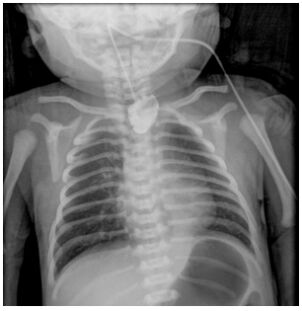
複選題44.一名33週的早產兒,出生後生命徵象穩定,但在第一次餵奶時發現有咳嗽、嗆到、發紺的狀況,且伴隨著大量口水流出;當試著置入胃管時,發現無法放至胃部,因此新生兒科醫師安排食道鋇劑攝影如圖。針對上述情況,下列相關敘述何者錯誤?

(A)該患兒必定伴隨著食道氣管瘻管(tracheoesophageal fistula) (B)該患兒很可能身體有其他的異常,因此一定要再檢查其他器官系統有無異常(C)該患兒之疾病以Gross type C最常見(D)若沒有其他更緊急的狀況,患兒應儘速接受手術治療 .