所屬科目:醫學四:80題 ( 包括小兒科,皮膚科,神經科,精神科等科目及其相關臨床實例與醫學倫理 )
13.2個月大的女嬰,出生後不久即被發現呼吸急促合併喘鳴聲(stridor),氣管鏡檢查發現氣管狹窄,食道攝影如圖所示。下列 何者為最可能的診斷? (A)雙主動脈弓(double aortic arch) (B)右主動脈弓併左開放性動脈導管(right aortic arch & left PDA) (C)肺動脈吊帶(pulmonary sling) (D)持續第五動脈弓(persistent fifth arch)
15.2歲女童,就診主訴為發高燒3天,喉嚨痛、口水直流,媽媽發現女童的手腳出現許多紅疹,同時女童這兩天幾乎無法進食,尿 量明顯減少。身體診察發現喉嚨軟顎上出現水疱,手掌、腳掌、臀部也出現疹子(如圖所示),下列敘述何者錯誤? (A)腸病毒引起的手足口症的典型表現 (B)治療的首選藥物是Acyclovir (C)腸病毒71型較易引起重症 (D)腸病毒的傳染途徑,主要經由糞口傳染或藉由呼吸道分泌物傳播
22.5歲男童因為腹瀉3天,有脫水現象被送到急診。抽血檢查發現,血清鈉離子:142 mEq/L,鉀離子:3.6 mEq/L,氯離子:115 mEq/L,肌酐酸(creatinine):1.1 mg/dL。動脈血液氣體分析為pH=7.12,PCO2 =50 mmHg,HCO3 -=14 mmol/L。下列何者 正確? (A)normal anion gap metabolic acidosis with respiratory acidosis (B)high anion gap metabolic acidosis with respiratory acidosis (C)normal anion gap metabolic acidosis with respiratory compensation (D)normal anion gap metabolic acidosis with respiratory alkalosis
36.70歲臥床男性,在腹股溝和大腿內側出現如圖A的紅色斑塊,周圍有散在性膿疱,KOH鏡檢如圖B,診斷為何? 圖A圖B
(A)股癬(tinea cruris) (B)皮膚念珠菌感染(cutaneous candidiasis) (C)陰部單純性疱疹(herpes simplex genitalis) (D)汗斑(pityriasis versicolor)
38.24歲女性,晚上吃完喜酒,數小時後,半夜皮膚開始發癢起疹,如圖所示,且奇癢難耐,清晨即趕至醫院急診,最可能的診斷 為何? (A)急性蕁麻疹 (B)多型性紅斑 (C)蜂窩性組織炎 (D)體癬
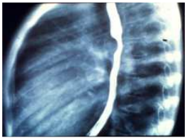
76.6歲女童,偶然發現胸部X光異常,胸部影像如圖,最可能的診斷為下列何者? (A)心臟腫瘤 (B)神經性腫瘤(neurogenic tumor) (C)橫膈疝脫(diaphragmatic hernia) (D)右肺中葉肺炎