瘤(epithelioid sarcoma)常見於骨盆腔或大腿深部肌肉組織中
57 關於應力性骨折(stress fracture),下列敘述何者錯誤? (A)脛骨應力性骨折(tibial stress fracture)是下肢最常見的應力性骨折 (B)蹠骨應力性骨折(metatarsal stress fracture)最常發生在第一蹠骨(first metatarsal) (C)大部分的肱骨應力性骨折(humeral stress fracture)發生在棒球投手中 (D)治療的基本原則是給予適當的休息,避免反覆性的負重,使骨骼有足夠的時間新生及修復
58 成年人的踝關節急性創傷,可以根據 Ottawa ankle rules 來判斷是否需要接受 X 光檢查。下列何者不 是 Ottawa ankle rules 的判斷準則? (A)受傷後內踝有壓痛(tenderness at tip of medial malleolus) (B)受傷後外踝有壓痛(tenderness at tip of lateral malleolus) (C)受傷後無法負重(inability to bear weight) (D)受傷後足踝背屈活動受限(limited dorsiflexion of ankle)
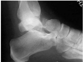
59 下圖為何種骨折?
(A) calcaneus fracture(B) talus fracture(C) navicular fracture(D) cuboid fracture
60 一位 33 歲的張先生很喜歡慢跑,最近他每天傍晚都到家附近的小山坡路跑 1~2 小時。結果他發現 左膝外側、大腿骨下端隆起處,在膝關節彎曲、伸直的動作中會有尖銳的疼痛;但是膝關節全伸直 和彎曲超過 90 度時,卻又不感到疼痛。他改以騎自行車來運動,結果幾天下來,這個問題更糟糕。 張先生最有可能發生了: (A)外側副韌帶(lateral collateral ligament)拉傷 (B)髂脛束摩擦症候群(iliotibial band friction syndrome) (C)股二頭肌(biceps femoris muscle)肌腱炎 (D)外側半月板(lateral meniscus)損傷
61 一位 12 歲女學生到骨科門診要求檢查是否有脊柱側彎。對於判斷是否有脊柱側彎的理學檢查中,下 列何者最為重要? (A)亞當氏脊椎前彎測試(Adams forward bend test) (B)派屈克氏測試(Patrick’s test) (C)蕭鉑氏脊椎前彎測試(Schober’s test) (D)坐及肢體軀幹前彎測試(sit and reach test)
62 一位 8 歲女學生被診斷有脊柱側彎,皮膚有咖啡色斑(café-au-lait spots)。全身脊椎 X 光攝影檢查 顯示第五至十胸椎側彎 55 度,且椎間神經孔有增大情形。下列何者是最適當的診斷? (A)先天性脊柱側彎(congenital scoliosis) (B)特發性脊柱側彎(idiopathic scoliosis) (C)脊髓膜膨出型脊柱側彎(myelomeningocele scoliosis) (D)神經纖維瘤脊柱側彎(neurofibromatosis scoliosis)
63 下列關於關節囊內股骨頸骨折(intracapsular femoral neck fracture)之敘述,何者最正確? (A) Garden type II 股骨頸骨折屬移位性骨折(displaced fracture) (B)年輕人之股骨頸骨折常見於高能量性創傷(high-energy trauma) (C)移位性股骨頸骨折之治療原則為開放性復位內固定手術(open reduction and internal fixation) (D)缺血性壞死(osteonecrosis)是最常見之合併症
64 有關感染性結石(infection stone)之敘述,下列何者錯誤? (A)感染性結石最常見的細菌是 Proteus mirabilis (B)最好的治療方式是手術移除結石 (C)單純使用抗生素治療無效的主要原因是結石中的細菌產生抗藥性 (D)給予預防性抗生素可以降低結石及感染的復發
65 一位 55 歲女性因一年來有 4 次反覆性泌尿道感染,由其家庭醫師轉診。目前沒有症狀,沒有尿路結 石病史,超音波顯示右腎結石及腎水腫,靜脈腎盂攝影顯示有一 4×3 公分結石在右腎盂並佔據中、下腎盞,尿液細菌培養為變形桿菌(Proteus mirabilis),此時下列何者是最適當的治療?(A)輸尿管鏡碎石手術(B)體外震波碎石術(C)經皮穿腎取石手術(D)腎臟切開取石手術
66 一位 60 歲的男性在健康體檢時發現血清前列腺特定抗原(PSA)濃度為 28.51 ng/mL,尿液檢查正常, 肛門指檢結果發現前列腺肥大,表面不規則,但無硬結,亦無壓痛。則下列何者為較佳之處置? (A)服用甲型阻斷劑(α-blocker) (B)服用 5α-還原酶抑制劑(5α-reductase inhibitor) (C)使用抗生素 (D)接受經直腸超音波檢查,以及前列腺穿刺切片
67 有關前列腺癌荷爾蒙治療的敘述,下列何者錯誤? (A)荷爾蒙治療是指儘量抑制(suppress)身體內男性荷爾蒙,因為男性荷爾蒙對前列腺癌細胞來說, 是一種刺激生長因子 (B)雙側睪丸切除算是一種荷爾蒙治療 (C)單次注射黃體素釋放激素促進劑(luteinizing hormone releasing hormone agonist)也可以達成荷爾 蒙治療 (D)長期荷爾蒙治療可能有骨質疏鬆、貧血、疲倦等副作用
68 下列有關前列腺特定抗原(PSA)之敘述,何者錯誤? (A) PSA 每年若增加 0.75 ng/mL 以上時,有可能潛藏前列腺癌 (B)前列腺良性肥大時每公克組織 PSA 濃度可增加 0.12 ng/mL (C) PSA density 超過 0.15 ng/mL 時應作切片 (D)約 10%血清 PSA 與 α1-antichymotrypsin 結合
複選題
69 有關以藥物治療前列腺肥大造成之下泌尿道症狀(lower urinary tract symptoms)之敘述,下列何者錯誤?(一律給分) (A)抗乙醯膽鹼(anticholinergics)可改善下泌尿道障礙,主要是緩解膀胱刺激性(irritative)或貯藏性 (storage)症狀 (B)常用的甲型腎上腺素阻斷劑(α-adrenergic blockers)包括:terazosin、doxazosin、tamsulosin 及alfuzosin 等 (C)有時 anticholinergics 會造成排尿更困難,因為它會造成膀胱逼尿肌收縮力變較差 (D) α-adrenergic blockers 常見到的副作用為姿態性低血壓及腹瀉
【已刪除】
複選題
70 一位 5 歲男孩,來到急診處,主訴從昨晚開始右側陰囊疼痛,沒有發燒,活力正常,下列何者錯誤?(A)鑑別診斷包括急性睪丸扭轉(testicular torsion)、急性副睪丸炎、外傷等(B)都卜勒(Doppler)超音波檢查如果顯示睪丸內血流增加,且尿液中白血球顯著增加,較可能是急性副睪丸炎(C)如果男孩站立時,理學檢查托起陰囊會減輕疼痛,比較像是急性副睪丸炎(D)有時不易分辨睪丸扭轉或急性副睪丸炎時,必須開刀探查(E)一律給分
71 一位 48 歲末期腎衰竭男性病患接受透析(dialysis)治療登記腎臟移植,此病患曾經有泌尿系統方面 的問題(腎結石以及血尿),下列何種檢查宜避免? (A)接受使用 gadolinium 作核磁共振造影檢查 (B)接受靜脈注射顯影劑做電腦斷層檢查 (C)安排腎臟與膀胱超音波檢查 (D)安排膀胱鏡或逆行性腎輸尿管攝影
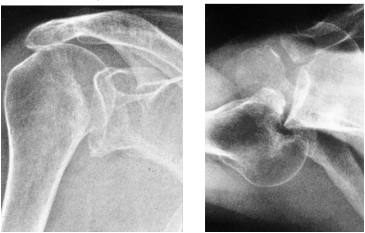
72 一位 25 歲年輕男性,車禍跌倒右肩膀著地後,右肩關節疼痛且關節運動受阻,右肩之正面(AP view) 及腋下(axillary view)之 X 光攝影如下圖,該病人的肩膀外傷診斷為何?
(A) humerus fracture and dislocation (B) shoulder anterior dislocation and impaction (C) shoulder posterior dislocation and impaction (D) post-traumatic arthritis
73 關於腸套疊(intussusception),下列何者錯誤? (A)多發生在 10 歲以上的幼兒 (B)嬰幼兒以原因不明為主 (C) 2 歲以下嬰兒,以迴盲套腸為最常見 (D)成年之腸套疊常合併有結腸腫瘤
74 一鼻咽癌病患抱怨雙側手臂與大腿疼痛,下列何者是最適當的檢查工具? (A)超音波 (B)電腦斷層掃描 (C)核磁共振造影 (D)同位素骨骼掃描
75 一位 38 歲男性,體重 70 kg,騎腳踏車不慎在路口被貨車撞到造成體內出血,送到急診時初步檢查 發現收縮壓輕微下降,但脈搏壓(pulse pressure)明顯下降,且脈搏 110 次/分,尿量 25 ml/hr,病 人約流失多少血液? (A)<750 ml (B) 750~1500 ml (C) 1600~2000 ml (D) 2100~3000 ml
76 一位 72 歲健康男性 2 天前於浴室滑倒,主訴右髖部疼痛無法行走,X 光顯示股骨頸骨折(femoral neck fracture)合併移位,下列處置中,何者最為適當? (A)石膏固定 (B)立刻復位,右下肢皮膚牽引兩周 (C)立刻復位,右下肢骨骼牽引四周 (D)行人工半髖關節置換(hemiarthroplasty)
77 治療急性輸尿管結石疼痛的藥物,下列那一種治療藥物沒有足夠的臨床實證支持有效? (A)解痙劑,例如 butylscopolamine(Buscopan) (B)非類固醇類消炎藥(non-steroid anti-inflammatory drugs, NSAIDs) (C) α-腎上腺素作用劑,例如 tamsulosin(Harnalidge) (D)鈣離子阻斷劑,例如長效型的 nifedipine(Adalat OROS)
78 病人因嚴重類風濕關節炎導致劇痛就醫,就診時告知其為一牧師,因為要主持巡迴佈道,故要求你 開立最有效的止痛藥。類固醇是一種消炎效力極強的藥物,常用於風濕性疾病的短期給藥,但因其 與胰島素存有藥品交互作用,可能會促進糖質新生而誘發或加重糖尿病的病情,嚴重者更可能導致 死亡,故在開立類固醇時,應特別注意患者是否有糖尿病史。病人顯然具有豐富的醫學知識,雖然 告知你有糖尿病病史,仍要求你開給他類固醇藥物,他表示站在維護其神職人員堅強健全形象且期 望專心投身工作的立場,即使類固醇治療最壞結果是導致死亡亦不後悔,下列可能的作法,那一個 最符合倫理? (A)既然這個病人如此要求,基於尊重病人自主權,就照他的意思開給他類固醇藥物,反正是病人自 己的健康,應該自己負責 (B)自主原則雖然重要,但不傷害原則也是醫學倫理的重要精神,所以為了兩全其美,騙這個病人是 開類固醇藥物,但其實是給另外藥效雖然較不明顯,但也不會傷害病人的其他止痛藥物 (C)不傷害原則誠然重要,正直誠實也很重要,所以直接告訴病人你沒有辦法在明知對病人有害的情 況下開立類固醇給他,請他接受你的建議或另覓良醫 (D)病人的選擇顯然違反病人自己的最大利益,所以要更深入地與病人溝通,釐清病人真正的問題癥 結,了解病人對糖尿病以及對類固醇的看法,再與病人共同討論出一個最能達到病人心願的治療 方案
79 在醫院工作時發現有不符合醫學倫理但不違法的事情,如果想採取行動,下列那一項最不適當? (A)提報到醫學倫理委員會討論 (B)向上級報告 (C)尋求同儕意見 (D)向檢察官告發
80 依據人體器官移植條例醫師摘取器官的規定,下列敘述何者錯誤? (A)醫師自屍體摘取器官,經死者生前以書面或遺囑同意 (B)醫師自屍體摘取器官,經死者最近親屬以書面或口頭同意 (C)醫師自活體摘取器官前,應向捐贈者說明摘取器官之範圍及手術過程、可能之併發症及危險 (D)醫師施行摘取器官時,應善盡醫療及禮儀上必要之注意
申論題 (0)
相關試卷
115年 - 115-1 專技高考_醫師(二):醫學(五)(包括外科、骨科、泌尿科等科目及其相關臨床實例與醫學倫理)#137338
115年 · #137338
114年 - 114-2 專技高考_醫師(二):醫學(五)(包括外科、骨科、泌尿科等科目及其相關臨床實例與醫學倫理)#127923
114年 · #127923
114年 - 114-1 專技高考_醫師(二):醫學(五)(包括外科、骨科、泌尿科等科目及其相關臨床實例與醫學倫理)#125088
114年 · #125088
113年 - 113-2 專技高考_醫師(二):醫學(五)(包括外科、骨科、泌尿科等科目及其相關臨床實例與醫學倫理)#120655
113年 · #120655
113年 - 113-1 專技高考_醫師(二):醫學(五)(包括外科、骨科、泌尿科等科目及其相關臨床實例與醫學倫理)#118719
113年 · #118719
112年 - 112-2 專技高考_醫師(二):醫學(五)(包括外科、骨科、泌尿科等科目及其相關臨床實例與醫學倫理)#114977
112年 · #114977
112年 - 112-1 專技高考_醫師(二):醫學(五)(包括外科、骨科、泌尿科等科目及其相關臨床實例與醫學倫理)#113148
112年 · #113148
111年 - 111-2 專技高考_醫師(二):醫學(五)(包括外科、骨科、泌尿科等科目及其相關臨床實例與醫學倫理)#108727
111年 · #108727
111年 - 111-1 專技高考_醫師(二):醫學(五)(包括外科、骨科、泌尿科等科目及其相關臨床實例與醫學倫理)#106181
111年 · #106181
110年 - 110-2 專技高考_醫師(二):醫學(五)(包括外科、骨科、泌尿科等科目及其相關臨床實例與醫學倫理)#99917
110年 · #99917