阿摩線上測驗
登入
首頁
>
醫學三:80題 ( 包括內科,家庭醫學科等科目及其相關臨床實例與醫學倫理 )
> 105年 - 105-2 專技高考_醫師(二):醫學(三)(包括內科、家庭醫學科等科目及其相關臨床實例與醫學倫理)#54838
105年 - 105-2 專技高考_醫師(二):醫學(三)(包括內科、家庭醫學科等科目及其相關臨床實例與醫學倫理)#54838
科目:
醫學三:80題 ( 包括內科,家庭醫學科等科目及其相關臨床實例與醫學倫理 ) |
年份:
105年 |
選擇題數:
80 |
申論題數:
0
試卷資訊
所屬科目:
醫學三:80題 ( 包括內科,家庭醫學科等科目及其相關臨床實例與醫學倫理 )
選擇題 (80)
1.40歲女性,過去身體健康,因為近二日來說話不清楚、吞嚥困難和兩眼皮無法全張開,症狀逐漸加劇,來急診就醫。來院前五 日她和媽媽與先生三人吃了路邊攤購買的素食豆干後,開始出現腹瀉、嘔吐和腹痛,後續發生前述症狀,同時,病患也逐漸出 現近端肢體、顏面肌肉和呼吸無力。來院當日,媽媽和先生也開始出現類似的病症。理學檢查發現病患意識清楚,沒有發燒, 心跳和血壓正常,但是呼吸較淺且費力;神經學檢查發現深部肌腱反射(deep tendon reflex)降低。最有可能的診斷為何? (A)Guillain-Barré syndrome due to campylobacteriosis (B)tetanus (C)botulism (D)Lambert-Eaton syndrome
2.胡小姐44歲,無過往心臟病病史,主訴突發性心悸。於急診室病人意識清楚,血壓為104/60 mmHg,心電圖顯示心律不整,經 施打adenosine後恢復正常竇性心律,以下何心電圖最可能是胡小姐的心律不整?
3.一位64歲有心肌梗塞及鬱血性心臟衰竭的男性病人,平躺休息時沒有症狀,但他表示每天當他以平常的方式洗澡之後,就覺得 很累、胸悶及心跳變快,要坐在椅子上休息數分鐘之後才能接著吹乾頭髮。若依紐約心臟學會的心衰竭功能分級(New York Heart Association Functional Classification),他目前屬於第幾級? (A)第一級 (B)第二級 (C)第三級 (D)第四級
4.張先生被家屬送來急診室,他們只知道張先生因心情不好,吞了一大把頭痛藥(acetaminophen)後就一直噁心、嘔吐、全身 倦怠無力。抽血檢查結果如下:alanine aminotransferase(ALT):894 U/L(normal:0~40);aspartate aminotransferase (AST):720 U/L(normal:5~45);total bilirubin:2.2 mg/dL(normal:0.2~1.6);direct bilirubin:1.8 mg/dL (normal:0~0.3);alkaline phosphatase(ALK-P):42 U/L(normal:10~100);gamma-glutamyl transpeptidase(γ- GT):50 U/L(normal:6~60)。關於此藥物引起之傷害,何者最不正確? (A)這是一種與劑量(dose dependent)有關的肝傷害 (B)血中藥物濃度與肝傷害嚴重度相關 (C)張先生如未發生肝衰竭,日後還是會演變成慢性肝病 (D)可能引起腎衰竭
5.一位30歲男性,因為最近被發現有黃疸而就醫,抽血檢查結果:total bilirubin 6mg/dL(正常值:0.2~1.6)、direct bilirubin1.5mg/dL(正常值:0~0.3)、urine routine bilirubin (+)。以下描述何者錯誤? (A)病史詢問,應著重藥物史及溶血性疾病等 (B)身體診察可能發現脾臟腫大 (C)ineffective erythropoiesis或Gilbert's syndrome也可能是本病人之病因 (D)尿液中,所測到之bilirubin是unconjugated bilirubin
6.一位40歲病人原來腎功能正常,現其血肌酸酐(creatinine)上升至2.1 mg/dL,下列何種狀況最可判斷此病人傾向腎因性急性 腎衰竭,而不是腎前性(prerenal)急性腎衰竭? (A)尿中出現透明圓柱體(hyaline casts) (B)血中尿素氮(BUN)48 mg/dL (C)尿鈉(Na)濃度為8 mmol/L (D)尿鈉排泄分率(fractional excretion of sodium, FeNa)為2%
7.下列有關糖尿病腎病變之敘述,何者錯誤? (A)蛋白尿或微蛋白尿不會出現於新診斷第二型糖尿病病人 (B)病理上的變化如腎絲球基底膜變厚及腎小球內基質(mesangium)擴張是常見的 (C)使用腎素-血管張力素系統(renin-angiotensin system)阻斷劑 (D)國內目前每年進入透析的新病人其原發病因以糖尿病腎病變占第一位
8.一位34歲類風濕關節炎患者兩手PIP及MCP joints有腫脹,腕關節有腫脹及活動受限,兩側肘關節有腫脹及變形。ESR:83 mm/1h,CRP:5.36 mg/dL(normal < 0.8 mg/dL),RF:635 IU/mL(normal<10 IU/mL),經以methotrexate 15 mg/week+salfasalazine 500 mg QID及prednisolone 10 mg QD治療約半年無顯著效果,下一步應該選擇何種治療藥物最為恰 當? (A)anti-TNF-α (B)IL-1 receptor antagonist (C)prednisolone 1000 mg/day pulse therapy for 3 days (D)anti-pyrimidine agent
9.一位54歲男性,過去無全身性疾病病史,亦無特殊不適,但其家人注意到他的臉總是紅紅的,身體檢查顯示臉部泛紅,血壓130/86 mmHg,脾臟在左肋緣下1指幅可觸摸到。抽血檢查發現血紅素19.5 gm/dL,血比容60%,白血球12500/µL,neutrophil73%,monocyte 6%,lymphocyte 20%,eosinophil 1%,血小板546000/µL,血清中erythropoietin 3 mIU/µL(正常3.7~31.5),血球細胞有JAK2基因突變。對此病人最適當的治療為何? (A)hydroxyurea (B)anagrelide (C)radioactive phosphorus
32
P (D)phlebotomy
10.一個35歲男性患者診斷為malignant lymphoma,diffuse large B-cell type,stage IIA,下列有關敘述何者為正確? (A)一般而言,積極化學治療約可達到70%的緩解率(remission rate) (B)除非進行造血幹細胞移植,否則無治癒可能 (C)屬於aggressive malignancy,腫瘤生長速度快,化學藥物治療效果不佳 (D)應該儘可能只給予radiation therapy就好,避免給予systemic chemotherapy,以免以後發生secondary leukemia
11.ㄧ位70歲男性病人,主訴為進行性呼吸困難、咳嗽、但痰不多,胸部X光片顯示兩側下肺葉浸潤,HRCT(high-resolution CT)顯示主要變化為basilar and subpleural reticular opacities,traction bronchiectasis and honeycombing表現,最可能的診 斷為: (A)usual interstitial pneumonia(UIP) (B)nonspecific interstitial pneumonia(NSIP) (C)cryptogenic organizing pneumonia (D)aspiration pneumonia
複選題
12.一位70歲男性,意識清楚,因咳嗽、黃痰和發燒來醫院就診,胸腔科門診的胸部X光片顯示右上葉肺炎,患者的vital signs: BP 150/80 mmHg,heart rate 110/min(regular),respiratory rate 33/min,BT:38℃;依據指引,此病患的最適宜治療方 式是: (A)門診治療 (B)一般病房住院治療 (C)加護病房住院治療 (D)立即施打肺炎疫苗
13.32歲女性長期無月經,最近因打籃球時發生肋骨骨折,骨密度檢查T-score 為-2.8。病人曾於20歲時,因原發性無月經住院檢 查,發現嗅覺不佳且子宮很小,因此曾服用口服避孕藥2年,之後因頭痛自行停藥。抽血檢查 LH<0.8 IU/L, estradiol<20 pg/mL。下列有關骨鬆症之治療何者最恰當? (A)bisphosphonate (B)estrogen (C)calcium + Vit D (D)human recombinant PTH
14.一位30歲女性懷孕三個月,體檢發現其甲狀腺輕微腫大觸感堅實。驗血發現free T4 0.6 ng/dL(normal range 0.8~1.8 ng/dL),T3 120 ng/dL(normal range 80~180 ng/dL),TSH 20µIU/mL(normal range 0.1~2.0 µIU/mL),你認為她的甲 狀腺功能如何? (A)正常甲狀腺功能(euthyroidism) (B)甲狀腺功能亢進(hyperthyroidism) (C)次發性甲狀腺功能低下(secondary hypothyroidism) (D)原發性甲狀腺功能低下(primary hypothyroidism)
15.70歲女性有糖尿病和高血壓,並控制良好,意識清楚且生活可自理。年度健康檢查,自解尿液作常規檢驗,發現有膿尿及菌尿 症;經問診及理學檢查,確認病人無發燒、頻尿、解尿疼痛、腰部疼痛等,下列處置何者最適當? (A)進行腹部電腦斷層檢查 (B)住院進行靜脈抗生素治療 (C)給予口服抗生素治療 (D)觀察及衛教,不需抗生素治療
16.65歲男性病人因嚴重肺炎合併呼吸衰竭,入住加護病房,經投予廣效抗生素三天後退燒;但在第五天出現腹痛,腹脹及水便 (每日至少五次),下列敘述何者最為適當? (A)糞便中Clostridium difficile toxin毒素檢測陰性,可排除Clostridium difficile相關腹瀉之診斷 (B)糞便培養長出Clostridium difficile,可確診Clostridium difficile相關腹瀉之診斷 (C)如腹瀉症狀明顯,可先使用loperamide來緩和症狀 (D)可用口服metronidazole治療
17.下列有關懷孕對血行動力學及血壓的影響敘述,何者錯誤? (A)懷孕期間,心輸出量增加約40% (B)懷孕期間,週邊血管阻力增加 (C)懷孕期間,心跳加快 (D)懷孕期間,血壓測量(連續二次,相隔超過 6 小時)超過140/90 mmHg為不正常
18.下列有關低血鈉症(hyponatremia)的描述,何者正確? (A)如果血漿滲透壓(osmolality)偏低,應考慮是否有高血糖 (B)心臟衰竭可能造成細胞外體液(extracellular fluid)增加及低血鈉 (C)低血鈉及細胞外體液減少的病人,若尿液鈉離子濃度低於10 mmol/L,代表有Na+ wasting nephropathy (D)抗利尿激素不適當分泌(SIADH)的病人通常血漿滲透壓正常,但細胞外體液減少
19.下列何者,不是急性心衰竭合併肺水腫的主要用藥? (A)靜脈注射dopamine or dobutamine (B)靜脈注射nitroglycerin (C)靜脈注射利尿劑 (D)優先使用乙型交感神經阻斷劑(β-blocker)
20.下列有關肥厚性心肌病變(hypertrophic cardiomyopathy)的敍述,何者錯誤? (A)有一半的病人可能有家族史及基因變異 (B)聽診時常出現第四心音(S
4
) (C)最常見的死因為猝死(sudden cardiac death) (D)若病人臨床上出現氣促(dyspnea)及胸痛(chest pain),則以利尿劑(diuretics)及硝酸鹽(nitrate)為首選藥物
21.67歲男性本身有糖尿病,目前以口服降血糖藥物控制,前一天晚上11點左右喝了2瓶啤酒後,忽然發生心悸,一直到今日上午7時持續不舒服。因休息無法改善,故到急診求診。病患表示以前無發生過此症狀。生命徵象為:意識清楚,體溫36.5℃,心 跳每分鐘140次,血壓150/80毫米汞柱,呼吸每分鐘24次。心電圖如下。下列處置何者最恰當?
(A)給予coumadin口服 (B)立即胸前電擊100J (C)給予amiodarone靜脈注射治療 (D)給予heparin靜脈注射治療
22.對於左心室收縮性功能異常的心臟衰竭病人,下列何種治療無法延長病人壽命? (A)血管張力素轉化酶抑制劑(ACE inhibitors) (B)乙型交感神經接受器阻斷劑(beta-adrenergic receptor blockers) (C)毛地黃(digitalis) (D)血管擴張劑組合(combination of vasodilators)
23.下列何者為最常見規則性的陣發性上心室頻脈(paroxysmal regular supraventricular tachycardia)? (A)心房撲動(atrial flutter) (B)atrioventricular nodal reentry tachycardia(AVNRT) (C)心房顫動(atrial fibrillation) (D)多型性心房頻脈(multifocal atrial tachycardia)
24.一位85歲男性,有高血壓病史,因在家中昏倒被家人送到急診室,在急診室所做的心電圖如附圖,下列敘述何者正確?
(A)病人心電圖為第三度的房室傳導阻斷(3 rd degree AV block) (B)病因應考慮高血壓用藥引起 (C)如果是急性心肌梗塞所導致,大部分發生於前壁急性心肌梗塞病人(anterior wall myocardial infarction) (D)應立即置放永久性心臟節律器(permanent pacemaker)
25.60歲女性因急性腹痛、發燒至急診處,血液檢查結果為bilirubin(total/direct):3.5/2.0 mg/dL,AST:100 U/L,ALT:75 U/L,腹部電腦斷層結果如圖,最可能的診斷為:
(A)急性肝炎 (B)急性盲腸炎 (C)急性膽管炎 (D)急性腸胃炎
26.幽門螺旋桿菌感染不會增加下列何項疾病的風險? (A)reflux esophagitis (B)non-cardiac gastric cancer (C)gastric mucosa-associated lymphoid tissue(MALT)lymphoma (D)gastric ulcer
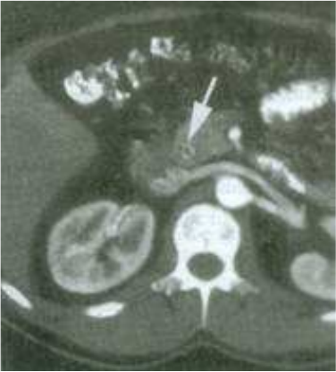
27.68歲女性因肚臍周圍疼痛合併噁心嘔吐至急診,理學檢查發現體溫37.5℃,且肚臍周圍有壓疼,血液檢查WBC:14500/µL, 分類segment:85%,腹部電腦斷層結果如圖,最可能的診斷為何?
(A)acute appendicitis (B)ventral hernia (C)acute diverticulitis (D)adynamic ileus
28.小型肝癌(small hepatocellular carcinoma)最常見的症狀為何? (A)通常沒有症狀 (B)腹水 (C)黃疸 (D)吐血
29.一位腹水病人之血中白蛋白(albumin)是3.0 g/dL,腹水中的白蛋白是1.2 g/dL,下列何項診斷較不可能? (A)肝硬化(liver cirrhosis) (B)鬱血性心衰竭(congestive heart failure) (C)腎病症候群(nephrotic syndrome) (D)Budd-Chiari症候群(Budd-Chiari syndrome)
30.下列有關乳糖不耐症(lactose intolerance)的敘述,何者錯誤? (A)臨床可出現腹脹、腹瀉、腹痛、脹氣、放屁等症狀 (B)亞洲人90%左右有此困擾,而白種人則不到25% (C)腹瀉屬於分泌性(secretory)腹瀉,停用乳糖製品可改善 (D)給病人補充乳糖酵素可以改善。含活的乳酸菌之優酪乳(yogurt)因可產生乳糖酵素,病人可以接受
31.下列原發性膽原性肝硬化(primary biliary cirrhosis)臨床的敘述,何者錯誤? (A)皮膚搔癢(pruritus) (B)好發於男性 (C)好發於女性 (D)絕大部分血清抗粒線體抗體(anti-mitochondrial antibody)升高
複選題
32.腎絲球過濾率可藉由自主控制(autoregulation)在血壓變化時,仍能保持穩定之腎絲球過濾率,下列有關腎絲球過濾率自主 控制之敘述,何者正確? (A)出球小動脈(efferent arteriole)之自主控制來自肌源性(myogenic)反射 (B)腎小管腎絲球回饋(tubuloglomerular feedback),會影響出球小動脈(efferent arteriole)之收縮與舒張 (C)腎小球旁器(juxtaglomerular apparatus)釋出腎素(renin),引發入球小動脈(afferent arteriole)之收縮 (D)抑制腎小管產生腺苷(adenosine),可造成入球小動脈(afferent arteriole)之擴張
33.最容易造成移植後糖尿病之免疫抑制劑為: (A)cyclosporine (B)tacrolimus (C)mycophenolate mofetil (D)sirolimus
34.下列何種引起低血鈉的情況,最適合以注射0.9%生理食鹽水來治療? (A)高血糖(hyperglycemia) (B)甲狀腺機能低下(hypothyroidism) (C)皮質醛酮素缺乏(aldosterone deficiency) (D)SIADH(syndrome of inappropriate ADH secretion)
35.下列有關治療urticaria/angioedma的描述中,何者最為正確? (A)topical glucocorticoids ointment對於acute urticaria最有效 (B)H2 antihistamine對止癢最有效果 (C)systemic glucocorticoids對chronic urticaria最有效 (D)persistent vasculitic urticaria可以使用hydroxychloroquine作為輔助治療
36.抗磷脂質抗體症候群(antiphospholipid antibody syndrome)與下列何種異常最有相關? (A)thrombocytopenia (B)proteinuria (C)photosensitivity (D)arthritis
37.全身性硬化症(systemic sclerosis)最常侵犯的內臟是: (A)食道 (B)心臟 (C)腎臟 (D)眼睛
38.下列關於關節炎分類的鑑別診斷中,何種組合最正確? (A)tuberculous arthritis-acute monoarticular arthritis (B)virus-induced arthritis-chronic monoarticular arthritis (C)sarcoidosis-chronic polyarticular arthritis (D)infectious arthritis-acute polyarticular arthritis
39.一位35歲男子從常規的醫療檢查被診斷出患有B型肝炎,肝功能正常,血清甲型胎兒蛋白(α-fetoprotein, AFP)在正常範圍 內。對這病人的建議,下列何者錯誤? (A)每6個月門診追蹤 (B)每6個月血清甲型胎兒蛋白(α-fetoprotein, AFP)檢查 (C)每6個月腹部電腦斷層掃描 (D)每6個月肝功能檢查
40.20歲男子頸部淋巴結腫大有6星期之久,到教學醫院之耳鼻喉科求診,經fiberoscopy檢查顯示頭頸部區域黏膜正常,排除頭頸 部惡性腫瘤的診斷。這名患者沒有感染的跡象,理學檢查顯示firm、non-tender及rubber-like,徑長3公分大之淋巴結。下列何 者為在這個階段最適當的處置? (A)淋巴結超音波(sonography) (B)切除性生檢(excisonal biopsy) (C)細針穿刺(fine needle aspiration) (D)正子掃描(PET scan)
41.一位40歲女性乳癌病人,手術後經過6次化學治療包括5-fluorouracil,methotrexate和cyclophosphamide,此位病人長期最可能發生的副作用為何?(A)心臟毒性(B)白血病(C)提早停經(D)神經毒性
42.一位 65 歲男性病人,因貧血就診,大腸鏡發現上升結腸有腫瘤,切片病理報告為腺癌,電腦斷層檢查顯示多處肝轉移,經右 半結腸切除,發現腸繫膜淋巴結也有癌細胞侵犯,肝轉移目前無法切除,分期為 T3N2M1 , 腫瘤基因檢測: K-ras 基因有 G12D 突變,術後除化學治療外會建議加何種標靶治療以期待肝轉移變為可切除? (A)EGFR抑制劑 (B)血管增生抑制劑 (C)EGFR抑制劑+血管增生抑制劑 (D)EGFR抑制劑或血管增生抑制劑皆不使用,因二者都沒效
43.下列那一種腎細胞癌與von Hippel-Lindau基因的突變或低表現有關? (A)透明細胞腎細胞癌(clear cell renal cell carcinoma) (B)類肉瘤腎細胞癌(sarcomatoid renal cell carcinoma) (C)難染性腎細胞癌(chromophobe renal cell carcinoma) (D)乳突狀腎細胞癌(papillary renal cell carcinoma)
44.一位淋巴瘤病人接受化學治療CHOP(cyclophosphamide,adriamycin,vincristine及prednisolone)後出現指端麻木感,這個症狀最可能是那種藥的副作用?(A)cyclophosphamide(B)adriamycin(C)vincristine(D)prednisolone
45.一位病人被診斷為多發性骨髓瘤,抽血檢查發現其白蛋白為2.5 gm/dL,β2 -microglobulin為5.7 mg/L。依照國際分類系統 (international staging system),此病人是屬於第幾期? (A)0 (B)I (C)II (D)III
46.下列有關慢性淋巴性白血病(CLL)的敘述,何者錯誤? (A)周邊血淋巴芽細胞數量超過5×10
9
/L (B)免疫細胞染色展現白血病細胞上T-細胞抗原CD5和B-細胞抗原CD23均為陽性 (C)西方國家成人最常見白血病 (D)常見於老年人
複選題
47.COPD發炎反應中有許多發炎介質,包括IL-8, TNF-α, IL-1β這些發炎介質的基因活化主要是經由那一個轉錄因子 (Transcriptional factor)? (A)NF-κB (B)AP-1 (C)JNK (D)HIF-1α
48.一位54歲女性第四期肺腺癌病患接受標靶藥物gefitinib治療,療效不佳,病況持續惡化。下列原因何者較不可能? (A)病患長期抽煙 (B)肺癌細胞上皮細胞生長激素受體(epidermal growth factor receptor, EGFR)基因沒有突變 (C)EGFR基因伴有T790M突變 (D)肺癌細胞帶有EML4-ALK fusion protein
49.下列有關呼吸衰竭(respiratory failure)之敘述,何者錯誤? (A)一般以動脈血中的氣體(如氧氣、二氧化碳)分壓為判斷標準 (B)肺纖維化(idiopathic pulmonary fibrosis)是屬於第一類(type I)呼吸衰竭,又稱氧合衰竭(oxygenation failure) (C)重度慢性阻塞性肺疾(chronic obstructive pulmonary disease)是屬於第二類(type II)呼吸衰竭,又稱換氣衰竭 (ventilation failure) (D)第一類(type I)呼吸衰竭的低血氧症皆能經由氧氣治療(oxygen therapy)得到改善
50.下列關於縱膈腔腫塊(mediastinal mass)的敘述,何者錯誤? (A)畸胎瘤(benign teratoma)常出現在前縱膈腔 (B)淋巴瘤(lymphoma)常出現在前、中縱膈腔 (C)支氣管囊腫(bronchogenic cyst)、心包膜囊腫(pericardial cyst)常出現在中縱膈腔 (D)Morgagni’s橫膈疝氣(diaphragm hernia)常出現在後縱膈腔
51. 下列有關肺栓塞(pulmonary embolism)的診斷敘述,何者錯誤? (A)氣促(dyspnea)、胸痛、咳血等症狀不具特異性 (B)診斷主要靠肺血管攝影(pulmonary angiography) (C)血清中d-dimer的檢測具有高敏感度、低特異性的特點 (D)使用核醫通氣-灌注肺掃描檢查,會出現「通氣-灌注不吻合」(ventilation-perfusion mismatch)的影像
52.有關氣喘病患呼吸道過度反應性(airway hyperresponsiveness)之敘述,下列何者錯誤? (A)常以支氣管激發試驗中使FEV
1
下降20%之methacholine濃度(PC
20
)或劑量(PD
20
)來表示 (B)如果某病患methacholine劑量-反應曲線在高劑量時未出現平原(plateau)現象也代表呼吸道高反應性之存在 (C)某病患methacholine PC
20
<8 mg/mL即可診斷為氣喘 (D)methacholine PC
20
值越低代表呼吸道高反應性越高
53.70 歲男性,有慢性腎功能衰竭及甲狀腺濾泡癌。多年前甲狀腺癌曾接受過手術,且接受過放射性碘治療,但現又在肺出現多 處轉移。下列何種處置最適宜? (A)停服甲狀腺素四星期後,給予放射性碘治療 (B)注射基因工程合成的甲促素(TSH),再給予放射性碘 (C)手術切除肺部轉移病變 (D)使用標靶治療
54.你正面對一位剛被診斷有第二型糖尿病的62歲女性,她懷疑自己也有骨質健康的問題,下列何者最能正確說明糖尿病和骨鬆症 的相關性? (A)第二型糖尿病患者相對於第一型糖尿病患者有較高的骨質密度 (B)第二型糖尿病患相對於一般人較少發生骨折 (C)第二型糖尿病患相對於第一型糖尿病患有較高的骨折風險 (D)血糖控制不良會降低骨質密度
55.診斷庫欣氏症(Cushing’s syndrome)下列何者最可靠? (A)早上8時皮醇(cortisol)血濃度 (B)隔夜1 mg dexamethasone抑制試驗 (C)半夜皮醇血濃度 (D)低劑量dexamethasone抑制試驗
56.下列何者不是表面蛋白(apoproteins)的功能? (A)與脂蛋白接受器結合 (B)輔助其他酵素 (C)是合成脂蛋白分解酵素(lipoprotein lipase)的前身(precursor) (D)穩定脂蛋白之結構
57.下列何者不是抗流感病毒藥物? (A)Acyclovir(Zovirax®) (B)Oseltamivir(Tamiflu®) (C)Peramivir(Rapiacta®) (D)Zanamivir(Relenza®)
58.下列有關恙蟲病(scrub typhus)之敘述,何者錯誤? (A)病原菌為Orientia tsutsugamushi (B)傳播媒介是鳥 (C)潛伏期為6~21天 (D)最佳治療藥物是Tetracycline類藥物
59.臨床診斷感染性心內膜炎的Duke criteria,下列何者不屬於典型感染性心內膜炎的菌血症菌種? (A)Streptococcus bovis (B)社區感染Staphylococcus aureus (C)院內感染Enterococcus spp. (D)Coxiella burnetii
60.八八水災造成屏東低窪地區嚴重淹水,十天後,該地區有位50歲男性發生急性高燒38.5°C 、頭痛、肌肉酸痛,週邊血白血球為17,000/µL,血小板120,000/µL,GOT:150 U/L及GPT:162 U/L,總膽紅素(total bilirubin):4.1 mg/dL;血清肌酸酐 (serum creatinine):3.2 mg/dL。下列何種抗生素為最適當之治療選擇? (A)amikacin (B)ciprofloxacin (C)crystal penicillin G (D)vancomycin
61.53歲男性,無既往病史。主訴在一海邊漁釣場釣魚時被魚鰭刺及右手掌,之後數週皮膚傷口逐漸惡化形成一 2公分直徑中央有 慢性潰瘍之圓形肉芽腫,帶有分泌物。經皮膚切片檢查,病理變化有肉芽腫(granuloma)、羋氏巨大細胞(Langhans’giant cells)、且有多量嗜酸性桿菌,而且檢體在分支桿菌培養只在 30°C 培養長出菌。下列何者是最可能致病菌? (A)Mycobacterium abscessus (B)Mycobacterium kansasii (C)Mycobacterium marinum (D)Mycobacterium ulcerans
62.使用warfarin後,雖一再增加劑量仍未能達到預期之抗凝血效果。下 列何種藥物最可能與此現象相關? (A)amiodarone (B)cimetidine (C)fluconazole (D)rifampin
63.承上題,上題答案藥物最可能經由何種機轉影響warfarin之作用? (A)改變胃中酸鹼值進而影響腸道吸收 (B)影響細胞色素(cytochrome)P450作用 (C)影響P醣蛋白(P glycoprotein)作用 (D)改變腎小管藥物排泄速率
64.下列那一個病例不符合所列之動脈血氣體分析和血清電解質的檢查結果[pH 7.49,PaO
2
90 mmHg,PaCO
2
43 mmHg, HCO
3
-
28;Na
+
139,K
+
3.0,Cl
-
89(電解質的單位是mmol/L)]? (A)甲:40歲女病人,最近半年發現高血壓;病人有時會下肢無力,血漿皮質醛固酮濃度為38 ng/dL(正常為10~25) (B)乙:37歲女病人,患有Sjögren's syndrome,腎臟超音波發現兩側腎臟的腎盂有鈣化跡象 (C)丙:30歲男病人因急性胰臟炎住院,給予鼻胃管引流,每天約引流出3000 mL (D)丁:22歲女病人長期服用thiazide diuretics減肥
65.承上題,檢查該病人尿液,發現氯離子濃度為10 mmol/L。何者最為符合此結果? (A)甲病人 (B)乙病人 (C)丙病人 (D)丁病人
66.依據2005年Starfield等人的研究報告,美國地區每10,000人口多增加一位家庭醫師,對死亡人數的影響為何? (A)每100,000人口增加700人死亡 (B)每100,000人口增加70人死亡 (C)每100,000人口減少70人死亡 (D)每100,000人口減少700人死亡
67.78歲男性因腦中風無法行動,住在長期照護機構,最近被發現其左後腳跟有一約1 cm之紅斑及瘀傷。下列有關處理此一壓瘡 (pressure ulcer)之敘述何者最適當? (A)進行全層皮膚移植(full-thickness skin graft) (B)進行擴創(debridement)並以優碘清洗 (C)以泡沫軟墊保護腳跟,避免進一步傷害 (D)將左腳抬高30度
68.55歲有糖尿病的徐女士於2週前接受乳房攝影檢查,今天回診除看糖尿病外,並且要看乳房攝影檢查的報告,報告上寫著 BIRADS category 0(0級),接下來給她何種建議? (A)建議她趕快去看乳房外科並幫忙預約乳房外科門診,以免疾病拖太久 (B)告訴她第4級及以上才是比較有惡性病變的可能,暫時觀察等明年再檢查就可以 (C)告訴她0級表示沒有腫瘤,可兩年再檢查一次即可 (D)告訴她0級表示不能排除有異狀,將為她安排乳房超音波檢查來協助進一步診斷
69.為了早期發現糖尿病腎臟病變,下列何者為最適合的篩檢項目? (A)肌胺酸酐 (B)尿素氮 (C)微蛋白尿 (D)尿液常規檢查
70.下列何者不屬於Berlin與Fowkes所發展出來的LEARN模式? (A)傾聽(listen) (B)解釋(explain) (C)支持(advocacy) (D)建議(recommend)
71.下列何者不包括在1986年渥太華健康促進宣言的健康促進五大行動綱領? (A)健康政策 (B)健康環境 (C)社區的參與 (D)媒體宣導
72.您面對此病人首先要做的事是: (A)插鼻胃管看有無胃出血 (B)量vital signs,打上點滴輸液 (C)趕快安排抽血檢驗血色素看有無貧血 (D)趕快打電話會診胃腸科醫師
73.承上題,病患理學檢查無蜘蛛斑(spider angioma)、肝掌斑(palmar erythema)、肝脾腫大(hepato-splenomegaly)及腹 水現象,腹部超音波於肝膽胰脾無異常發現,此病人最可能之診斷為: (A)食道靜脈曲張出血 (B)胃癌出血 (C)Mallory-Weiss症候群 (D)十二指腸潰瘍出血
74.關於過敏性支氣管肺麴黴菌病(allergic bronchopulmonary aspergillosis),下列何種影像學徵象最少見? (A)肺擴張不全(atelectasis) (B)支氣管囊腫(bronchocele) (C)肺實質化(consolidation) (D)明顯的肋膜積液 (pleural effusion)
75.您至隔壁病房協助一位猝死病患的急救,根據2010年心肺復甦術指引,下列何者錯誤? (A)若需檢查脈搏,不超過10秒鐘 (B)避免中斷胸部按壓,如有需要中斷,不超過10秒鐘 (C)使用進階呼吸道(advanced airway)裝置人工通氣(ventilation)時,成人每6至8秒吹氣一次,與胸部按壓同步 進行 (D)若需實施去顫電擊,在每次電擊後立即實施胸部按壓
76.下?何者藥物不會有引起急性尿滯留(acute urinary retention)的副作用? (A)α-腎上腺素作用劑(α- adrenergic agents) (B)抗組織胺(antihistamines) (C)治療鼻塞的感冒藥 (D)膽鹼作用劑(cholinergic agents)
77.這幾天天氣較冷,50歲女性,感覺喉嚨不舒服,她以為是小感冒不以為意,3天後喉嚨痛更厲害,頸部腫脹並有牙 關緊閉(trismus)的情況,而且呼吸有點困難合併有喘鳴音(stridor),病人最可能是下列何者診斷? (A)Ludwig's angina (B)Pharyngitis (C)Peritonsillar abscess (D)Parapharyngeal abscess
複選題
78.57歲女性病人有挑食的習慣,幾天沒解大便,腹脹不舒服去看門診,醫師說她是代謝方面引起的急性便秘,下列 何情況較不易引起急性便秘? (A)Hypothyroidism (B)Hypoadrenalism (C)Hypokalemia (D)Hypocalcemia
79.50歲的李先生糞便潛血呈現陽性反應,到家庭醫學科王醫師門診進行複診。醫師詳細說明大腸鏡與下消化道鋇劑攝影檢查的必 要性以及優缺點等,但李先生仍然無法決定是否接受該檢查或是選擇何種檢查,希望王醫師給予專業建議。此時,王醫師不僅 詳細的對病人說明,並將自己認為較好的價值與理念與病人分享,並提供選擇建議。請問王醫師與李先生的溝通,是屬於學者 Emanuel所提的那種「醫病關係」模式? (A)父權模式(paternalistic model) (B)資訊提供模式(informative model) (C)詮釋模式(interpretive model) (D)審議模式(deliberative model)
80.有關醫學研究,下列敘述何者錯誤? (A)醫學研究以促進醫學進展為第一考量,受試者權益次之 (B)即使醫師跟研究者是同一人,他在醫病關係中的醫師角色,和在研究者受試者關係中的研究角色是不同的 (C)凡以人類為受試者的醫學研究,都必須先經由獨立的倫理委員會審查及核可,始得進行 (D)以人類為受試者的醫學研究,必須要有合理的科學根據
申論題 (0)
相關試卷
115年 - 115 專技高考_醫師(二):醫學(三)(包括內科、家庭醫學科等科目及其相關臨床實例與醫學倫理)#137317
115年 · #137317
114年 - 114-2 專技高考_醫師(二):醫學(三)(包括內科、家庭醫學科等科目及其相關臨床實例與醫學倫理)#127920
114年 · #127920
114年 - 114-1 專技高考_醫師(二):醫學(三)(包括內科、家庭醫學科等科目及其相關臨床實例與醫學倫理)#125089
114年 · #125089
113年 - 113-2 專技高考_醫師(二):醫學(三)(包括內科、家庭醫學科等科目及其相關臨床實例與醫學倫理)#120658
113年 · #120658
113年 - 113-1 專技高考_醫師(二):醫學(三)(包括內科、家庭醫學科等科目及其相關臨床實例與醫學倫理)#118724
113年 · #118724
112年 - 112-2 專技高考_醫師(二):醫學(三)(包括內科、家庭醫學科等科目及其相關臨床實例與醫學倫理)#114972
112年 · #114972
112年 - 112-1 專技高考_醫師(二):醫學(三)(包括內科、家庭醫學科等科目及其相關臨床實例與醫學倫理)#113147
112年 · #113147
111年 - 111-2 專技高考_醫師(二):醫學(三)(包括內科、家庭醫學科等科目及其相關臨床實例與醫學倫理)#108729
111年 · #108729
111年 - 111-1 專技高考_醫師(二):醫學(三)(包括內科、家庭醫學科等科目及其相關臨床實例與醫學倫理)#106186
111年 · #106186
110年 - 110-2 專技高考_醫師(二):醫學(三)(包括內科、家庭醫學科等科目及其相關臨床實例與醫學倫理)#99914
110年 · #99914