所屬科目:心臟科
4. 病人是38歲中學女性老師,兩年前開始運動性呼吸困難,當時有第二胎懷孕在身,生產後並未有改善,反而逐漸加重,最近數週只要上樓梯一層就氣促甚急,也間或有昏厥的發生,乃住院診療。理學檢查:血壓140/95 mmHg、T/P/R:36.5℃/84/20;頸靜脈未見怒張;心律規則、可觸覺右心室擴大、在左下胸緣有GrII/IV systolic murmur、S1正常、P2加重、未有S3及S4,未有肝腫及腳水腫、杵狀指(clubbing fingers)或發紺。胸部X光如圖4 及心電圖 如圖示。這位病人最正確的心臟診斷是 (A) Postpartum cardiomyopathy (B) Mitral stenosis (C) Pulmonary arterial hypertension (D) Aortic valvular stenosis (E) Obstructive hypertrophic cardiomyopathy
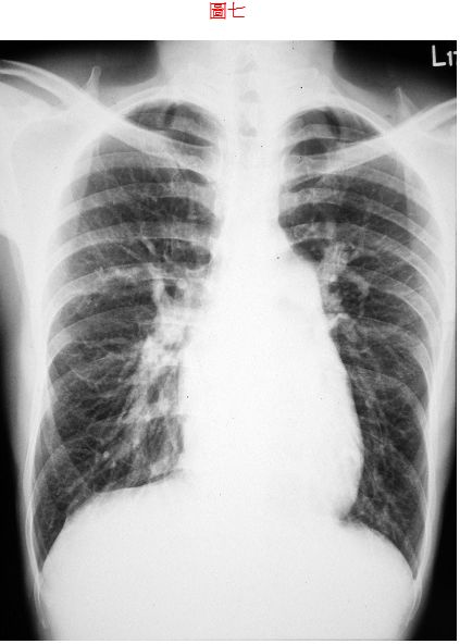
7. 病人26歲,男性,宜蘭頭城工人,主訴偶有胸悶歷經一個月,他自小開始就不適運動,胸口時有鐘擺劇動,最近常有運動相關的胸悶, 伴有心悸暈眩,有時強度運動會有發紺。既往病史未有特別。理學檢查:身高155cm、體重45.5kg、血壓108/70mmHg、心跳80/min、頸靜脈正常、PMI左5th ICS(intercostal space)的LMCL(left middle clavicular line)、RV heave、在左上胸緣有Gr. III/VI systolic ejection murmur with fixed splitting S2,未有心雜音傳移,P2加重。其他理學檢查未有不正常,胸部X光如圖7, 心電圖如圖。本病人做正確的心臟診斷是: (A) Pulmonary stenosis (B) Idiopathic pulmonary hypertension (C) Atrial septal defect (D) Aortic stenosis (E) Mitral stenosis
8. 病人53歲,男性,因有一個月的胸悶到門診求治,胸悶會有左下巴發麻,與運動相關,每次發作3至5分鐘,休息可緩解。病史包括高脂血半年及 抽煙30年,但已戒菸。理學檢查:血壓145/96mmHg、心跳80/min、其他檢查尚無不正常。心電圖如圖 8-1、 8-2, 生化:sugar(AC/PC)95/141 mg/dl、total cholesterol 191 mg/dl、HDL-C 29 mg/dl、LDL-C 104 mg/dl、triglyceride 289 mg/dl、AST 27U/L、ALT 45 U/L、 creatinine 1.2 mg/dl、uric acid 9.2 mg/dl。按照實證醫學及我國健保之規定,下列何者處置是正確的 (A) 本病人應給予非藥物治療(飲食、運動、戒菸酒等生活矯正)三至六個月,才可使用fenofibrate (Lipanthyl)100 mg QD (B) 降血脂藥物的治療目標在triglyceride < 200 mg/dl、cholesterol < 160 mg/dl (C) 可即刻起步治療高血壓並設定systolic及diastolic BP治療目標分別在<140 mmHg 及90 mmHg (D) 依我國健保規定,這位病人的降血壓以單方治療(monotherapy)為宜 (E) 依美國JNC-7,本病人最合適的起步治療是α-adrenergic receptor blocker
9. 病人69歲男性,三天前有半小時胸痛,與運動無關,隨後有雙側水腫,不再有胸痛,乃到門診求醫,後轉送急診收治。病史有糖尿病6-7年外, 無其他危險因素。理學:血壓139/79mmHg、心跳78/min、呼吸20/min。未有頸靜脈怒張,肺部有輕度濕囉音,心臟微擴大、心尖部有S4及Gr II/VI systolic murmur、 雙小腿水腫,其他並無不正常。 心電圖 如圖,CK/CKMB/TnI: 456 U/L/53. 1U/L/12.1U/L; sugar 153mg/dl、creatinin 2.5 mg/dl、triglyceride 109 mg/dl、cholesterol 145 mg/dl。本病人下列何 者的處置不符合實證醫學: (A) 逕用tPA 15 mg 承載劑量(lodading dose)靜注,45 mg/半小時之 後30 mg一小時和Heparin 3000u靜注及10000u在500cc normal saline/24小時靜注 (B) Nitroglycerin 50 mg in 125 cc dextrose / saline靜脈注射 (C) 服用Gliquidone 30 mg BID治療糖尿病 (D) 出院前經皮冠狀動脈成形術處置 (E) Aspirin 80 mg