阿摩線上測驗
登入
首頁
>
醫學六:80題 ( 包括麻醉科,眼科,耳鼻喉科,婦產科,復健科等科目及其及相關臨床實例與醫學倫理 )
> 104年 - 104-2 專技高考_醫學(二):醫學(六)(包括麻醉科、眼科、耳鼻喉科、婦產科、復健科等科目及其相關臨床實例與醫學倫理)#36365
104年 - 104-2 專技高考_醫學(二):醫學(六)(包括麻醉科、眼科、耳鼻喉科、婦產科、復健科等科目及其相關臨床實例與醫學倫理)#36365
科目:
醫學六:80題 ( 包括麻醉科,眼科,耳鼻喉科,婦產科,復健科等科目及其及相關臨床實例與醫學倫理 ) |
年份:
104年 |
選擇題數:
80 |
申論題數:
0
試卷資訊
所屬科目:
醫學六:80題 ( 包括麻醉科,眼科,耳鼻喉科,婦產科,復健科等科目及其及相關臨床實例與醫學倫理 )
選擇題 (80)
1.下列關於緊急經皮呼吸道(percutaneous airway)處置技術的敘述,何者錯誤? (A)當非侵犯性呼吸道(noninvasive airway)處置技術無法插管,無法通氣(cannot intubate, cannot ventilate),且嚴重的缺氧狀態持續惡化時,要立即採取緊急經皮呼吸道處置 (B)以技術層面的選擇而言,緊急氣管切開術(tracheotomy)應該優先於緊急環甲軟骨切開術 (cricothyroid membrane) (C)氣管切開術貫穿呼吸道的部位在氣管前壁,而環甲軟骨切開術的貫穿部位在環甲膜 (cricothyroid membrane) (D)臨床上無法以血氧飽和濃度(oxygen saturation)來界定啟動緊急經皮呼吸道處置的時 機,因為使用時機和缺氧程度以及惡化的速度有關
2.關於脈搏血氧飽和度分析,臨床使用上的限制,下列敘述何者錯誤? (A)因為血氧飽和濃度也會受到血中二氧化碳濃度的影響,因此脈搏血氧飽和度分析也可用以 監測通氣量(ventilation)是否足夠 (B)低體溫、低心輸出量(cardiac output)、以及藥物所引起的周邊血管收縮,都有可能影響 血液氧氣飽和度估計值的準確性 (C)病患肢體動作以及低灌流狀態(hypoperfusion)是影響估計值最常見的原因。不過因為科 技的精進,這方面的問題已經漸有改善 (D)手術燈所發射的可見光,也會影響到血液氧氣飽和度的估計值,因此使用時必須避免強光 照射
3.Dexmedetomidine可提供鎮靜、安眠及止痛作用,其作用機轉為何? (A)γ-amino-butyric acid inhibition (B)α
2
-adrenergic agonist (C)µ receptor agonist (D)N-methyl-D-aspartate receptor inhibition
4.下列何種吸入性麻醉劑對呼吸道的刺激最大? (A)halothane (B)isoflurane (C)desflurane (D)sevoflurane
5.70歲男性病患因疝氣而預行傳統修補手術,下列有關麻醉的考量,何者錯誤? (A)半身麻醉(硬脊膜麻醉、脊椎麻醉)或神經阻斷 (B)半身麻醉的禁忌症只有病患拒絕、凝血異常與腦壓上升 (C)脊椎麻醉會引起血壓下降是由於交感神經阻斷 (D)脊椎麻醉除會引起血壓下降外,亦可能造成心跳變慢
6.下列有關全身麻醉的敘述,何者錯誤? (A)惡性高溫是一種對麻醉過敏的反應,主要是因為鈣離子大量釋放到血液中造成 (B)全身麻醉中發生過敏性休克的機轉與IgE有關 (C)全身麻醉時會發生低體溫與高體溫 (D)全身麻醉時的低血壓要同時考慮心輸出量與血管阻力
7.傳導疼痛的體表神經接受器(somatosensory receptor)是: (A)free nerve endings (B)Pacinian corpuscles (C)Merkel’s disks (D)Ruffini’s endings
複選題
8.有關創傷性腦組織損傷重症病患之處理原則,下列何者錯誤?(一律給分) (A)目前處理創傷性腦組織血腫壓迫性損傷,仍以外科手術處理為主 (B)因創傷性腦組織損傷後造成腦壓過高,開顱減壓可以有效降低死亡率 (C)針對傷性腦組織損傷進行低溫療法,已確認可有效降低死亡率 (D)目前多中心研究顯示,以類固醇治療創傷性腦組織損傷,會增加致病與死亡率
9.一名40多歲男性右眼紅痛,經診斷為急性前部葡萄膜炎(acute anterior uveitis),並伴有多 年下背痛病史,則下列何者錯誤? (A)好發於男性 (B)X光可能發現竹狀脊椎(bamboo spine) (C)常雙眼同時發作 (D)與HLA-B27相關
10.關於眼角膜構造,下列何者錯誤? (A)角膜本身無血管亦無神經組織 (B)角膜內皮細胞負責排除間質內過多的水分,以維持角膜正常的含水量 (C)角膜是一透明的構造,負責眼球屈光度數的一部分 (D)角膜上皮細胞的氧氣來源主要是靠淚液
11.下列何類藥物,無法藉由促進房水排出的機轉來降低眼壓? (A)前列腺素(prostaglandin) (B)縮瞳劑(miotics) (C)alpha-受體促效劑(α-agonist) (D)beta-受體阻斷劑(β-blocker)
12.下列有關散光(astigmatism)的敘述,何者錯誤? (A)視力表上的日晷形放射狀圖,是專為檢查散光用的 (B)角膜弧度計測出的角膜散光值,可作為眼球散光的參考 (C)散光可藉柱鏡(cylinder)來矯正其屈光誤差(refractive errors) (D)柱鏡(cylindric lens)之軸度(axis),是指散光度數所在的方向(meridian)
13.兩眼往右上方向看時,其共軛肌(yoke muscles)為下列那一組? (A)右上直肌(right superior rectus muscle)和左下斜肌(left inferior oblique muscle) (B)右上斜肌(right superior oblique muscle)和左下斜肌(left inferior oblique muscle) (C)右上斜肌(right superior oblique muscle)和左上直肌(left superior rectus muscle) (D)右下斜肌(right inferior oblique muscle)和左上直肌(left superior rectus muscle)
14.想檢查滑車神經(trochlear nerve)的作用時,一般是要受檢者的眼球往那個方向看? (A)內上 (B)內下 (C)外下 (D)外上
15.下列關於眼窩的敘述,何者錯誤? (A)眼窩的容積大約30 cc (B)眼眶骨共有七塊 (C)眼眶骨最薄處位於眼眶底(orbital floor),故外傷時容易造成眼眶底骨折 (D)眼眶骨外壁(lateral wall)由蝶骨大翼(greater wing of sphenoid bone)和顴骨 (zygomatic bone)構成
16.下列關於眼瞼的敘述,何者錯誤? (A)負責眼瞼閉合的肌肉是眼輪匝肌(orbicularis oculi muscle),由第七對腦神經控制 (B)苗勒氏肌(Muller’s muscle)由交感神經支配 (C)東方人和西方人的雙眼皮形態不同,主要是提眼瞼肌(levator palpebrae muscle)末端筋 膜(aponeurosis)附著在眼瞼板(tarsus)的位置,東方人較西方人低 (D)眼瞼的隔膜(septum)位於眼皮皮膚組織和眼輪匝肌之間,負有屏障作用
17.55歲男性因右側顏面神經麻痺2~3週來診,耳鏡檢查發現右耳有耳漏,同時右耳後乳突處有 壓痛。病史詢問得知患者過去有反覆右耳耳漏之情形,且右邊聽力不好,則最有可能的診斷 為何? (A)Bell’s顏面神經麻痺 (B)耳帶狀疱疹 (C)膽脂瘤引起之併發症 (D)顏面神經鞘瘤(facial nerve schwannoma)
18.有關耳帶狀疱疹感染(herpes zoster oticus, Ramsay Hunt syndrome)的敘述,下列何者正 確? (A)為單純疱疹病毒(herpes simplex virus,HSV)感染顏面神經所致 (B)一開始為膝狀神經節(geniculate ganglion)之感染,後漫延至整個顏面神經 (C)72小時內使用類固醇及抗病毒藥物acyclovir,對顏面神經功能之恢復並無幫助 (D)顏面神經減壓手術(facial nerve decompression)是常用的治療方法
19.一般標準之純音聽力檢查(pure tone audiometry)所測驗之最高音頻為下列何者? (A)4000 Hz (B)6000 Hz (C)8000 Hz (D)10000 Hz
20.一位65歲女性病患,左鼻孔流血,經局部填塞法止血後,第3天取出填塞紗條又大出血,再經後鼻孔、鼻腔內填塞止血,3天後仍大量流鼻血,故決定以外頸動脈結紮法處置,但不幸地,結紮後仍然鼻出血,最可能出血之血管為何?(A)蝶顎動脈(sphenopalatine artery)之分支(B)前篩動脈(anterior ethmoid artery)(C)大顎動脈(greater palatine artery)(D)上唇動脈(superior labial artery)
21.一位75歲男性病人。最近半年右側鼻塞,偶有鼻涕,2個月前開始持續性右臉頰疼痛,近來 鼻涕偶見血絲外,右上臼齒也覺鬆動及酸痛,視力也稍現模糊,偶有複視現象。最可能之診 斷為何? (A)右篩竇黏液囊腫 (B)右硬腭腫瘤 (C)右篩竇腫瘤 (D)右上頜竇腫瘤
22.一名年輕病患二日前在家中吞食通樂(內含氫氧化鈉、氨水等強鹼),檢查時若發現食道中 段有環狀之潰瘍且極度腫脹,病患並有發燒,胸痛及白血球增加,此時下列何者為最適宜之 處置? (A)以內視鏡繼續檢查以完整評估食道下段及胃部 (B)給予類固醇治療降低發炎程度 (C)避免穿孔感染,不應施行胃造瘻灌食(feeding gastrostomy) (D)給予抗生素與預防胃食道逆流製劑
23.嬰幼兒出現喘鳴(stridor)最常見是什麼原因? (A)聲帶麻痺(vocal fold paralysis) (B)喉囊腫(laryngeal cyst) (C)喉軟化症(laryngomalacia) (D)聲門下阻塞(subglottic stenosis)
24.下列有關於甲狀舌管囊腫(thyroglossal duct cyst)之敘述,何者錯誤? (A)是最常見的先天性頸部腫瘤,也是兒童第二常見的頸部腫瘤 (B)理學檢查可發現此囊腫隨伸舌與吞嚥動作而移動 (C)甲狀腺掃描及功能測定是治療前的必要檢查項目 (D)治療方式主要是將囊腫切除即可,少有復發情形
25.下列何者為最易造成胎盤早期剝離(placental abruption)的原因? (A)高血壓(hypertension) (B)子宮肌瘤(leiomyoma) (C)血栓形成(thrombophilia) (D)抽菸(cigarette smoking)
26.下圖不正常胎盤是屬於何者?
(A)velamentous insertion (B)false nots of cord (C)furcate insertion (D)marginal insertion
27.下列那一種影像診斷技術在妊娠期間最常使用? (A)腹部超音波(abdominal ultrasonography) (B)電腦斷層掃描(computed tomography) (C)內視鏡(endoscopy) (D)核磁共振影像(magnetic resonance imaging)
28.一位39歲的初產婦,目前妊娠39週,懷孕過程中的血壓都介於100~120/60~70 mmHg之 間。今天產檢時發現血壓150/100 mmHg,但並無合併頭痛,視覺模糊,噁心,嘔吐或腹痛 的情形。這位產婦來到產房之後血壓再測量為160/90 mmHg,血比容(hematocrit)為 34.0%,血小板數160,000/µL,肝功能指數GOT:22,GPT:15,尿液檢查並無蛋白尿情 形,胎兒監視器並未發現胎兒窘迫的情況。這位產婦最可能符合下列那個診斷? (A)子癎前症(preeclampsia) (B)慢性高血壓(chronic hypertension) (C)慢性高血壓合併子癎前症(chronic hypertension with superimposed) (D)妊娠高血壓(gestational hypertension)
29.胎兒監視器可協助臨床醫師追蹤及觀察胎兒心跳(fetal heart rate pattern)與母親子宮收縮 (uterine contraction)的狀況。當臨床上發現胎兒心跳呈現正弦波狀(sinusoidal fetal heart rate)時,最可能與下列何種臨床情況有關係? (A)母親有發燒的情形 (B)母親有貧血的情形 (C)胎兒有貧血的情形 (D)胎頭受到壓迫
30.一位30歲未婚性月經規則,但經血量多及有血塊,有性經驗,至婦產科門診就醫,發現血 紅素為8 g/dL,超音波掃描及子宮鏡檢查如下圖,最可能的診斷是下?何者?
(A)子宮內膜息肉(endometrial polyp) (B)子宮內膜癌(endometrial cancer) (C)子宮漿膜下肌瘤(subserosal myoma) (D)子宮黏膜下肌瘤(submucosal myoma)
31. 一位62歲女性於50歲時停經,這一年多來常有頻尿、夜尿、尿急及急迫性尿失禁之情形,因 此造成日常生活困擾而就醫。理學檢查發現有第三度膀胱脫垂之現象,尿液分析無菌尿、血 尿或尿路感染之情形。解尿日記發現白天解尿次數超過八次以上,晚上夜尿(nocturia)情 形超過3至5次以上。尿路動力學檢查於膀胱灌注期發現如下圖之情形,其初次解尿感覺 (first desire to void)之容積為116 c.c.、膀胱最大容積(maximum bladder capacity)為 250 c.c.。據此尿動力學之發現,此患者最適合之診斷為:
(A)逼尿肌不穩定(detrusor instability) (B)間質性膀胱炎(interstitial cystitis) (C)尿道症候群(urethral syndrome) (D)尿動力學應力性尿失禁(urodynamic stress incontinence)
32.常見的滋養層細胞疾病(gestational trophoblastic disease)的臨床表現是: (A)咳嗽 (B)陰道出血 (C)腹痛 (D)血栓
33.一般婦科手術後,最常見的術後感染部位是: (A)lung (B)vaginal cuff (C)incision wound (D)urinary tract
複選題
34.婦女骨盆底肌肉中,下列那一群肌肉較易受到經陰道生產時的損傷? (A)coccygeus muscle (B)iliorectalis muscle (C)pubococcygeus muscle (D)anal sphincter muscle
35.李小姐,50歲已婚的臺灣人,體重96公斤,目前還有性生活。在三年前時,因為有子宮肌瘤 而接受經腹部全子宮切除術(total abdominal hysterectomy)。她沒有抽煙,在某一所護理 之家當護理助手,並且此份工作和提重物有關。她本身因為有氣喘(asthma)的病史而有慢 性咳嗽(chronic cough)。她目前有兩位小孩,年紀為20及23歲,兩位都是經由陰道生產, 其中出生體重最重的為4.0公斤。最近10個月來,她感覺到腹部有下墜感以及頭痛的症狀, 當她站立整天,下墜感越大,她也抱怨尿的流量不好以及感覺膀胱無法完全排空,而她自述 並沒有小便失禁或是腸道症狀。下列關於造成她形成陰道脫垂(prolapse)的危險因子,何 者最不相關? (A)經陰道生產的過大胎兒 (B)肥胖 (C)曾經接受子宮切除 (D)目前還有性生活
複選題
36.關於人工生殖技術(assisted reproductive technology)之敘述,下列何者正確?(一律給分) (A)為增加懷孕率,植入的胚胎數越多越好 (B)所謂人工生殖技術是指經過取卵過程之相關治療 (C)預防FSH surge是人工生殖技術中很重要的一環 (D)誘導排卵時,GnRH-antagonist可抑制FSH surge
37.女性生育能力與卵巢功能和年紀息息相關,下列何者正確? (A)20幾歲開始下降 (B)30幾歲開始下降 (C)40幾歲開始下降 (D)50幾歲開始下降
38.有關卵巢過度刺激症(OHSS),下列何者最正確? (A)發生機會和取卵數無關 (B)早發性OHSS和外生性hCG無關 (C)發現寡尿時,趕快給予利尿劑 (D)腹水造成壓迫或呼吸困難,需抽掉腹水
39.青春期少女的雌二醇(estradiol),主要源自: (A)卵巢 (B)脂肪 (C)肝臟 (D)腎上腺
40.一位34歲女性,G0(gravida),已嘗試懷孕3年都未能成功受孕。她有多年骨盆腔疼痛及嚴 重的性交疼痛(dyspareunia)。骨盆腔檢查發現nodular and tender uterosacral ligament, 子宮後傾(retroverted)但大小正常,以及右側附屬物腫塊。陰道超音波發現一個6公分的右 側卵巢腫瘤。抽血檢查方面,CA 125指數上升。接下來最適當的處置為下列何者﹖ (A)促性腺激素釋放荷爾蒙類似體(GnRH agonist) (B)診斷性腹腔鏡手術(diagnostic laparoscopy) (C)腹腔鏡卵巢囊腫切除術(laparoscopy with cystectomy) (D)腹腔鏡右側卵巢切除術(laparoscopy and right oophorectomy)
41.下列何項無法由簡單的精液檢查(semen analysis)得知? (A)精子活動力(sperm motility) (B)精子濃度(sperm concentration) (C)精子外觀正常比例(sperm morphology) (D)精子穿透力(sperm penetration)
42.化學治療合併的副作用,下列何者關係較不明確? (A)doxorubicin與心臟毒性 (B)bleomycin與肺部纖維化 (C)cisplatin與腎臟毒性 (D)carboplatin與出血性膀胱炎
43.一名69歲停經後女性,因陰道出血接受子宮內膜搔刮手術,病理報告顯示為類子宮內膜腺癌、細胞分化為第3級(grade 3),骨盆腔核磁共振檢查(MRI)發現疑有子宮深層肌肉層侵犯,下列敘述何者正確?(A)患者宜接受剖腹探查手術,並切除子宮及雙側卵巢輸卵管(B)患者宜接受剖腹探查手術,並切除子宮及雙側卵巢輸卵管,骨盆腔及主動脈旁淋巴結摘 除,腹膜腔灌洗細胞學檢查(C)抽菸,肥胖,多產次為這個疾病的危險因子(D)患者疾病為第一型子宮內膜癌,常常和p53的基因突變有關
44.
林
女士
,
64
歲,過去除自然生產
兩
次外無特殊疾病史,因陰道大量出血至急診求診,經內診發現子宮頸有一個
2
公分腫瘤,
切
片證實為子宮頸鱗狀上皮癌,腫瘤範圍至下
1/3
陰道後壁,左側子宮旁組織有腫瘤侵犯跡象,胸部
X
光正常,腎盂攝影顯示左側腎盂及輸尿管水腫,下列何者為最適當的治療?
(A)放射線合併cisplatin化學治療(B)放射線治療(C)使用topotecan化學治療(D)根除性子宮切除手術合併術後放射線治療
45.影響卵巢癌最重要的預後因子為: (A)疾病的分期(stage) (B)腫瘤的分化(grade) (C)病人營養狀態 (D)荷爾蒙接受體的多寡
46.一位59歲的婦女下腹疼痛一個月之久,CBC,CA125,CEA均正常,經超音波及斷層掃描檢查 後,結果疑似輸卵管癌,下列敘述何者錯誤? (A)手術剖腹探查時,主要的腫瘤是在子宮旁(adnexa) (B)輸卵管的內膜可見被乳突狀型態(papillary pattern)腫瘤細胞所侵犯 (C)如果輸卵管有廣泛侵犯,其擴散及轉移途徑與卵巢癌相似 (D)經常可以發現在腹膜轉移不會經淋巴腺轉移
47.第二類型的子宮內膜腺癌與下列何者無關? (A)p53 mutation (B)poorly differentiated(grade 3) (C)deep myometrial invasion (D)squamous differentiation
48.最可能的診斷為: (A)前置胎盤 (B)胎盤早期剝離 (C)子宮頸閉鎖不全 (D)絨毛膜羊膜炎(chorioamnionitis)
49.承上題,若以後再次懷孕時,應如何避免再次發生同樣情形? (A)在還沒懷孕前,先接受子宮頸環紮手術 (B)於懷孕12~16週時,接受子宮頸環紮手術 (C)無須任何處置,因為上述情形為偶發事件,不會再發生 (D)懷孕時,多臥床休息即可,不須任何安胎治療
50正在測量的名稱(雙十字之間)為何? (A)BPD(biparietal diameter) (B)CRL(crown-rump length) (C)FL(femur length) (D)NT(nuchal translucency)
51.承上題,最常施行上述檢查的妊娠週數為何? (A)11~14週 (B)26~28週 (C)31~13週 (D)36~38週
52. 美莉37歲,結婚4年都沒有避孕,2年前自然流產過一次,就沒有再懷孕過。美莉與先生一直 很想生個小孩,於是來到婦產科求診,先生的精液檢查,數量和活動力都正常,但美莉的月 經一直不是很規則,於是醫師先給她clomiphene來誘導排卵,從經期的第5天開始吃,每天 一顆(50 mg)連續5天,結果美莉這次順利懷孕了,她10週回來做產檢時的超音波顯示如下 圖。請依此回答下列3題: 下列敘述何者正確?
(A)此張超音波顯示為同卵雙胞胎,胚胎在受精後第1至第3天間分裂 (B)使用clomiphene誘導排卵會使排卵增加,因此異卵雙胞胎的發生率會上升,但同卵雙胞胎 的機率不受影響 (C)37歲婦女懷雙胞胎的機率會比20歲年輕女性來的高 (D)單絨毛膜雙羊膜雙胞胎(monochorionic-diamnionic twins)的早產風險會比雙絨毛膜雙羊 膜雙胞胎(dichorionic-diamnionic twins)低
53.美莉產檢時超音波發現,此雙胞胎有兩個羊膜腔,但共用一個胎盤,會有發生雙胞胎間輸血 症候群(twin-to-twin transfusion syndrome)的風險,關於雙胞胎間輸血症候群(TTTS), 下列敘述何者錯誤? (A)TTTS發生原因目前認為和共用胎盤,且兩個胎兒間的血管相通(vascular anastomosis) 造成血流不平衡有關 (B)recipient的血液容積增加,會造成羊水過多,嚴重時會有心臟衰竭的現象 (C)donor的血液供給recipient,造成donor的血液容積下降,胎兒腎臟灌流(renal perfusion)下降,所以尿量變少,會使羊水過少(oligohydramnios),嚴重時超音波下 donor膀胱會看不到,且常被推擠至一角落(stuck twin) (D)美莉的兩個雙胞胎間如果體重差異超過30%,就可診斷為TTTS
54.美莉20週產檢時,發現twin A預估體重532 g且羊水過多,twin B 417 g且 沒有羊水,twin B 的臍動脈杜普勒波形測量已有舒張期逆流情形(reverse end-diastolic flow),美莉和先生希 望能積極救兩個胎兒,目前文獻對於早期嚴重性TTTS,下列那一種治療較佳? (A)利用胎兒鏡做雷射治療(laser ablation of vascular anastomoses) (B)將羊水過多的放水(amnioreduction of the recipient) (C)將兩個胎兒間的羊膜打通(septostomy) (D)灌水到沒有羊水的胎兒內(amnio infusion of the donor)
55.在做復健時,必須特別留意大腦右半球中風會比大腦左半球中風的患者更容易發生下列何種 問題? (A)跌倒(fall) (B)尿失禁(urinary incontinence) (C)飢餓感(hungry sensation) (D)低血糖(hypoglycemia)
56.假性肌肉肥大(pseudohypertrophy)最常見於下列何種疾病? (A)運動神經元疾病(motor neuron disease) (B)小兒麻痺後症候群(post-polio syndrome) (C)裘馨氏肌肉萎縮症(Duchenne muscular dystrophy) (D)先天性肌肉強直症(myotonia congenita)
57.周邊神經的損傷依據神經受損程度不同可分為三種性質,下列那一項不包括在內? (A)neurapraxia (B)neuromyotonia (C)axonotmesis (D)neurotmesis
58.目前在醫療上常使用肉毒桿菌毒素(botulinum toxin)注射來治療肌肉痙攣,主要作用的機 轉為下列何者? (A)讓肌肉細胞膜鈣離子阻斷作用,導致肌肉無法收縮 (B)破壞乙醯膽鹼接受器(acetylcholine receptor) (C)讓乙醯膽鹼無法由終板(end plate)釋出,阻斷神經肌肉交接處的功能 (D)使神經軸細胞質(axon plasma)流動停止,造成神經傳導異常
59.男性心因性勃起(psychogenic erection)功能的控制神經組織位在何處? (A)第十胸髓至第二腰髓的體神經 (B)第十胸髓至第二腰髓的交感神經 (C)第二至第四薦腰的體神經 (D)第二至第四薦腰的副交感神經
60.有關人類截肢後所發生的幻痛(phantom pain)現象,下列何者敘述最為正確? (A)截肢後延遲裝置義肢可減輕幻痛 (B)成人發生率比兒童低 (C)幻痛與冷天氣和情緒有關,入睡後仍會存在 (D)拍打殘肢端(stump)或使用經皮神經刺激(TENS)是相當有效的止痛方式
61.一位12歲國中女生首次診斷患有不明原因脊椎側彎症(idiopathic scoliosis),脊椎X光片顯 示其最大彎曲點在第一腰椎位置,柯卜氏角度(Cobb’s angle)為15度,下列何種處置最為 恰當? (A)給予運動治療與姿勢矯正,並追蹤檢查 (B)給予Milwaukee背架矯正 (C)給予Knight -Taylor背架矯正 (D)脊椎矯正手術治療
62.下列何者最適合選用踝足支架型義肢(ankle-foot orthosis style prosthesis)? (A)經蹠骨截肢(transmetatarsal amputation) (B)丘巴特截肢(Chopart amputation) (C)賽姆截肢(Syme amputation) (D)膝下截肢(below-knee amputation)
63.下列有關膝關節手術(knee arthroplasty)術後之連續性被動關節運動(continuous passive movement)目的,何者最不正確? (A)避免關節攣縮 (B)減少關節腫脹 (C)維持關節本體感 (D)增加股二頭肌之肌力
64.下列何者不屬於心臟復健的有氧訓練方式? (A)踩固定式腳踏車 (B)跑步機運動 (C)游泳 (D)舉重
65.在做肺臟復健運動訓練時,若發現病患血氧分壓為下列何者時可考慮同時給予氧氣? (A)81~91 mmHg (B)71~80 mmHg (C)61~70 mmHg (D)≦60 mmHg
66.下列有關腦性麻痺的敘述,何者錯誤? (A)近年來因為醫學的進步,腦性麻痺的發生率已降至非常低,成為不常見的疾病 (B)因早產兒存活率增加,使得腦性麻痺中早產兒所占比率相對提高 (C)在腦性麻痺的分類中,徐動型的比率近年來有明顯下降 (D)早產兒最常合併的腦性麻痺類型為兩側癱瘓(diplegia)
67.四肢痙攣型的腦性麻痺患者(spastic quadriparesis),因照顧及動作能力上的考量而使用硬 脊膜下幫浦(intrathecal baclofen pump)治療,關於此治療方法,下列何者錯誤? (A)僅對痙攣型具有療效,對肌張力異常(dystonia)不具效用 (B)可以改善姿勢、減少痙攣引起的疼痛 (C)可有效減少行走時消耗的能量 (D)可減少照顧者的不便,且減少手術的必要
68.下列有關老年人上樓梯及由坐椅站起(sit-to-stand)之時間影響因子,何者最為重要? (A)髖關伸展(hip extension) (B)足踝蹠屈(ankle plantaflexion) (C)骨盤旋轉(pelvic rotation) (D)足踝背屈(ankle dorsiflexion)
69.第四頸髓功能失常引起四肢癱瘓的病人,可以從事下列何種活動? (A)自行淋浴 (B)使用湯匙進食 (C)自行轉位由輪椅到床上 (D)使用特殊電動輪椅
70.患者主訴便秘及排便失禁,理學檢查發現肛門鬆弛無自主收縮能力,肛門反射及球海綿體肌 反射(bulbocavernosus reflex)皆消失,下列何者是最可能的病因? (A)顱內出血(intracranial hemorrhage) (B)腦幹中風(brainstem stroke) (C)頸髓空洞症(cervical syringomyelia) (D)馬尾束病變(cauda equina lesion)
71.復健評估中,下列那一項不是屬於ADL(activities of daily living)及IADL(Instrumental ADL)的評估內容? (A)握力大小 (B)輪椅移位 (C)烹煮食物 (D)穿戴護腰
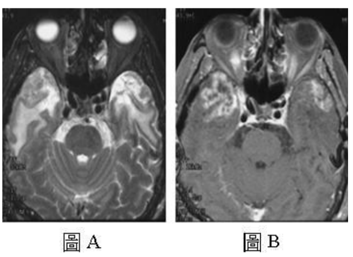
72.56歲女性患者,有鼻咽癌的病史,經放射線治療2年後,主訴頭痛,接受磁振造影檢查發現 雙側顳葉底部異常病灶,圖A為T2加權影像,圖B則為注射顯影劑後的T1影像,下列何者是 最可能的診斷?
(A)轉移性腦腫瘤(brain metastasis) (B)放射性壞死(radiation necrosis) (C)腦膿瘍(brain abscess) (D)神經膠母細胞瘤(glioblastoma)
73.17歲男性患者,主訴前頸部腫脹,接受電腦斷層檢查,2張圖分別是注射顯影劑後的不同切 面影像,下列何者是最可能的診斷?
(A)囊腫性畸胎瘤(cystic teratoma) (B)腮裂囊腫(branchial cleft cyst) (C)甲狀舌管囊腫(thyroglossal duct cyst) (D)淋巴管瘤(lymphangioma)
74.一位接受子宮切除手術後婦女之膀胱攝影檢查如圖,下列敘述何者最正確?
(A)先天性雙陰道 (B)膀胱陰道瘻管 (C)膀胱腫瘤 (D)膀胱脫垂
75.25歲的陳小姐,5年前就診斷有高血壓,最近一週因左腦中風而住院,血管攝影檢查發現雙 側內頸動脈及頸部椎動脈均呈現不規則的擴張且伴隨局部狹窄(如圖),其診斷為何?
(A)動脈粥樣硬化(atherosclerosis) (B)肌纖維發育異常(fibromuscular dysplasia) (C)外傷 (D)動靜脈畸形
76.25歲頭部外傷男性病人,至急診時昏迷指數(Glasgow Coma Scale, GCS)3分,實施心肺 復甦術並放置氣管內管之後,此時使用潮氣末二氧化碳偵測器(End-tidal CO
2
detector), 下列敘述何者最不適當? (A)潮氣末二氧化碳偵測器可用來監測心肺復甦術品質 (B)潮氣末二氧化碳偵測器可用來確認氣管內管位置 (C)潮氣末二氧化碳值 12.5 mmHg代表血流偏低且氣管內管放置到食道 (D)當潮氣末二氧化碳值突增至40 mmHg時,代表病人較易恢復自發性循環(return of spontaneous circulation, ROSC)
77.下列處置何者最不恰當? (A)給予靜脈輸液(fluid hydration) (B)持續性監測血壓 (C)腹部X光檢查 (D)懷孕測試(pregnancy test)
78.承上題,在問診完後沒多久,病人告訴你肚子痛到快受不了,臉色更加蒼白。此時呼吸26 次/min、心跳142次/min、體溫37.2℃、血壓 80/50 mmHg,腹部明顯較30分鐘前鼓脹。下 列何項處置最佳? (A)避免腹部更鼓脹,應減少靜脈輸液量 (B)給予epinephrine藥物 (C)腹部X光檢查 (D)腹部超音波(abdominal ultrasound)檢查
79.一位45歲的中年男性,職業為長途大客車司機,近期常患眩暈,嚴重時天旋地轉無法站立。 此眩暈已數次在其開車中發生,造成危險。適逢公司舉行年度體檢時,醫師診斷為內耳疾 病,短期內無法完全治癒,須好好休息。唯病人為負擔家計,拒絕接受治療,並要求醫師對 公司保密。醫師是否應告知雇主此病人的情況? (A)是。此時乘客生命安全與公共利益比保密更重要 (B)否。保密原則不允許醫師有任何違反的權利 (C)否。醫師應轉介給其他醫師 (D)是。雇主可以知道員工生活上的隱私
80.有效的醫療告知可以降低下列何項目? (A)可預見之醫療意外 (B)不可預見之醫療意外 (C)因過失行為造成之醫療糾紛 (D)非因過失行為造成之醫療糾紛
申論題 (0)
相關試卷
115年 - 115-1 專技高考_醫師(二):醫學(六)(包括麻醉科、眼科、耳鼻喉科、婦產科、復健科等科目及其相關臨床實例與醫學倫理)#137334
115年 · #137334
114年 - 114-2 專技高考_醫師(二):醫學(六)(包括麻醉科、眼科、耳鼻喉科、婦產科、復健科等科目及其相關臨床實例與醫學倫理)#127922
114年 · #127922
114年 - 114-1 專技高考_醫師(二):醫學(六)(包括麻醉科、眼科、耳鼻喉科、婦產科、復健科等科目及其相關臨床實例與醫學倫理)#125090
114年 · #125090
113年 - 113-2 專技高考_醫師(二):醫學(六)(包括麻醉科、眼科、耳鼻喉科、婦產科、復健科等科目及其相關臨床實例與醫學倫理)#120656
113年 · #120656
113年 - 113-1 專技高考_醫師(二):醫學(六)(包括麻醉科、眼科、耳鼻喉科、婦產科、復健科等科目及其相關臨床實例與醫學倫理)#118715
113年 · #118715
112年 - 112-2 專技高考_醫師(二):醫學(六)(包括麻醉科、眼科、耳鼻喉科、婦產科、復健科等科目及其相關臨床實例與醫學倫理)#114980
112年 · #114980
112年 - 112-1 專技高考_醫師(二):醫學(六)(包括麻醉科、眼科、耳鼻喉科、婦產科、復健科等科目及其相關臨床實例與醫學倫理)#113157
112年 · #113157
111年 - 111-2 專技高考_醫師(二):醫學(六)(包括麻醉科、眼科、耳鼻喉科、婦產科、復健科等科目及其相關臨床實例與醫學倫理)#108743
111年 · #108743
111年 - 111-1 專技高考_醫師(二):醫學(六)(包括麻醉科、眼科、耳鼻喉科、婦產科、復健科等科目及其相關臨床實例與醫學倫理)#106188
111年 · #106188
110年 - 110-2 專技高考_醫學(二):醫學(六)(包括麻醉科、眼科、耳鼻喉科、婦產科、復健科等科目及其相關臨床實例與醫學倫理)#99915
110年 · #99915