阿摩線上測驗
登入
首頁
>
內科專科醫生
> 109年 - 109 內科專科醫師考試筆試題(1-50)#96629
109年 - 109 內科專科醫師考試筆試題(1-50)#96629
科目:
內科專科醫生 |
年份:
109年 |
選擇題數:
50 |
申論題數:
0
試卷資訊
所屬科目:
內科專科醫生
選擇題 (50)
1. 就疾病之預防及處置,請問下列個案的處置,何者是不當之舉? (A) 78歲老翁有心電圖呈現ST-T變化,病人血壓128/74 mmHg, 心跳74/min, 正常律動,尚無胸痛或心悸 等病狀,可做內科門診治療,不必立刻做經皮冠狀動脈介入治療(Percutaneous coronary intervention) (B) 32歲婦人每逢月經來臨都有心悶症狀,經冠狀動脈造影及超音波心圖都顯示正常結構及功能,為安 全起見仍應請每六個月回診追蹤 (C) 56歲男性公司經理人,有高血壓及高脂血。但為防治心血管病,應做風險評估,並在門診追蹤作生 活方式矯正(Lifestyle modification) (D) 48歲男性從商,胸悶經由理學檢查及實驗室檢查後,並無任何心血管疾病及風險,不必建議作全身 健康檢查 (E) 102歲老婦人30年前因高血壓到門診治療,五年前開始有體力不支、容易疲倦、未有胸悶、眩暈、呼 吸困難等症狀,經確診為二尖瓣閉鎖不全,使用藥物治療,症狀改善。應建議這位老婦人每6或12個 月回診評估,如有惡化,才建議住院做外科手術治療
2. 有位38歲林小姐因心悸及失眠多個月而求診,經身體檢查並無重大異常,唯有左胸骨下緣處有輕度(Gr
1-2/6)中期心縮雜音(Mid-systolic murmur),請問下列何組是確定診斷的必要處置?
(1) 心電圖(Electrocardiogram)
(2) 胸部X光(Chest X-ray)
(3) 超音波心圖(Echocardiogram)
(4) 心臟磁振造影(Cardiac MRI)
(5) Thallium 201 心肌灌注影像(Thallium 201 Perfusion Scan)
(6) 心臟專科會診(A) (1)+(2)+(3)(B) (2)+(4)+(6)(C) (1)+(3)+(5)(D) (4)+(5)+(6)(E) (1)+(2)+(5)
3. 心衰竭(Heart failure, HF)是臨床很重要的課題,可分成左心室射出比率低退心衰竭(Heart Failure reduced Ejection Fraction,HFrEF)及射出比率正常心衰竭(Heart Failure preserved Ejection Fraction,HFpEF) ,請 問下列何項的說法是不正確的? (A) 八十五歲以上老人約40%有各種不同程度的心衰竭 (B) 急性心衰竭病人的病況惡化多與原始病因轉劇有關,但不能忽視病人因其他慢性疾病誘發,用藥順從 性不佳或藥物交互作用導致 (C) 左心室HFrEF 約佔心衰竭的半數以上 (D) 左心室HFrEF,多見在女性、老年人特別合併有高血壓及糖尿病史者 (E) 左心室HFpEF 之死亡率遠比左心室HFrEF為低,但仍比同年齡的正常人為高
4. 隨著醫療環境及醫學的進步,有關感染性心內膜炎(Infective endocarditis,IE )的臨床實況有許多變化,請 問以下的說法何者是不正確的? (A) 隨風濕性心臟病盛行之減少,罹患IE的病人多偏向老齡化 (B) 心臟瓣膜病變產生的心內亂流(Turbulent flow) 與IE發生贅生物(Vegetation)的形成有關 (C) 二尖瓣脫垂及肥厚性心肌病都有發生IE的風險 (D) 全身性紅斑性狼瘡(Systemic lupus erythematosus, SLE)的消耗性贅物(Marantic vegetation)不具血管 營養, 可是一旦細菌附着感染,不易抗生素治好 (E) 46歲女性病人主訴感冒、發燒及輕度呼吸困難,有兩週之久,身體檢查有心臟雜音, 手掌有類似 的Osler node, 經採血一次,細菌培養有金黃色葡萄球細菌,按Duke criteria,本病例應可確診感染性 心內膜炎
5. 心室頻脈(Ventricular tachycardia, VT) 是威脅生命性心律不整(Life-threatening arrhythmia),有關其診斷 及治療的說法,下列何者不正確? (A) 有器質性心臟病(Organic heart disease)的持續性(Sustained)VT時,應置放心內去顫器(Intra-cardiac defibrillator) (B) 長期使用抗心律不整藥物可治療特發性心室快跳(Idiopathic VT),唯宜先採用導管燒灼術(Catheter ablation) (C) 有VT發作病人,一定有重度器質性心臟病 (D) 寬闊奇異狀QRS波(Wide,Bizarre QRS waves),融和跳(Fusion beat) 、捕捉跳(Capture beat) 及房室 跳解離 (A-V dissociation)是診斷VT的心電圖條件(Criteria) ,但僅只房室跳解離是唯一可靠的根據 (E) 隨著冠脈血管再通術之發達,ST波上昇型的急性心肌梗塞ST elevation acute myocardial infarction)併發VT多在急性冠心症一週內
6. 由於醫療科技的進步及臨床實例的經驗累積,下列有關肥厚性心肌病(Hypertrophic cardiomyopathy) 的臨 床特質,何項是不正確的說法? (A) 其在人口的盛行率是1/500;死亡率< 1% (B) 三分之一的年輕人猝死(sudden cardiac deaths) 是因肥厚性心肌病而起,且多見心室頻脈或心室纖維 顫動(Ventricular tachycardia or fibrillation) (C) 利用電氣生理及基因檢測已能預期其猝死之風險 (D) 運動後低血壓、心室中隔厚度>3cm、有眩暈病史或心室快跳之心電圖記錄,都是判定猝死風險的指 標 (E) Gadolinium磁振影像可顯示心肌纖維化(Fibrosis) 程度是嚴重心律不整之可靠預測指標
7. 病人58歲婦女,主訴運動性呼吸困難、體重一星期間從84公斤增加至87公斤,雙腳水腫有一週之久,步履難行,初步檢查呈現心臟擴大,乃前往醫學中心診療,在急診初步檢查Chest X-ray、心臟超音波和心電圖(如圖),旋即住院。病人七年前有左乳癌經切除手術,至今並未完全緩解。病人近五年來,有高血壓及糖尿病,都藥物治療中。生命徵象:T: 36.2°C,P:81/min,R:20/min,BP:150/84mmHg,Pain score:0。病史詢問及身體理學檢查,請問下列何組心血管病理學檢查(Cardiovascular approach),是您應該觀察標的? (1) 消沈的S1 and /or S2 (2) S3 and S4 (3) Pericardial friction (4) Mid-systolic murmur and pansystolic murmur (5) Kussmaul sign (6) Pulsating congestive liver
(A)(1)+(2)+(3)(B) (2)+(4)+(6)(C) (1)+(3)+(5)(D) (4)+(5)+(6)(E) (3)+(4)+(5)
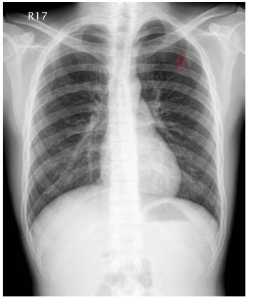
8. 86歲老太太因有二小時的胸悶前往醫院急診求治。病人在十年前因急性心肌梗塞而住院,在左前降支冠狀 動脈(Left anterior descending artery)置放冠狀動脈支架。病人尚有類風濕關節炎及老齡失智診斷。理學 檢查發現:BH:156 cm, BW:48 kg;BMI:19.7 kg/m²;T/P/R:36.2/66/22;BP:158/90 mmHg;在急診的其他檢驗尚無重大異常,其系列的生化檢驗、Chest X ray、心電圖如附圖:
(A) 高血壓性心臟病 (B) 左迴旋冠脈栓塞之Non-STE acute myocardial infarction (C) 左前降支冠脈栓塞之Non-STE acute myocardial infarction (D) 左前降支冠脈栓塞之STE acute myocardial infarction (E) 左迴旋冠脈栓塞之STE acute myocardial
9. 有關二尖瓣膜閉鎖不全(Mitral regurgitation, MR) 可分原始性及續發性(Primary and Secondary MR)兩 種,從諸多臨床實証,下列何者不是續發性MR的正確說法?(A) 左心室射出比率低退的心衰竭(Heart Failure reduced Ejection Fraction, HFrEF) 的病人大有75%的有 續發性MR (B) 續發性MR多肇因於二尖瓣環擴大(Mitral annular dilatation)及乳頭肌異常,影響二尖瓣閉合,外科復 原手術有良好治療成績 (C) 從臨床症狀之惡化及聽診異常之強度不可為MR的嚴重度參考 (D) 二尖瓣膜的病變不是決定續發性MR的關鍵因素 (E) 使用心臟再同步化治療(Cardiac resynchronization therapy) 改善左心室心肌失能,有助續發性MR的嚴重度
10. 依据2016年Taiwan Society of Cardiology有關非瓣膜性心房纖維顫動(Atrial fibrillation) 病人之預防腦中風 的治療指引,請問何種說法是錯誤的? (A) Aspirin對腦中風的預防是無療效 (B) 包括台灣在內的亞洲人,臨床實証發現以新式口服抗凝血藥物(New Oral Anti-Coagulants, NOACs) 比 Warfarin 對腦中風的預防更具療效 (C) 七十五歲老年人合併有中-重度慢性腎衰竭時,建議可使用低劑量NOAC,但若使用Warfarin,Time to therapeutic range > 70%時,可改用Warfarin (D) 就亞洲病人而言,使用低劑量NOACs 可作為如Warfarin一樣安全的治療選擇 (E) 亞洲病人使用Warfarin或NOAC都有較高腦中風、大出血及顱內出血的發生,是以建議含Aspirin 及 Clopidogrel的雙重抗血小板治療(Dual antiplatelet therapy, DAPT) 代替
11. 有關心肌炎(Myocarditis)的最近進展,下列何則是不正確的說法的? (A) 從人口推估,心肌炎的發生率約萬分之一至十萬分之一,但在年青猝死病人的病理解剖卻高達12% (B) 病理診斷心肌炎必須心肌無缺血性的細胞損傷、退化或壞死(Injury, degeneration or necrosis)及發炎 細胞侵潤變化,但真實的臨床世界裡,大部份心肌炎是臨床診斷,不是病理診斷 (C) 靜脈注射免疫球蛋白(Intravenous immunoglobulin, IVIG)對年青人的急性心肌炎有效,唯其結論有待 完整的臨床試驗的驗証 (D) 愛滋病毒及淋巴心肌炎都是預後嚴重的心肌炎 (E) 巨細胞心肌炎多見老年人,時以胸痛、心衰竭、惡性心律不整或傳導阻滯,有賴臨床警覺早期切片診 斷,盡早免疫治療有效,唯死亡率高,有賴心臟移植治療
12. 請問下列有關心因性休克(Cardiogenic shock)的說法,何者是不正確的? (A) 急性心肌梗塞的心因性休克發生率已因早期使用再灌注治療(Reperfusion therapy)而減少了5-10% (B) 有心因性休克的心肌梗塞病人以多條冠狀動脈病變為多,且約80%是以ST波段上昇心肌梗塞(ST elevation myocardial infarction )的心電圖表現 (C) 在臨床實證上,治療心因性休克以緊急外科冠脈繞道手術為宜 (D) 在諸多的大型臨床試驗,利用血管作用劑(Vasoactive agents) 如Norepinephrine, Dopamine, Dobutamine 治療心因性休克,無助預後之改善 (E) 使用主動脈內氣球幫浦(Intra-aortic balloon pump,IABP)治療心因性休克,在臨床試驗資料並不 顯示能改善死亡率
13. 高安氏血管炎(Takayasu arteritis),最常影響的血管為? (A) 腎動脈(renal artery) (B) 腹主動脈(abdominal aorta) (C) 鎖骨下動脈(subclavian artery) (D) 冠狀動脈(coronary artery) (E) 主動脈弓(aortic arch)
14. 有關章魚壺心肌症(Takotsubo cardiomyopathy)之描述,下列何者錯誤? (A) 臨床表現包括肺水腫,低血壓與典型心絞痛 (B) 心臟收縮功能異常可以在數天到數週後緩解 (C) 患者之心電圖常呈現典型心肌梗塞之變化 (D) 造成之因素常為強烈交感神經刺激或兒苯酚胺毒性(catecholamine toxicity) (E) 口服抗凝血劑是必要之藥物治療
15. 有關抗凝血劑的解藥(antidote)下列何者錯誤? (A) Heparin的antidote是protamine (B) Warfarin的antidote是vitamin K (C) Dabigatran的antidote是idarucizumab (D) Rivaroxaban的antidote是andexanet (E) Apixaban的antidote是idarucizumab
16. 有關肺動脈高壓的敘述,下列何者錯誤?
(A) 一氧化碳瀰漫量(Diffusing capacities of the lungs for carbon monoxide DLCO) 在肺動脈高壓患者會 下降 (B) 心臟超音波的影像(如附圖) (C) 在無睡眠呼吸障礙的肺動脈高壓患者,夜間缺氧(nocturnal desaturation)並不常見 (D) 肺動脈高壓患者均應接受抗核抗體 (antinuclear antibody),類風濕因子(rheumatoid factor),Scl 70抗體 (anti-scl-70 antibody)檢測 (E) 心音聽診時,第二心音肺動脈瓣成分會加重(accentuated P2)
17. 有關急性腎損傷(acute kidney injury)造成心臟衰竭之描述,下列何者錯誤? (A)急性腎損傷患者出院後,因心臟衰竭再住院風險明顯增加 (B)急性腎損傷患者出院後,因心血管疾病死亡或慢性心臟衰竭比率明顯增加 (C) 急性腎損傷重症患者,半乳糖凝集素-3 (galectin 3)與心肌傷害有相關 (D)在急性腎損傷時,用氨基末端腦鈉肽前體(NT-proBNP)可以診斷心臟衰竭的嚴重度(E)嗜中性白血球明膠相關性脂質運載蛋白(neutrophil gelatinase–associated lipocalin /NGAL)與急性腎 損傷造成之心肌纖維化有相關
18. 有關心臟理學檢查之描述,下列何者正確?
(1) 心房顫動時,聽診時不會出現第四心音(S4)
(2) 聽診時,第三心音(S3)在只在收縮功能異常之心臟衰竭患者出現,收縮功能正常之心臟衰竭患者不會出現
(3) Allen's test是用來偵測肱動脈(brachial artery) 血液循環
(4) 大流量之動靜脈廔管(arteriovenous fistula)可以造成非常低之舒張壓
(5) 在擴張性心肌病變患者,把脈時可以摸到雙峰脈波(bifid pulse)
(6) 主動脈瓣狹窄之收縮期雜音聽診區在胸骨右側第二肋間,心雜音會傳遞至頸動脈(A) (1)+(2)+(3)+(6)(B) (1)+(4)+(6)(C) (2)+(4)+(5)(D) (1)+(2)+(4)(E) (4)+(5)+(6)
19. 下列哪一個乙狀受體阻斷劑(beta-blocker),除了交感神經抑制外,還具備血管擴張功能(additional vasodilator actions) (A) Nebivolol (B) Atenolol (C) Metoprolol (D) Propranolol (E) Bisoprolol
20. 一位70歲女性,主訴昏厥病史,24 小時Holter ECG(如附圖),無症狀之心電圖為上圖,發生昏厥之心電圖為下圖。該心電圖之心臟節律正確診斷為?
(A) 第一度房室傳導阻斷 (B) 第二度第一型房室傳導阻斷(Mobitz I) (C) 第二度第二型房室傳導阻斷(Mobitz II) (D) 第三度房室傳導阻斷 (E) 病竇症候群
21. 有關心房顫動與低收縮分率心臟衰竭 (heart failure with reduced ejection fraction)之描述何者錯誤? (A) 心房顫動與低收縮分率心臟衰竭兩者合併發生時,會導致心臟衰竭患者預後不良 (B) 在中至重度低收縮分率心臟衰竭患者,使用dronedarone 不會導致死亡率增加 (C) 可以使用dofetilide來進行節律控制(rhythm control) (D) 可進行導管燒灼術(catheter ablation and pulmonary vein isolation) (E) 可以使用amiodarone來進行節律控制(rhythm control)
22. 有關感染性主動脈炎(infective aortitis)的描述,下列何者錯誤?
(1) 細菌感染性主動脈炎造成感染性動脈瘤(mycotic aneurysm)好發部為在infrarenal abdominal aorta
(2) 細菌感染性主動脈炎造成感染性動脈瘤好發於年輕人
(3) 細菌感染性主動脈炎造成感染性動脈瘤好發於男性
(4) 梅毒性主動脈炎(syphilitic aortitis) 好發於升主動脈(ascending aorta),尤其是主動脈根部(aortic root)
(5) 梅毒性主動脈炎會造成血管滋養管 (vasa vasorum) 的閉塞性動脈內膜炎( obliterative endarteritis) (A) (1)+(2)(B) (2)+(3)(C) (2)+(4)(D) (1)+(4)(E) (3)+(5)
23. 78歲老菸槍,COPD診斷已經好幾年,因為肺功能不佳及咳喘,長期使用吸入型氣管擴張劑。不幸的是左 上肺葉發現一顆腫瘤,切片證實是鱗狀細胞癌,沒有淋巴結及遠端轉移,外科醫師想要開刀切除,你會建 議哪種檢查來評估術後的肺功能? (A) 電腦斷層 (B) 核磁共振 (C) 支氣管鏡 (D) 肺臟血流灌注掃描 (E) 胸部超音波
24. 年輕女性在健檢時胸部 X-ray 有疑似腫瘤的陰影,於是來到大醫院門診進一步檢查。她聽朋友說核磁共振 檢查比較昂貴、比較精密,於是要求安排胸部核磁共振檢查,下列何者說明是不合理的? (A) 核磁共振對於肺臟的解析度比電腦斷層佳,可以用來檢測肺腫瘤 (B) 電腦斷層在肺臟的解析度比核磁共振好 (C) 對於胸腔入口腫瘤(pancoast tumor)核磁共振有較佳的解析度 (D) 肺動靜脈畸型,核磁共振能提供足夠的訊息 (E) 脊椎或神經根的侵犯,核磁共振的解析度比電腦斷層佳
25. 下列敘述何者錯誤? (A) 支氣管鏡搭配支氣管超音波幅射型微小探頭檢查可以取得肺周邊的腫瘤組織,診斷準確率依操作者的 經驗有所不同 (B) 胸部超音波檢查可以評估肺門附近的病變 (C) 縱膈腔淋巴結取樣檢查,縱膈腔鏡仍然是標準方式 (D) 肋膜腔鏡可以用來評估肋膜病變,不需要進開刀房全身麻醉 (E) 早期的氣管黏膜病變可以用螢光支氣管鏡檢測
26. 59歲男性因為久咳不癒、大量的黃痰來門診就診。胸部X光有 Tram tracks sign,回顧病史,他有慢性鼻 竇炎,反覆發作,結婚數十年膝下無子,下列診斷何者最有可能? (A) 囊性纖維化(cystic fibrosis) (B) 肺氣腫(emphysema) (C) 氣喘(asthma) (D) 支氣管擴張,纖毛運動障礙症候群(dyskinetic cilia syndrome (E) 非結核分枝桿菌(NTM)感染
27. 下列疾病的肺功能表現何者為非? (A) 肥胖:胸壁異常導致通氣受限(ventilatory restriction) (B) 重症肌無力:呼吸肌無力導致通氣受限(ventilatory restriction) (C) 特發性肺纖維化(idiopathic pulmonary fibrosis):肺泡壁變厚、回彈力(elastic recoil)增加導致氣 流阻塞 (D) 氣喘發作:氣道直徑減小導致氣流阻塞 (E) 嚴重肺氣腫(emphysema)肺泡壁破壞、回彈力下降導致氣流阻塞
28. 關於結核病藥物副作用的處理原則,下列哪些敘述是正確的?
(1) 血中尿酸增高時,同時服用allopurinol,降尿酸效果通常很顯著
(2) 因嚴重皮膚副作用而中斷治療者,待副作用消失後,應考慮由低劑量至高劑量逐一加入抗結核藥物
(3) 嚴重副作用時,例如肝炎、嚴重視力模糊、嚴重血球降低、嚴重皮膚副作用時,應同時停止所有抗結
核藥物治療
(4) 腸胃不適、皮疹、搔癢、關節痠痛等副作用,通常在服用抗結核藥物兩周後會自然減輕。因此,若症
狀不嚴重,應給予病人適當衛教、心理治療,必要時給予藥物症狀治療即可(A) (1)+(2)+(3)+(4)(B) (1)+(2)+(3)(C) (1)+(2)+(4)(D) (1)+(3)+(4)(E) (2)+(3)+(4)
29. 54歲男性有高血壓及糖尿病史,日前與國外回來的朋友聊天喝咖啡,數日後因為呼吸道症狀合併發燒,來醫院急診。胸部X -ray 顯示兩側肺浸潤(毛玻璃狀為主),血氧飽和度<90%,立刻被送進加護病房隔離。24小時內,肺浸潤變嚴重,接受氣管插管及開始呼吸器使用。下列處置何者對於病人有幫助?
(1) 為確保足夠血氧濃度,呼吸器潮氣容積要10 ml/kg 以上
(2) 呼吸器吐氣末期正壓(PEEP)愈低越好
(3) 俯臥通氣(Prone Positioning)可以降低氧氣需求量
(4) 給予鎮靜及神經肌肉阻斷劑
(5) 水分限制(fluid restriction)(A) (1)+(2)+(3)+(4)+(5)(B) (2)+(3)+(4)+(5)(C) (3)+(4)+(5)(D) (1)+(3)+(4)+(5)(E) (1)+(2)+(3)
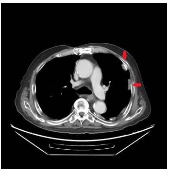
30. 72歲海軍退休輪機士官長,長年在軍艦輪機房工作。最近因為喘,在門診就診,胸部X光異常,於是接受胸部電腦斷層檢查如附圖,下列何者敘述為是?
(1) 電腦斷層顯示為胸膜斑(pleural plaques)
(2) 與工作環境息息相關
(3) 不會引起肺癌
(4) 與胸腔間皮瘤高度相關
(5) 抽煙對於癌症的發生率不會有加成效果
(A) (1)+(2)+(3)(B) (2)+(3)+(4)(C) (3)+(4)+(5)(D) (1)+(2)+(4)(E) (1)+(2)+(5)
31. 40歲男性因為嗜睡、注意力無法集中,朋友建議他來睡眠呼吸暫停(sleep apnea)門診。身體檢 查BMI>30,脖子短,下巴內縮,似乎為典型obstractive sleep apnea/ Hypopnea syndrome(OSAHS)的病人。下列何者為非?(A) OSAHS常合併其他慢性疾病,例如:心血管疾病、高血壓、糖尿病等 (B) 可以從症狀及病史來診斷 (C) 得到OSAHS的病人容易英年早逝 (D) 病人因睡眠品質不佳,長期缺氧,容易造成神經功能的退化 (E) 持續氣道正壓呼吸器治療是目前的主流
32. 18歲男性無特殊疾病,某天在打籃球時突然胸痛、胸悶來到急診。胸部X光如附圖,下列何者為是:
(A) 好發年輕男性身材矮胖 (B) 常是慢性肺部疾病引起 (C) 治療首選是開刀 (D) 與抽菸關係密切 (E) 治療成功後幾乎不會復發
33. 72歲男性老煙槍一天兩包菸至少30年,有糖尿病、高血壓,接受口服藥物治療,但順從性不佳。慢性阻 塞性肺病已有10年歷史,雖然使用吸入型長效型乙二型交感神經刺激劑(LABA)及長效型抗膽鹼 劑(LAMA),但常常因為肺炎合併慢性阻塞性肺病急性惡化住院。最近新英格蘭雜誌發表一篇大型研 究,認為加上吸入型類固醇可以減少惡化次數,下列何者為是: (A) 吸入型類固醇會增加肺炎機會,不適合此位病人 (B) 低劑量類固醇對於降低急性發作更有幫助,應該使用低劑量吸入型類固醇 (C) 因為糖尿病控制不佳,使用低劑量吸入型類固醇即可 (D) 使用高劑量吸入型類固醇及長效型乙二型交感神經刺激劑效果最佳 (E) 使用高劑量吸入型類固醇及長效型抗膽鹼劑最好
34. 71歲男性有吸煙史,一天一包30年,戒了20年。最近因為走路會喘、咳嗽加重來到門診。肺功能檢查顯 示侷限性肺功能缺損(restrictive deficit),胸部X光高度懷疑肺纖維化。下列何者為非? (A) 胸部電腦斷層是必要的檢查 (B) 必須排除結締組織疾病(connective tissue disease)造成的肺纖維化 (C) 切片檢查是必要的,即使是特發性肺纖維化也必須切片證實 (D) 特發性肺纖維化,目前已有抗纖維化療法(pirfenidone 及nintedanib) (E) 免疫抑制可能會增加死亡率
35. 非侵襲性呼吸器(noninvasive ventilator, NIV)不適合用於下列哪些病人?
(1) 慢性阻塞性肺病急性發作合併二氧化碳蓄積
(2) 神經肌肉疾病所導致的慢性呼吸衰竭
(3) 意識不清無法合作
(4) 心肌梗塞合併肺水腫
(5) 休克的病人(A) (1)+(2)+(3)+(4)+(5)(B) (1)+(3)+(4)+(5)(C) (2)+(3)+(4)(D) (1)+(3)+(4)(E) (3)+(4)+(5)
36. 慢性阻塞性肺疾病COPD(Chronic Obstructive Pulmonary Disease)患者在下列哪些情況會可考慮加上吸
入性類固醇(inhaled glucocorticoid)的治療?
(1) 當患者同時有氣喘(asthma)之病史
(2) 當患者一年內有兩次或以上慢性阻塞性肺疾病急性發作之病史
(3) 當患者一年內有一次或以上慢性阻塞性肺疾病急性發作需要住院之病史
(4) 血液嗜酸性白血球計算(eosinophil count)大於150/mm3
(5) 當患者不適合使用長效型支氣管擴張劑時可單獨使用(A) (1)+(2)+(4)(B) (1)+(3)+(4)(C) (1)+(2)+(3)+(4)(D) (1)+(2)+(3)+(5)(E) (1)+(2)+(3)+(4)+(5)
37. 王先生40歲有氣喘(asthma)病史,平時不規則使用吸入型類固醇(inhaled corticosteroid, ICS)。最近夜咳以及夜間喘鳴(wheezes)狀況加劇,於是來到急診就醫,血氧飽和度(SpO2)96%(無使用氧氣),身體診查發現肺部有瀰漫性喘鳴聲(diffuse wheezes),尖端呼氣流量(peak expiratory flow rate, PEFR)為預測值的50%,可考慮給予下列哪些處置?
(1) 吸入型短效乙二型交感神經刺激劑 (short-acting β2 agonist, SABA)
(2) 吸入型短效抗膽鹼藥物(short-acting muscuarinic antagonist,SAMA)
(3) 全身性類固醇 (systemic corticosteroids)
(4) 硫酸鎂注射液 (magnesium sulfate)
(5) Azithromycin(A) (1)+(2)(B) (1)+(2)+(3)(C) (1)+(3)+(4)(D) (1)+(2)+(3)+(4)(E) (1)+(2)+(3)+(4)+(5)
38. 有關氣喘(asthma)之治療,下列何者錯誤? (A) 輕度氣喘的病患The Global initiative against asthma (GINA) 2020 不再建議單獨使用吸入型短效乙二 型交感神經刺激劑 (short-acting β2 agonist, SABA)作為控制藥物(controller),需要使用SABA時建議 與低劑量吸入型類固醇(inhaled corticosteroid, ICS)並用 (B) 長效型抗膽鹼劑(long-acting muscarinic antagonists; LAMA)於中重度氣喘的控制沒有角色 (C) 白三烯素拮抗劑(leukotriene receptor antagonist)在控制氣喘效果與預防急性發作上較吸入型類固 醇(inhaled corticosteroid, ICS)差 (D) 輕度氣喘的病患可於有症狀時間歇性使用budesonide-formoterol (E) 吸入型類固醇(inhaled corticosteroid, ICS)與吸入型長效乙二型交感神經刺激劑 (long-acting β2 agonist, SABA)併用較單獨使用吸入型類固醇於中度氣喘患者可達到較快速的症狀改善
39. 體外生命支持(Extracorporeal life support, ECLS)使用在呼吸衰竭病患可以達到的效果,以下何者錯誤? (A) 改善低血氧(hypoxemia) (B) 改善高碳酸血症(hypercapnia) (C) 減少呼吸器導致肺損傷(ventilator-induced lung injury, VILI) (D) 減少橫膈膜損傷(diaphragm myotrauma) (E) 減少泛發性血管內血液凝固症(disseminated intravascular coagulation,DIC)的機會
40. 65歲男性有高血壓、糖尿病病史。因為發燒,咳嗽有黃痰來到急診。在急診時意識清楚,血壓120/80 mmHg,心跳速率100/min,體溫38.8°C,呼吸速率26/min,血氧飽和度(SpO2)95%(無使用氧氣),身體 診查發現右下肺野有粗爆裂音(coarse crackles)。胸部X光顯示右下肺葉浸潤,無明顯肋膜積水。以下處 置何者錯誤? (A) 可考慮給予口服抗生素門診治療 (B) 流行性感冒流行季節應進行流感檢測 (C) 可考慮單獨給予azithromycin或clarithromycin (D) 可考慮給予Amoxicillin-clavulanate加上macrolide (E) 可考慮單獨給予respiratory fluoroquinolone
41. 下列何者不是進展成為嚴重新型冠狀肺炎(severe coronavirus disease 2019,Covid-19)的危險因子? (A) 年齡小於65歲 (B) 慢性肺疾病 (C) 糖尿病 (D) 肥胖 (E) 末期腎病(End Stage Renal Disease, ESRD)
42. 下列造成濾出性肋膜積水(Transudative pleural effusion) 之病因,何者根據Light's criteria最常被誤判為滲 出液(Exudate)? (A) 鬱血性心臟衰竭(Congestive heart failure)患者使用利尿劑治療 (B) 肝硬化(cirrhosis) (C) 腎病症候群(nephrotic syndrome) (D) 低白蛋白血症(hypoalbuminemia) (E) 肺塌陷(atelectasis)
43. 50歲男性因為發燒,咳嗽有黃痰伴隨左側胸痛來到急診。在急診時意識清楚,血壓130/70 mmHg,心跳 速率110/min,體溫39°C,呼吸速率28/min,血氧飽和度(SpO2)95%(無使用氧氣),身體診查發現左下肺 野有粗爆裂音(coarse crackles)且呼吸音減少。胸部X光顯示左下肺葉浸潤,同時有肋膜積水。下列敘述 何者錯誤? (A) 抽出的肋膜積液在革蘭氏染色(Gram stain)下看到細菌就可診斷為膿胸 (B) 胸腔超音波是評估肋膜積液是否有隔間(septations)最佳的工具 (C) 若感染性肋膜積液有隔間(septations),及早進行影像輔助胸腔鏡手術(Video-Assisted Thoracoscopic Surgery ,VATS)可減少手術併發症 (D) 若抽出的肋膜積液為膿(frank pus),使用胸管引流加上tissue plasminogen activator (t-PA)以 及DNase比上單純胸管引流可降低死亡率 (E) 如果病患不適合開刀,引流膿胸使用14-French胸管(chest tube)或豬尾導管(pigtail catheter)即可
44. 下列何種狀況於晚期發小細胞肺癌第一線治療適合單一使用pembrolizumab注射? (A) EGFR mutations (B) ALK gene rearrangements (C) 病患有控制不佳的自體免疫疾病 (D) PD-L1 tumor proportion score less than 1% (E) PD-L1 tumor proportion score of 50% or greater
45. 病人因感到倦怠而就醫,其抽血檢驗如下:AST=70 (<31) U/L,ALT=35 (<41) U/L,ALP (Alkaline phosphatase)=105 (<104) U/L。下列病況何者不能解釋其結果? (A) 溶血 (hemolysis) (B) 心肌梗塞 (myocardial infarction) (C) 重訓 (heavy muscle exercise) (D) 酗酒 (alcoholism) (E) 健康的B型肝炎病毒慢性感染者(健康帶原者)
46. 病人因上腹疼痛一天被送至急診室,抽血檢驗 Amylase上升至1000 U/L。住院第三天,血清 amylase 降至正常。下列敘述何者正確?
(1) 檢測血清 triglyceride 濃度可能 >1000 mg/dL
(2) 要釐清有無膽結石
(3) 身體診察可能有Obturator sign
(4) 住院後24小時需注意 serum Creatinie level
(5) 需排除 perforated peptic ulcer
(6) 需排除 mesenteric vascular occlusion
(7) 每天做腹部超音波檢查是最佳判斷 severity 之方式(A) (2)+(3)+(4)+(7)(B) (3)+(4)+(5)+(6)(C) (1)+(2)+(4)+(5)+(7)(D) (1)+(3)+(5)+(6)(E) (1)+(2)+(4)+(5)+(6)
47. 病人最近因關節炎而需服用NSAID (Non-steroidal Anti-inflammatory Drug)。某天半夜突然感到劇烈的胸 骨後疼痛而醒來。關於這個病人的病情,下列敘述何者錯誤? (A) Anti-secretory drugs 常被用來加速病情之改善 (B) 服藥後要喝足夠的水且避免於 30 分鐘內躺平睡覺 (C) 最容易發生於食道中段 (D) 服用 potassium chloride 及 quinidine 亦可能造成類似病情 (E) 此種病情僅會持續幾天,且不會有後遺症
48. 一個病人被診斷肝硬化已有三年,最近肚子逐漸鼓漲,就醫時醫師在身體診察其腹部時發現有shifting dullness。下列敘述何者錯誤?(A) 應儘可能安排上消化道內視鏡檢查 (B) 血液檢驗很可能發現 thrombocytosis (C) 病人每日所食用的鈉應低於 2 gm (D) 必要時需開立 spironolactone +/- furosemide (E) 要檢測其血清 Albumin 濃度
49. 有關C型肝炎之治療,下列敘述何者錯誤? (A) 肝功能失代償之患者,不能服用含 Protease Inhibitor (PI) 類之藥物 (B) eGFR < 15 之末期腎病患者,不宜服用含NS5B 抑制劑之藥物 (C) 目前台灣健保給付規範,祇要病人血中測到C肝病毒,即可接受 Direct Acting Antivirals (DAAs) 之治 療 (D) 目前 DAAs 之療程,多在12~24週 (E) 台灣過去兩年使用 DAAs 治療C肝病人,只要病情尚佳(無肝硬化或僅有代償性肝硬化),其 SVR12 ( sustained virologic response at 12 weeks after end of treatment) 機率高達 98%。
50. 關於肝細胞癌 (hepatocellular carcinoma, HCC) 之下列各項敘述,何者正確?
(1) 在台灣,B型肝炎病毒和C型肝炎病毒是引發 HCC 的主要危險因子
(2) 新生兒全面B型肝炎疫苗接種,已明顯降低 HCC 之發生率
(3) 慢性C型肝炎患者體內之C肝病毒被口服抗C肝病毒藥物 (Direct Acting Antirivrals) 根除之後,HCC 之發生率已明顯降低
(4) Statins 及 Metformin 已被證實可降低 HCC 之發生率
(5) 直徑大於 2 公分之 HCC,在 contrast-enhanced computed tomography (CECT) 中呈現典型的表
現,即可確診,不需做切片檢查
(6) BCLC (Barcelona-Clinic-Liver-Cancer) staging system 0期者,以 RFA ( Radiofrequency Ablation) 治
療的成功率與開刀切除差不多(A) (1)+(2)+(3)+(4)(B) (1)+(2)+(4)+(5)(C) (2)+(4)+(5)+(6)(D) (3)+(4)+(5)+(6)(E) (1)+(2)+(5)+(6)
申論題 (0)
相關試卷
114年 - 114 內科專科醫師甄審試卷 101-160#137316
114年 · #137316
114年 - 114 內科專科醫師甄審試卷 51-100#137314
114年 · #137314
114年 - 114 內科專科醫師甄審試卷 1-50#137312
114年 · #137312
113年 - 113 內科專科醫師甄審試卷 51-100#125434
113年 · #125434
113年 - 113 內科專科醫師甄審試卷 101-160#125433
113年 · #125433
113年 - 113 內科專科醫師甄審試卷 1-50#125431
113年 · #125431
112年 - 112 內科專科醫師甄審101-160#118938
112年 · #118938
112年 - 112 內科專科醫師甄審1-50#118936
112年 · #118936
112年 - 112年內科專科醫師甄審51-100#118935
112年 · #118935
111年 - 111 內科專科醫師甄審試題101-160#115089
111年 · #115089