所屬科目:醫學四:80題 ( 包括小兒科,皮膚科,神經科,精神科等科目及其相關臨床實例與醫學倫理 )
1.2歲男童半夜因發燒及呼吸窘迫被帶至急診求診,問診有Hoarseness和Barking cough的症狀,聽診有 Stridor,X光檢查如附圖,下列敘述何者錯誤?
(A)白⾊箭頭標示稱為尖塔徵象(Steeple sign) (B)此病的診斷最可能為哮吼(Croup) (C)急性期可先給與氧氣及Epinephrine混合生理食鹽水以吸入方式治療 (D)此疾病最常見的病原為腸病毒(Enterovirus)
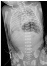
9.新生兒出生後即有呼吸窘迫、唇⾊發紫、胸部較腹部來得高突的現象。身體診察發現最大心音在右側。胸腹部 X光片如附圖,最有可能的診斷為何? (A)張力性氣胸(Tension pneumothorax) (B)食道閉鎖(Esophageal atresia) (C)十二指腸閉鎖(Duodenal atresia) (D)橫膈膜疝氣(Diaphragmatic hernia)
30.3個月大的女嬰經診斷為體染⾊體隱性遺傳的Phenylketonuria,致病原因為缺乏Phenylalanine hydroxylase (PAH),其家族譜系如附圖。哥哥和姊姊分別為6歲和4歲大,無任何臨床症狀,發育發展皆正常。哥哥和 姊姊帶有突變基因影響到PAH活性的機率為何?
(A)分別是1/4,1/2 (B)皆為1/4 (C)皆為1/2 (D)皆為2/3
32.下列何種疾病最有可能以如附圖之方式遺傳? (A)軟骨發育不全(Achondroplasia) (B)庫利氏貧血(Cooley anemia) (C)裘馨氏肌肉失養症(Duchenne muscular dystrophy) (D)結節性硬化症(Tuberous sclerosis complex)
38.6歲男孩,從2歲起即反覆出現如圖所示之劇癢皮膚病變;父母親都常有鼻塞、打噴嚏的症狀,診斷為何? (A)脂漏性皮膚炎 (B)接觸性皮膚炎 (C)異位性皮膚炎 (D)鬱血性皮膚炎
44.皮膚病理檢查發現有篩板狀血管的增生(如圖B), 最可能的診斷為何? (A)血管肉瘤(angiosarcoma) (B)卡波⻄氏肉瘤(Kaposi’s sarcoma) (C)血管角化瘤(angiokeratoma) (D)竇狀血管瘤(sinusoid hemangioma)