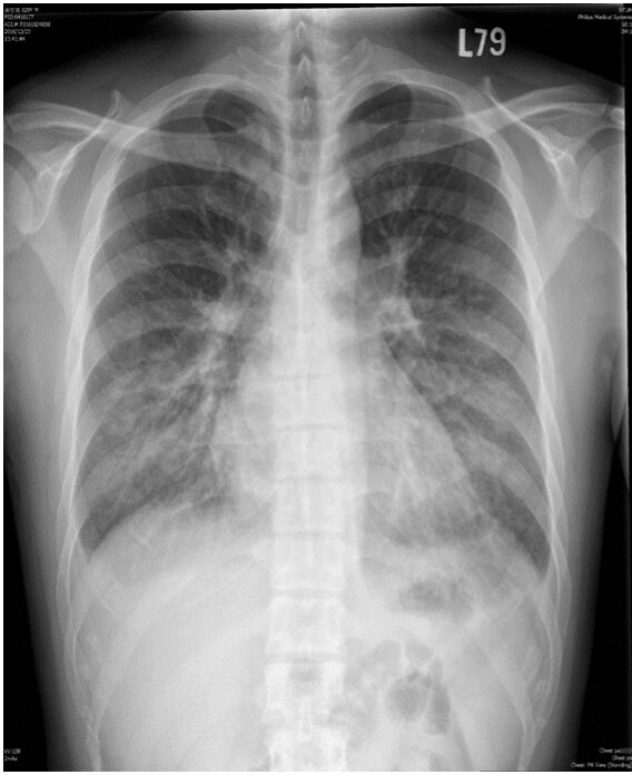
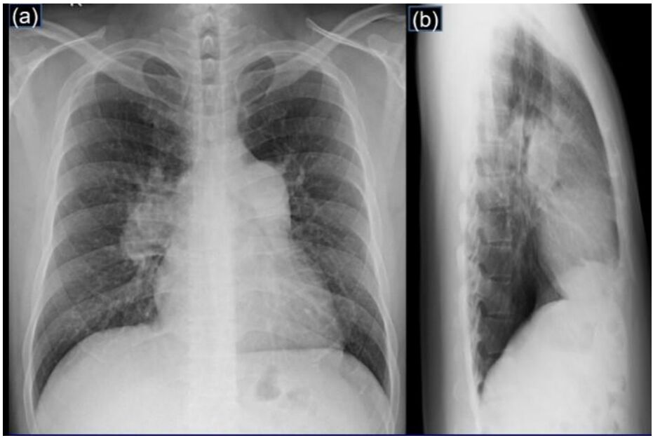
4. 病人是位29歲男性電子工程師派駐中國深圳,三個星期來,時有間歇性發燒及逐漸性呼吸困難,先在深圳 門診求醫,初以為一般感冒治療,後以支氣管炎診斷治療罔效,乃急回台灣求醫。經檢查,意識: E4M6V5; BP: 122/75 mmHg; PR: 116/min; RR: 21/min; Temperature: 37.6℃; SPO2: 94%(room air) 頸靜脈不怒張,未有貧血,胸部呈現瀰漫性濁音,心臟擴大,有Grade III/VI Diastolic murmurs at left upper sternal border,無肝脾腫大,無腹水。皮膚未有紅腫或出血斑點。2016/12/23心電圖及胸部X光如 圖。其血液、尿液及生化如次:Hemograms: WBC, 13.54(k/uL); RBC, 4.74(M/uL); Hb, 13.0 (gm%); HCT,40.2(%); MCV, 84.8 (fL); MCH,27.4(pg); Platelet,329 (k/uL); Seg, 81.5(%); Eos, 0.2(%)。尿檢: 正常。請 問這位年青病人的最可能診斷是:


(A) Acute heart failure with lungs infection。 (B) Acute pericarditis。 (C) Acute viral myocarditis。 (D) Acute infective endocarditis。 (E) Acute pulmonary thromboembolism。