阿摩線上測驗
登入
首頁
>
醫學六:80題 ( 包括麻醉科,眼科,耳鼻喉科,婦產科,復健科等科目及其及相關臨床實例與醫學倫理 )
> 99年 - 99-2 專技高考_醫學(二):醫學(六)(包括麻醉科、眼科、耳鼻喉科、婦產科、復健科等科目及其相關臨床實例與醫學倫理)#36864
99年 - 99-2 專技高考_醫學(二):醫學(六)(包括麻醉科、眼科、耳鼻喉科、婦產科、復健科等科目及其相關臨床實例與醫學倫理)#36864
科目:
醫學六:80題 ( 包括麻醉科,眼科,耳鼻喉科,婦產科,復健科等科目及其及相關臨床實例與醫學倫理 ) |
年份:
99年 |
選擇題數:
80 |
申論題數:
0
試卷資訊
所屬科目:
醫學六:80題 ( 包括麻醉科,眼科,耳鼻喉科,婦產科,復健科等科目及其及相關臨床實例與醫學倫理 )
選擇題 (80)
1 一位 68 歲男性,有 10 年高血壓病史,日常服藥,血壓控制良好,無其他過去病史。昨日於家中不慎 跌倒,造成腿部股骨骨折(femoral fracture),無其他外傷。經骨科醫師診治認為需要進行內固定手術 治療。依據美國麻醉醫師學會(American Society of Anesthesiologists; ASA)的麻醉風險分類系統, 此病患之手術前的生理狀況屬於那一等級? (A) I (B) II (C) III (D) IV
2 一位 17 歲女性病患須緊急接受頜下膿瘍(submandibular abscess)引流手術,在進行麻醉前須評估此 病患的呼吸道狀況,下列敘述何者錯誤? (A)麻醉醫師決定適當插氣管內管技術前,須仔細評估病患呼吸道過去病史,並詳細檢查病患之頭頸部 (B)若病患之前有處理呼吸道問題的紀錄,應儘可能調閱並仔細看過 (C)執行全身麻醉直接使用喉頭鏡,做口內氣管內管插管,可能會有無法放置的危險 (D)若病患顎關節活動度受到限制,在給予肌肉鬆弛劑後,顎關節活動度可以達到完全的鬆弛,不會 有任何的限制
3 一位 30 歲之健康男性欲進行左手腕韌帶修補手術,以臂神經叢阻斷術進行麻醉,在完成局部麻醉藥 的注射後,病人開始覺得頭暈、嘴麻,並抱怨眼睛看不清楚,隨後出現全身抽筋的現象。請問在這 種狀況下,何者為最不適當之處置? (A)維持呼吸道通暢並輔助通氣(assist ventilation) (B)給予 benzodiazepine (C)給予氧氣 (D)給予類固醇類抗發炎藥物
4 心臟冠狀動脈疾病手術麻醉處理的原則,下列何者錯誤? (A)增加收縮壓會增加心臟耗氧量 (B)心跳增加會增加心臟耗氧量 (C)心臟冠狀動脈血液灌流最佳時期是舒張期 (D)增加左心室壁舒張末期壓力,有利於增加冠狀動脈血流量
5 下列麻醉藥物中何者會同時增加血壓(arterial blood pressure)、心跳速率(heart rate)和心輸出量 (cardiac output),而與其他麻醉藥物明顯不同? (A) Ketamine (B) Midazolam (C) Propofol (D) Thiopental
6 關於癌症病人之疼痛治療,下列何者正確? (A) Morphine 劑量每日不得超過 200 mg 以防止呼吸抑制 (B)止痛劑之使用僅限於嚴重疼痛病患(severe pain) (C) Morphine 之最常見副作用為下痢(diarrhea) (D)止痛劑使用應按時給藥(around the clock)
7 下列有關於 ketamine 的敘述何者錯誤? (A)會增加顱內壓,並提高腦部耗氧量 (B)適用於氣喘患者的麻醉 (C)具有止痛效果 (D)可減少心肌耗氧量,故適用於冠狀動脈阻塞病人
8 一位 59 歲病患欲接受左腎病變切除手術,病人有高血壓病史,手術前之血壓為 180/110 mmHg,下列敘述 何者錯誤? (A)此病患血壓偏高,應先以藥物控制血壓,以減少術中併發症 (B)此病患術中血壓有可能出現高血壓或低血壓而不易控制 (C)術前病房護理人員告知需要禁食,故病患未口服平日之降血壓藥物,對術中血壓不會有影響 (D)術中麻醉醫師應積極以藥物處理,以讓病患之血壓儘量保持在適當範圍
9 若病人有上腹腔內嚴重的癌症疼痛,較適合採取下列何種方式來治療? (A) Celiac plexus block (B) Stellate ganglion block (C) Lumbar sympathetic block (D) Hypogastric plexus block
10 下列何者不是門診檢查視網膜的主要方法? (A)間接眼底鏡檢(indirect ophthalmoscopy) (B)直接眼底鏡檢(direct ophthalmoscopy) (C)間接細隙燈鏡檢(indirect slit-lamp biomicroscopy) (D)視網膜鏡檢(retinoscopy)
11 下列有關弱視(amblyopia)的敘述,何者較為正確? (A)弱視的原因很多是先天的,所以弱視會遺傳,無法防治 (B)有間歇性外斜視的小朋友,若不趕快接受開刀,就會產生弱視 (C)兩眼不等視或散光造成的弱視,超過 3、4 歲,就無法治療 (D)遠視引起的內斜視,儘早戴眼鏡矯正,弱視也可能治好
複選題
12 下列何種周邊視網膜變性與視網膜剝離關係最密切? (A)囊狀視網膜變性(cystoid degeneration) (B)格子狀變性(lattice degeneration) (C)萎縮性視網膜裂孔(atrophic retinal hole) (D)卵石狀視網膜變性(paving stone degeneration)
13 有關結膜的乳頭狀瘤(papilloma),下列敘述何者正確? (A)不具有傳染性 (B)極容易轉變為惡性腫瘤 (C)致病機轉與紫外線照射有關 (D)致病機轉與感染 human papillomavirus 有關
14 下列有關增殖型糖尿病視網膜病變(proliferative diabetic retinopathy, PDR)之敘述,何者錯誤? (A)增殖型視網膜病變主要發生於視網膜下腔(subretinal space) (B)視網膜新生血管(neovascularization)是此病變之特徵 (C)可造成玻璃體出血(vitreous hemorrhage) (D)可導致牽引型視網膜剝離(tractional retinal detachment)
15 下列何者不是風濕性關節炎常見之眼部併發症? (A)非感染性之角膜潰瘍 (B)結膜淋巴瘤 (C)乾眼症 (D)鞏膜炎
16 有關先天性青光眼之描述,下列敘述何者錯誤? (A)早期的症狀為怕光、流淚 (B)角膜水腫是由於 Bowman’s membrane 破裂所引起的 (C) 2 歲以前發病時,角膜會變大 (D)藥物控制不易有良好的效果,故需以小樑切開術(trabeculotomy)開刀治療
17 下列有關「急性淚囊炎(acute dacryocystitis)」的敘述,何者錯誤? (A)可能因鼻淚管阻塞而引起 (B)致病菌大多是細菌 (C)應儘早施行淚囊灌洗術及淚囊探針術 (D)單純使用局部抗生素的效果有限
18①胸部
X
光②頸部
X
光③頭頸部電腦斷層④軟式喉氣管內視鏡 (A)②③ (B)①③(C)①②(D)③④
19 承上題,該患童經急診緊急給予氧氣、點滴及適當檢查後,發現呼吸狀況較為穩定,喘鳴(stridor)較 小,右側肺部聽診呼吸聲較左側為小,胸部 X 光顯示右下肺塌陷,根據您的臨床判斷,請問最可能 之診斷為何? (A)哮吼(croup) (B)右側支氣管肺炎(right bronchopneumonia) (C)右側支氣管異物(right bronchus foreign body) (D)自發性氣胸(spontaneous pneumothorax)
20 急性額竇炎時,頭痛的位置常見於那一部位? (A)顳骨部 (B)眼球深部 (C)眼上方處 (D)後枕部
21 有關第二鰓裂瘻管(second branchial fistula)之敘述,下列何者正確? (A)此瘻管有一端開口在胸鎖乳突肌之前緣 (B)此瘻管在第九對與十二對顱神經間穿過 (C)此瘻管有一端開口在喉部 (D)此瘻管在內頸動脈後方穿過
22 下列何者是外耳道黴菌感染最常見之致病菌種? (A) Aspergillus 及 Candida (B) Mucormycosis (C) Actinomycosis (D) Blastomycosis
23 下列何者是最適宜檢測急性上頜竇炎的 X 光片? (A) Skull lateral view (B) Waters view (C) Caldwell view (D) Submental vertical view
24 鼻部之副交感神經纖維之細胞體位於那一部位? (A)耳神經節 (B)蝶腭神經節 (C)下頜神經節 (D)膝狀神經節
25 聲音由空氣傳經人體鼓膜、聽小骨至內耳,依耳膜與鐙骨足板面積之比例,聲音增加了幾分貝? (A) 3~5 (B) 15~18 (C) 10~13 (D) 23~25
26 下列何疫苗在懷孕中期是不能施打的(contraindication)? (A)破傷風(tetanus) (B)傷寒(thyphoid) (C) B 型肝炎(hepatitis B) (D)腮腺炎(mumps)
27 下列何者為 endothelin-1 對於子宮肌肉細胞(myometrial cells)主要的作用機轉? (A)減少細胞內鉀離子濃度 (B)減少細胞內鈣離子濃度 (C)增加細胞內鉀離子濃度 (D)增加細胞內鈣離子濃度
28 懷孕期攝取過量維生素 A 與下列那種胎兒異常可能有關? (A)盲眼(blindness) (B)先天性心臟傳導異常(congenital heart block) (C)肢體異常(limb malformations) (D)癲癇(seizures)
29 待產中的足月妊娠孕婦接受骨盆腔檢查,發現此孕婦的骨盆形狀為卵圓形,且骨盆腔入口(pelvic inlet)處之骨盆腔前後徑比左右徑來得寬,同時胎兒的胎頭呈現枕後方位(occipital posterior),這 名孕婦的骨盆腔可能是那一種類? (A) Gynecoid pelvis (B) Android pelvis (C) Platypelloid pelvis (D) Anthropoid pelvis
30 您在李醫師的門診跟診時,有一位懷孕 36 週的產婦向您詢問有關 B 型鏈球菌(group B Streptococcus) 培養的事項,下列有關 B 型鏈球菌的敘述,何者較正確? (A)一般產婦的陰道和直腸內很少存在此菌 (B)上一胎 B 型鏈球菌培養為陽性者,此胎也是高危險群,需直接給予預防性抗生素 (C)針對 penicillin 高度過敏(anaphylaxis)可能者,一般建議於產程開始時,直接給予 clindamycin 900 mg IV 作為預防性抗生素 (D)懷孕 37 週前生產的孕婦並不需要特別給予預防性抗生素
31 先生 32 歲,太太 30 歲。第一次懷孕在 8 週自然流產,第二次懷孕在 16 週發現胎兒為無腦兒 (acrania),因此終止該次懷孕。目前準備再懷孕,下列處理何者最適當? (A)懷孕後服用葉酸及多種維生素 (B)懷孕前服用葉酸及多種維生素,懷孕後接受高層次超音波檢查 (C)懷孕 16 週時接受羊膜腔穿刺檢查,以排除胎兒染色體異常之機會 (D)夫妻接受染色體檢查,若是夫妻之一有染色體異常,胎兒染色體異常機會較高,必須接受羊膜腔 穿刺檢查
32 (A)真真目前的情況已經符合子癎前症(preeclampsia)的定義 (B)肝臟 Glisson capsule 受到壓力拉扯造成真真的右上腹痛,是一般孕期常見的現象 (C)真真的腎臟血流(renal plasma flow)及腎絲球過濾率(GFR)均較同週數之正常孕婦為低 (D)年紀較大或頭胎懷孕(nulliparous)是好發子癎前症的危險因子
33 承上題,真真接受了全血球計數及一般生化檢查,白血球 11.2 K/µL,血小板 67 K/µL,血紅素 10.3 g/dL, AST 160 U/L,ALT 180 U/L,LDH 950 U/L;休息後重測一次血壓為 160/110 mmHg,且頭痛欲裂, 進一步超音波臍帶動脈都卜勒檢查發現如下。下列敘述何者錯誤?
(A)真真的情形符合 HELLP 症候群 (B)真真的胎兒有嚴重胎內成長遲滯的情形(fetal growth restriction) (C)真真的血液中 soluble Fms-like tyrosine kinase 1(sFlt1)及 placental growth factor(PLGF)的數量 與生物可利用性(bioavailability)皆較一般孕婦為高 (D)真真的情形已符合嚴重子癎前症(severe preeclampsia),需要立刻進一步處置
34 承上題,真真接受了胎盤無壓力測試(NST)後,在醫師建議下由家人陪同辦理住院觀察,並給予 降血壓藥物以及後續處理,不料真真一進病房便發生長達一分鐘的癲癇大發作(generalized tonic-clonic seizures),下列處置何者最適當? (A)真真目前懷孕 30 週,胎兒仍太小因此建議先以降血壓藥以及抗癲癇藥物控制情況,待一兩週後再 行催生之處理 (B)癲癇發作時真真已經符合子癎(eclampsia)的定義,癲癇發作時應立刻給予一般急救流程及抗癲 癇藥物,MgSO
4
由肝臟代謝,在AST、ALT略高的情況下不建議使用 (C)真真發作時NST上應可以觀察到不可回復的fetal bradycardia,此時應立刻安排緊急剖腹生產,給予 MgSO
4
至開刀結束 (D)MgSO
4
已被證實在預防及處理子癎的發作極有效果,由於子癎產後仍會發生,建議使用至產後 24 小時。臨床尚須監控其有效濃度,如出現過量情形可給予calcium gluconate拮抗
35 下列那種子宮內膜增生的組織病理,最容易進展為子宮內膜癌? (A) Simple hyperplasia without atypia (B) Complex hyperplasia without atypia (C) Simple hyperplasia with atypia (D) Complex hyperplasia with atypia
36 決定卵巢癌的期別主要是靠: (A)腫瘤指標 CA125 的數值高低 (B)臨床症狀 (C)超音波檢查 (D)手術病理結果
37 一位65歲婦女,因為陰道點狀出血來求診,經一系列檢查診斷為子宮內膜乳突狀漿液細胞癌(papillary serous adenocarcinoma),在分期手術時,無肉眼下可疑淋巴病變,則進一步的處理方式為何? (A)不需施行淋巴結摘除 (B)需施行主動脈淋巴結取樣 (C)需施行骨盆淋巴結摘除 (D)需施行主動脈及骨盆淋巴結摘除
38 一位 43 歲女性,未曾生產但曾懷孕 1 次,由於在子宮頸抹片中發現到高度病灶(high-grade lesion) 因而接受陰道鏡檢查,見到完全的鱗狀柱狀上皮交界處(squamocolumnar junction);病理組織檢查, 子宮頸內刮除(endocervical curettage)是正常的,但子宮頸切片,顯示出 1 mm 的侵犯,下一步的處 理何者最適宜? (A)全子宮切除術 (B)筋膜外子宮切除術 (C)錐狀切除 (D)放射治療
39 外陰癌最常見之臨床症狀為: (A)外陰搔癢 (B)不正常出血 (C)性交疼痛 (D)解尿困難
40 一位 18 歲的女性,主訴頻尿、尿急和恥骨上方疼痛,脹尿時疼痛加劇,但尿完後疼痛感暫時緩解。 過去 6 個月曾做過多次尿液細菌培養為陰性反應,服用抗生素無法改善症狀,麻醉下的膀胱鏡檢查 可發現脹尿後有出血點。她最有可能的診斷是: (A)急性膀胱炎(acute cystitis) (B)間質性膀胱炎(interstitial cystitis) (C)不明原因的膀胱疼痛症候群(painful bladder syndrome of unknown etiology) (D)膀胱過動症(overactive bladder)
41 一名 45 歲女性,育有 3 子,主訴尿失禁已經 5 年了,尿道壓力圖在膀胱灌水 200 c.c.時測量,結果 如附圖。最大尿道閉鎖壓力為 80 cmH
2
O,動態測試時有漏尿現象,但無膀胱不穩定收縮現象。此名 婦女最可能的診斷為:
(A)不穩定膀胱(detrusor instability) (B)應力性尿失禁(stress urinary incontinence) (C)逼尿肌無力(detrusor underactivity) (D)尿道括約肌缺損(intrinsic sphincter defect)
42 一位 36 歲的婦女,有正常的性生活,做抹片及骨盆檢查時,發現有一顆 5 公分大的腫瘤,但無不適 的症狀,懷孕試驗亦為陰性,最後月經在 25 天前,最有可能的診斷是: (A)黃體囊腫(corpus luteal cyst) (B)濾泡囊腫(follicular cyst) (C)游離腎(pelvic kidney) (D)漿膜下肌瘤(pedunculated subserous leiomyoma)
43 有關子宮肌瘤特徵的敘述,下列何者錯誤? (A)生育年齡婦女中約 1/3 有肌瘤 (B)大多無症狀,約 1/3 有經血量多、經痛、下腹不適 (C)黏膜下(submucous)肌瘤的症狀最輕,最易處置 (D)有些肌瘤會產生變性(degeneration)
44 一位 28 歲已婚 3 年不孕的婦女在婦科檢查時發現生殖系統發育正常,karyotype 是 45,X/46,XY,左 側卵巢有個實質腫瘤 3.5 公分,超音波發現有部分鈣化,最可能的診斷是卵巢有: (A) Mature teratoma (B) Dysgerminoma (C) Gonadoblastoma (D) Immature teratoma
45 (A)多囊性卵巢 (B)壓力過大 (C)早發性卵巢衰竭 (D)厭食症
46 承上題,若病人想懷孕,應用何種方式? (A)口服排卵藥 Clomiphene citrate (B) Glucophage(Metformin) (C)卵子捐贈 (D) hMG 誘導排卵
47 有一對年輕的夫婦(同為 26 歲)因為 3 年沒有避孕但太太都未曾懷孕而到門診求診,女方月經規則 間隔 30 天,每次經期約 4 天。夫婦皆否認有抽菸、喝酒或藥物使用,也皆否認有任何的內外科疾病。 先生的精液分析(semen analysis)體積為 2.5 mL、精蟲數低於 0.1×106 sperm/mL、10%有前進活動力 (forward progression)且 30%有正常形態(morphology)。下一步要做的是進行: (A)精子清洗術(semen wash)、子宮內受精(intrauterine insemination, IUI)及口服排卵藥 clomiphene citrate (B)體外受精(in vitro fertilization, IVF)包括單一精子卵質內顯微注射(intracytoplasmic sperm injection, ICSI)及胚胎植入(embryo transfer, ET) (C)傳統體外受精及胚胎植入 (D)先生接受染色體(karyotype)、濾泡刺激素(follicle stimulating hormone, FSH)及睪固酮(testosterone) 檢查
48 治療 Hypogonadotropic hypogonadism 的排卵問題,應優先使用下列何者? (A) Low-dose estrogen therapy (B) Human menopausal gonadotropin(hMG) (C) Bromocriptine mesylate (D) Clomiphene citrate
49 對於多囊性卵巢症候群,下列敘述何者錯誤? (A)造成輸卵管阻塞而導致不孕 (B)卵巢皮質部增厚 50% (C)慢性不排卵及雄性素增加 (D) LH/FSH ratio 增加
50 下列何者不是內膜異位症(endometriosis)常見的症狀? (A)痛經 (B)不孕症 (C)性交疼痛 (D)不正常出血
51 如下圖基礎體溫表所示,子宮腔輸卵管攝影最適合時段為:
(A) A (B) B (C) C (D) D
52 一位 30 歲女性病人,多次人工流產後,月經量變得非常少,子宮鏡檢查如下圖所示,最合適的診斷 及治療為下列何者?
(A) Asherman’s syndrome+觀察及荷爾蒙補充療法 (B)雙子宮(uterus didelphys)+觀察及荷爾蒙補充療法 (C) Asherman’s syndrome+子宮鏡手術切除黏連+觀察及荷爾蒙補充療法 (D)雙子宮+手術切除中隔
53 下列那一個指標是篩檢甲狀腺功能(screen for thyroid function)最好的工具? (A)Thyroid stimulating hormone(TSH) (B)Free T
4
(C)Total serum T
4
(D)Free T
3
複選題
54 下列對於 5α-reductase deficiency 的敘述,何者錯誤?(A)這些女性患者的基因型為 XY 型(B)這些女性患者的乳房發育相當於正常女性(C)這些女性患者可能會有睪丸存在(D)這些女性患者體內無法使 testosterone 轉換為 dihydrotestosterone
55 圖中的支架不適用於下列何種病人?
(A)扁平足 (B)腦中風 (C)腓神經麻痺 (D)小兒麻痺症
56 一位中風患者在復健過程中主訴肩關節疼痛,理學檢查顯示肩關節半脫位(subluxation),下列相關 敘述何者最為正確? (A)使用三角巾將肩關節固定於內轉(internal rotation)角度 (B)常伴隨複雜性區域疼痛症候群第二型(complex regional pain syndrome type 2)的發生 (C)可使用功能性電刺激於三角肌(deltoid)與棘上肌(supraspinatus) (D)步行訓練時須將手臂置於身體背後
57 下列有關第六頸髓完全損傷患者的敘述,何者錯誤? (A)需使用口控搖桿滑鼠做電腦輸入 (B)體溫調節不良 (C)突然坐起可能引發低血壓 (D)膀胱過脹可能引起高血壓
58 一位 69 歲的老先生,因地面濕滑不小心拐了一下但並未跌倒,之後出現右側腰臀疼痛,痛會傳導到 同側大腿後側,偶爾還會到小腿和腳底,神經學檢查完全正常,但於右臀有一個明顯壓痛點,做髖 關節內轉及屈曲(internal rotation & flexion)時會誘發傳導痛到同側後小腿和腳底,則其診斷應為: (A)右側第一薦椎神經根病變(S1 radiculopathy) (B)右側梨狀肌症候群(piriformis syndrome) (C)右小腿動脈栓塞 (D)右側腰方肌(quadratus lumborum)扭傷
59 一位 40 歲病患於開車時被後方車子撞擊而造成頸部疼痛與頭痛之症狀。在此之前並無頸部疼痛病史。 頸部 X-ray 顯示頸椎應有之前凸(lordosis)曲線消失,但無骨折脫臼。下列何種診斷為您的優先選 擇? (A)頸椎壓迫性骨折(compression fracture) (B)頸椎退化關節炎(cervical spondylosis) (C)頸椎滑脫(cervical spondylolisthesis) (D)揮鞭症候群(whiplash syndrome)
60 下列有關以骨泥(cement)固定之膝全人工關節置換術(total knee replacement)後之復健敘述,何 者最正確? (A)被動性運動(passive range of movement)應於術後 24 小時內開始 (B)手術後 7 天方能承重(weight bearing) (C)膝關節彎曲在手術傷口穩定前屬禁忌動作 (D)等速肌力訓練於術後 3 天即可開始 代號:4102 頁次:12-9
61 下列關於利用肌肉皮瓣修補薦部壓瘡手術後的注意事項,何者正確? (A)術後應立即開始運動計畫,以免皮瓣萎縮、關節僵硬 (B)臥床時,床尾應該升高超過 15 度 (C)臥床時,床頭角度不要高於 15 度 (D)可以下床後 2 週內應使用高背輪椅
62 下列各式的背架中,何者最可以制止腰背側向彎曲(lateral flexion)的力量? (A) Jewett brace (B) Cruciform anterior spinal hyperextension brace (C) Lumbar corset (D) Knight brace
63 對於長期罹患糖尿病患者的心肺復健,下列敘述何者錯誤? (A)運動前可補充一些食物或減低上一劑胰島素的量 (B)血糖高於 250 mg/dL 或低於 100 mg/dL 較不適合運動 (C)注意保護足部 (D)患者較適合於睡前半小時內運動
64 男子網球選手發球球速常可高達 190 公里/小時,其瞬間發球時肌肉所利用的主要能源為何? (A)肝醣(glycogen) (B)脂肪酸(fatty acid) (C)三磷酸腺苷(ATP) (D)乳酸(lactate)
65 下列對於心臟移植手術(HT)後,及冠狀動脈繞道手術(CABG)術後病患的復健,何者最正確? (A) HT 的病患適用目標心跳(target heart rate)來訂定運動強度 (B) HT 的病患能否回復工作和心肺耐力的進步有關 (C) CABG 病患出院後不需接受復健治療 (D)發生急性心肌炎或心臟衰竭患者仍可繼續運動治療
66 男童由蹲姿站立起來,需經由圖示的方式,他最可能罹患的是下列何種疾病? (A)腦性麻痺(cerebral palsy) (B)先天性髖關節脫位(congenital hip dislocation) (C)裘馨氏肌失養症(Duchenne muscular dystrophy) (D)恰克-馬利-杜斯氏症(Charcot-Marie-Tooth Disease)
67 下列有關嬰兒右側斜頸(torticollis)的敘述,何者最正確? (A)臉常轉向右側 (B)頭常傾向左側 (C)頸部向右側旋轉角度不足 (D)頭部向右側傾斜角度不足
68 關於先天性臂神經叢損傷(congenital brachial plexus injury),下列敘述何者最正確? (A) Erb’s palsy 比 Klumpke’s palsy 常見 (B)超過一半的病人最後會殘存嚴重的機能缺損 (C)治療之初應避免做關節活動運動(range of motion exercise),以免再拉扯到臂神經叢 (D)兩側的先天性臂神經叢損傷很常見
69 某老先生中風後常有喝水會嗆到的現象,吃稀飯則不會。如要評估其吞嚥功能,下列那一種檢查應 優先考慮? (A) Videofluorographic swallowing study (B) Chest X-ray (C) Brain MRI (D) Laryngoscopy
70 某病人於中風後有語言障礙,他表達語法錯亂(agrammatic expression),並伴隨著失用症(apraxia), 除了抽象難度高的事務外,理解力甚佳。他是屬於下列何種失語症(aphasia)? (A)表達性失語(Broca’s aphasia) (B)理解性失語(Wernike’s aphasia) (C)全面性失語(global aphasia) (D)命名性失語(anomic aphasia)
71 有關單支手杖(regular cane)的使用,下列敘述何者錯誤? (A)單支手杖最有用於單側肢體無力造成的步態失常 (B)使用單支手杖的人常需要有良好的手與手臂功能 (C)單支手杖的使用可以協助平衡功能的改善 (D)使用單支手杖的主要著力點在腕部
72 一位 22 歲男性病人主訴運動後右膝關節疼痛。圖為本次就診之右膝關節 X 光攝影及磁振造影。最可 能的診斷為何?
(A) Avulsion of medial collateral ligament (B) Avulsion of lateral collateral ligament (C) Avulsion of anterior cruciate ligament (D) Avulsion of posterior cruciate ligament
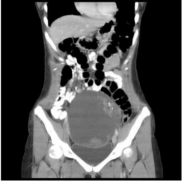
73 一位 25 歲女性,主訴下腹部疼痛,腹部 CT 影像如附圖,最可能的診斷為下列何者?
(A)子宮內膜癌 (B)子宮頸癌 (C)子宮肌瘤 (D)畸胎瘤
74 一位 55 歲男性,左側頸部摸到腫塊,不痛,沒發燒。根據 CT 影像,最適當的診斷是:
(A) NPC with neck metastatic lymphadenopathy (B) Metastatic lymphadenopathy from stomach cancer (C) TB lymphadenopathy (D) Neurilemmoma of neck
75 一位 2 歲男孩被發現右眼視覺異常,瞳孔呈現白色。根據此 CT 影像,最可能的診斷是: (A) Retinoblastoma (B) Retinal detachment (C) Retinal hemorrhage (D) Melanoma
76 在急診室裡,下列何種情況是使用 ketamine 的禁忌? (A)具氣喘病史患者 (B)嬰幼兒無法配合建立靜脈通路時 (C)頭部外傷合併顱內壓升高時 (D)可合併使用 atropine 時
77 一位 35 歲女性,來急診主訴發燒 3 日,且有下腹疼痛的症狀,自訴裝有子宮內避孕器,理學檢查發 現右下腹明顯壓痛並有反彈痛,下列敘述何者錯誤? (A)安排懷孕檢測 (B)需仔細詢問性接觸史 (C)若陰道檢查出現子宮頸位移痛(cervical motion tenderness)和子宮附件壓痛(adnexal tenderness), 則可排除闌尾炎的可能性 (D)若沒有異常的陰道分泌物,則骨盆腔發炎的機會就相對較低
78 一位 50 歲女性因眩暈至急診室就診,下列敘述何者不恰當? (A)在診斷方面,可大致分成周邊性(peripheral)與中樞性(central)眩暈 (B)若合併聽力降低、外耳疼痛與出現小水泡,可診斷為梅尼爾氏症(Ménière’s disease) (C)若合併耳鳴或聽力降低,較有可能是周邊性眩暈 (D)症狀治療可考慮使用抗組織胺(antihistamines)或抗膽鹼藥物(anticholinergics)
79 病人要接受全身麻醉的手術前,有關同意書的取得,下列何者正確? (A)只要填手術同意書即可 (B)只要填麻醉同意書即可 (C)手術同意書和麻醉同意書都要取得,但是只要護理人員去跟病人解釋即可 (D)手術同意書和麻醉同意書都要取得,而且應由手術團隊的醫師與麻醉醫師分別去跟病人解釋
80 病患甲疑似藥物副作用引致心律過慢而昏迷住院,麻醉醫生已為病患甲安置暫時性心律調節器,病 情雖未及穩定,但也無死亡跡象,此時病患甲之子以出院或轉院為由要求醫師拔除心律調節器,並 願意填寫不施行心肺復甦術同意書,且聲明不追究醫師責任,醫師應否遵照辦理? (A)應該。病人昏迷,而家屬已簽不施行心肺復甦術同意書 (B)應該。病人已不具積極治療的意義 (C)不應該。本案病患非屬安寧緩和醫療條例所規定之末期病人,家屬不具為病患主張不施行心肺復 甦術之權利 (D)不應該。醫師有醫療自主權,不應聽從家屬意見
申論題 (0)
相關試卷
115年 - 115-1 專技高考_醫師(二):醫學(六)(包括麻醉科、眼科、耳鼻喉科、婦產科、復健科等科目及其相關臨床實例與醫學倫理)#137334
115年 · #137334
114年 - 114-2 專技高考_醫師(二):醫學(六)(包括麻醉科、眼科、耳鼻喉科、婦產科、復健科等科目及其相關臨床實例與醫學倫理)#127922
114年 · #127922
114年 - 114-1 專技高考_醫師(二):醫學(六)(包括麻醉科、眼科、耳鼻喉科、婦產科、復健科等科目及其相關臨床實例與醫學倫理)#125090
114年 · #125090
113年 - 113-2 專技高考_醫師(二):醫學(六)(包括麻醉科、眼科、耳鼻喉科、婦產科、復健科等科目及其相關臨床實例與醫學倫理)#120656
113年 · #120656
113年 - 113-1 專技高考_醫師(二):醫學(六)(包括麻醉科、眼科、耳鼻喉科、婦產科、復健科等科目及其相關臨床實例與醫學倫理)#118715
113年 · #118715
112年 - 112-2 專技高考_醫師(二):醫學(六)(包括麻醉科、眼科、耳鼻喉科、婦產科、復健科等科目及其相關臨床實例與醫學倫理)#114980
112年 · #114980
112年 - 112-1 專技高考_醫師(二):醫學(六)(包括麻醉科、眼科、耳鼻喉科、婦產科、復健科等科目及其相關臨床實例與醫學倫理)#113157
112年 · #113157
111年 - 111-2 專技高考_醫師(二):醫學(六)(包括麻醉科、眼科、耳鼻喉科、婦產科、復健科等科目及其相關臨床實例與醫學倫理)#108743
111年 · #108743
111年 - 111-1 專技高考_醫師(二):醫學(六)(包括麻醉科、眼科、耳鼻喉科、婦產科、復健科等科目及其相關臨床實例與醫學倫理)#106188
111年 · #106188
110年 - 110-2 專技高考_醫學(二):醫學(六)(包括麻醉科、眼科、耳鼻喉科、婦產科、復健科等科目及其相關臨床實例與醫學倫理)#99915
110年 · #99915